Suppr超能文献

丹参酮IIA通过ERK/细胞周期蛋白D1/p-Smad3L信号轴抑制肝星状细胞增殖来减轻肝纤维化。

Tanshinone IIA alleviates liver fibrosis by suppressing hepatic stellate cell proliferation via ERK/cyclin D1/p-Smad3L signaling axis.

作者信息

Liao Wenjing, Wu Fang, Hao Zhiyuan, Ye Rui, Liu Chenfei, Wu Jinglei, Wu Min, Zhou Xiaoman, Sun Mingze, Liu Yuwei, Fang Meng

机构信息

School of Medicine, Jianghan University, Wuhan 430056, China.

School of Medicine, Jingchu University of Technology, Jingmen 448000, China.

出版信息

Iran J Basic Med Sci. 2025;28(5):638-646. doi: 10.22038/ijbms.2025.83092.17962.

Abstract

OBJECTIVES

Liver fibrosis (LF) is a critical stage in chronic liver disease progression, and effective therapeutic drugs are currently lacking. Tanshinone IIA (Tan IIA), a monomer extracted from , shows potential in treating LF. This research aims to discuss the antifibrotic efficacy and underlying pharmacological mechanism of Tan IIA.

MATERIALS AND METHODS

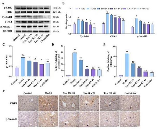
The model was induced with CCl to form a LF model in mice, and the model was induced by TGF-β in LX-2 and HSC-T6 cells. Liver pathology was characterized by HE, Masson, and Sirius red staining, and serum levels of ALT, AST, LDH, and γ-GT were examined. Cell viability and proliferation were detected by Cell Counting Kit-8 and colony formation assays. Cell cycle distribution was detected by flow cytometry. The protein levels of p-ERK, cyclin D1, CDK4, and p-Smad3L were assessed through Western blot, immunohistochemistry, or immunofluorescence assays.

RESULTS

Tan IIA markedly decreased serum levels of ALT, AST, LDH, and γ-GT. Collagen I and α-SMA were reduced, as shown by and i models. Moreover, while arresting HSCs in the G1 phase was increased, Tan II A markedly inhibited cell viability and colony formation. Mechanistically, Tan IIA decreased the expression of p-ERK, cyclin D1, CDK4, and p-Smad3L proteins in TGF-β-activated cells and CCl-induced mice.

CONCLUSION

Tan IIA may improve LF by regulating the signaling axis of ERK/cyclin D1/p-Smad3L, thereby blocking activated HSCs in the G1 phase and inhibiting their proliferation.

摘要

目的

肝纤维化(LF)是慢性肝病进展的关键阶段,目前缺乏有效的治疗药物。丹参酮IIA(Tan IIA)是从[具体来源未给出]中提取的单体,在治疗LF方面显示出潜力。本研究旨在探讨Tan IIA的抗纤维化疗效及潜在的药理机制。

材料与方法

用CCl诱导建立小鼠LF模型,用TGF-β诱导LX-2和HSC-T6细胞建立[具体模型未明确]模型。通过HE、Masson和天狼星红染色对肝脏病理进行表征,并检测血清ALT、AST、LDH和γ-GT水平。用细胞计数试剂盒-8和集落形成试验检测细胞活力和增殖。通过流式细胞术检测细胞周期分布。通过蛋白质印迹、免疫组织化学或免疫荧光试验评估p-ERK、细胞周期蛋白D1、CDK4和p-Smad3L的蛋白水平。

结果

Tan IIA显著降低血清ALT、AST、LDH和γ-GT水平。如[具体模型未明确]和[具体模型未明确]模型所示,I型胶原蛋白和α-SMA减少。此外,虽然将肝星状细胞阻滞在G1期的比例增加,但Tan IIA显著抑制细胞活力和集落形成。机制上,Tan IIA降低了TGF-β激活的细胞和CCl诱导的小鼠中p-ERK、细胞周期蛋白D1、CDK4和p-Smad3L蛋白的表达。

结论

Tan IIA可能通过调节ERK/细胞周期蛋白D1/p-Smad3L信号轴来改善LF,从而将激活的肝星状细胞阻滞在G1期并抑制其增殖。

https://cdn.ncbi.nlm.nih.gov/pmc/blobs/8444/12258794/abbabe643ee3/IJBMS-28-638-g001.jpg

文献AI研究员

20分钟写一篇综述,助力文献阅读效率提升50倍。

立即体验

用中文搜PubMed

大模型驱动的PubMed中文搜索引擎

马上搜索

文档翻译

学术文献翻译模型,支持多种主流文档格式。

立即体验