Suppr超能文献

体素内不相干运动扩散成像联合超声肾阻力指数在对比剂肾病中的实验研究

Experimental study of intravoxel incoherent motion diffusion imaging combined with ultrasound renal resistance index in contrast-induced nephropathy.

作者信息

Chen Jinlong, Song Xiaoyu, Wang Zhao, Wang Zhiqiang

机构信息

College of Clinical Medicine, Beihua University, Jilin, China.

Department of Ultrasound, Siping Central People's Hospital, Siping, China.

出版信息

BMC Nephrol. 2025 Jul 18;26(1):401. doi: 10.1186/s12882-025-04329-3.

Abstract

OBJECTIVE

This study explored the application of Intravoxel Incoherent Motion (IVIM) diffusion imaging combined with Ultrasound Renal Resistance Index (RRI) for monitoring the pathophysiological changes associated with early contrast-induced nephropathy (CIN).

METHODS

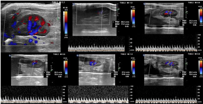
In this study, forty-two male Sprague-Dawley (SD) rats were equally divided into two groups: a contrast media (CM) group and a control group, each containing 21 animals. The CM group was administered a tail vein injection of ioversol (370 mg I/ml, 1.5 ml/kg), while the control group received a saline solution in a similar volume. Assessments using IVIM-MRI and Doppler ultrasound were performed 24 h before and at 1, 24, 48, and 72 h post-injection. These assessments aimed to evaluate the true diffusion coefficient (D), pseudo-diffusion coefficient (D), perfusion fraction (f), apparent diffusion coefficient (ADC), and RRI. Concurrently, three rats from each group were sacrificed at these time points for renal histopathology, hypoxia-inducible factor-1α (HIF-1α) expression analysis, and the quantification of serum creatinine (SCr) and blood urea nitrogen (BUN) levels. Receiver operating characteristic (ROC) curves were plotted, and the area under the curve (AUC) was analyzed to evaluate the diagnostic performance of IVIM and RRI in predicting CIN.

RESULTS

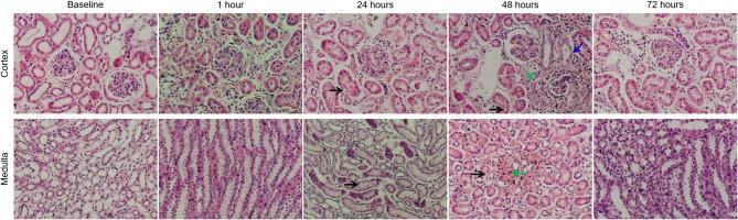
Post-ioversol administration, significant declines were noted in the D, D, f, ADC across the renal cortex (CO), outer medulla (OM), and inner medulla (IM) from 1 to 48 h (P < 0.05), with the lowest values observed at 48 h. These parameters began to recover after 72 h. Conversely, RRI values escalated from 1 to 48 h, peaking at 48 h (P < 0.05), and then diminished gradually after 72 h. The control group showed no significant changes in these parameters. Furthermore, a negative correlation was observed between RRI, histopathological grades, HIF-1α expression levels, and the levels of SCr and BUN. In contrast, RRI exhibited a positive correlation with these pathological scores and the levels of SCr and BUN. ROC curve analysis revealed that the combined predictive performance of IVIM and RRI was superior to that of individual parameters.

CONCLUSION

The synergistic application of IVIM and RRI techniques offers a non-invasive approach for early detection of renal damage after ioversol exposure and is a potent method for observing the pathophysiological shifts associated with early-stage CIN.

摘要

目的

本研究探讨体素内不相干运动(IVIM)扩散成像联合超声肾阻力指数(RRI)在监测早期对比剂肾病(CIN)相关病理生理变化中的应用。

方法

本研究将42只雄性Sprague-Dawley(SD)大鼠平均分为两组:造影剂(CM)组和对照组,每组21只动物。CM组经尾静脉注射碘海醇(370 mg I/ml,1.5 ml/kg),而对照组接受相同体积的生理盐水。在注射前24小时以及注射后1、24、48和72小时使用IVIM-MRI和多普勒超声进行评估。这些评估旨在评估真实扩散系数(D)、伪扩散系数(D*)、灌注分数(f)、表观扩散系数(ADC)和RRI。同时,在这些时间点每组处死3只大鼠进行肾脏组织病理学检查、缺氧诱导因子-1α(HIF-1α)表达分析以及血清肌酐(SCr)和血尿素氮(BUN)水平的定量测定。绘制受试者操作特征(ROC)曲线,并分析曲线下面积(AUC)以评估IVIM和RRI在预测CIN中的诊断性能。

结果

注射碘海醇后,从1至48小时,肾皮质(CO)、外髓质(OM)和内髓质(IM)的D、D*、f、ADC均显著下降(P<0.05),在48小时时观察到最低值。这些参数在72小时后开始恢复。相反,RRI值从1至48小时升高,在48小时达到峰值(P<0.05),然后在72小时后逐渐降低。对照组这些参数无显著变化。此外,观察到RRI与组织病理学分级、HIF-1α表达水平以及SCr和BUN水平呈负相关。相比之下,RRI与这些病理评分以及SCr和BUN水平呈正相关。ROC曲线分析显示,IVIM和RRI的联合预测性能优于单个参数。

结论

IVIM和RRI技术的协同应用为碘海醇暴露后早期肾损伤的检测提供了一种非侵入性方法,是观察早期CIN相关病理生理变化的有效方法。

https://cdn.ncbi.nlm.nih.gov/pmc/blobs/2f0c/12273328/c315ebe0abc4/12882_2025_4329_Fig1_HTML.jpg

文献AI研究员

20分钟写一篇综述,助力文献阅读效率提升50倍。

立即体验

用中文搜PubMed

大模型驱动的PubMed中文搜索引擎

马上搜索

文档翻译

学术文献翻译模型,支持多种主流文档格式。

立即体验