Suppr超能文献

NSD2的功能丧失突变与小鼠胎盘形成异常及胎儿生长受限有关。

Loss-of-function mutation of NSD2 is associated with abnormal placentation accompanied by fetal growth retardation in mice.

作者信息

Ohnishi Eriko, Kinoshita Shiori, Nakabayashi Kazuhiko, Hata Kenichiro, Kawai Tomoko

机构信息

Department of Maternal-Fetal Biology, National Research Institute for Child Health and Development, Tokyo, Japan.

Department of Human Molecular Genetics, Gunma University Graduate School of Medicine, Gunma, Japan.

出版信息

PLoS One. 2025 Jul 21;20(7):e0328243. doi: 10.1371/journal.pone.0328243. eCollection 2025.

Abstract

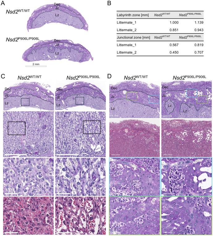
Nuclear receptor-binding SET domain-containing 2 (NSD2) is the primary enzyme responsible for the dimethylation of histone H3 lysine 36 (H3K36me2), a marker associated with active gene transcription and intergenic DNA methylation. NSD2 is required for the normal development of humans and mice; however, its function during placentation remains unknown. Using genome editing techniques, we previously established two lines of Nsd2-mutant mice that showed growth retardation and neonatal lethality. Here, we further demonstrated that the loss-of-function mutation of NSD2 caused enlargement of the mouse placenta with morphological changes during late-gestation. Nsd2-mutant placentas were significantly heavier and showed thicker fetal layers with an expanded junctional zone and dilatated maternal blood sinuses in the labyrinth compared to their wild-type littermates. Abnormal placentation was accompanied by fetal growth defects, some with edema and one with a congenital cardiovascular anomaly, which may have partially affected neonatal survival. To our knowledge, this is the first study demonstrating the physiological and pathological functions of NSD2 during placentation.

摘要

含核受体结合SET结构域蛋白2(NSD2)是负责组蛋白H3赖氨酸36二甲基化(H3K36me2)的主要酶,H3K36me2是一种与活跃基因转录和基因间DNA甲基化相关的标志物。NSD2对人类和小鼠的正常发育至关重要;然而,其在胎盘形成过程中的功能尚不清楚。利用基因组编辑技术,我们之前建立了两株Nsd2突变小鼠品系,这些小鼠表现出生长迟缓和新生期致死。在此,我们进一步证明,NSD2的功能丧失突变导致小鼠胎盘在妊娠后期出现形态变化并增大。与野生型同窝小鼠相比,Nsd2突变胎盘明显更重,胎儿层更厚,连接区扩大,迷路中的母体血窦扩张。胎盘异常伴随着胎儿生长缺陷,一些有水肿,一个有先天性心血管异常,这可能部分影响了新生期存活。据我们所知,这是第一项证明NSD2在胎盘形成过程中的生理和病理功能的研究。

https://cdn.ncbi.nlm.nih.gov/pmc/blobs/252e/12279110/d4c8521ffe8d/pone.0328243.g001.jpg

文献AI研究员

20分钟写一篇综述,助力文献阅读效率提升50倍。

立即体验

用中文搜PubMed

大模型驱动的PubMed中文搜索引擎

马上搜索

文档翻译

学术文献翻译模型,支持多种主流文档格式。

立即体验