Suppr超能文献

中性粒细胞胞外诱捕网通过依赖NCF2的信号传导驱动骨质疏松症:整合转录组学与机制验证

Neutrophil extracellular traps drive osteoporosis via NCF2-dependent signaling: integrated transcriptomics with mechanistic validation.

作者信息

Guo Xiangyun, Wang Liang, Chen Shuangliu, Sun Chuanrui, Qin Jinran, Liu Qingqing, Gan Yiwen, Li Yan, Jin Zikai, Wei Xu, Zhang Yili

机构信息

School of Integrated Chinese and Western Medicine, Nanjing University of Chinese Medicine, Nanjing, People's Republic of China.

Key Laboratory of Xin'an Medicine, Anhui University of Chinese Medicine, Hefei, People's Republic of China.

出版信息

Redox Rep. 2025 Dec;30(1):2534745. doi: 10.1080/13510002.2025.2534745. Epub 2025 Jul 22.

Abstract

BACKGROUND

Inflammation and immune responses play key roles in osteoporosis (OP) pathogenesis. Osteoimmunology highlights immune dysregulation as a significant contributor to OP, but the specific biological mechanisms linking immune dysfunction to bone loss remain unclear. Understanding these mechanisms is essential for targeted therapies.

METHODS

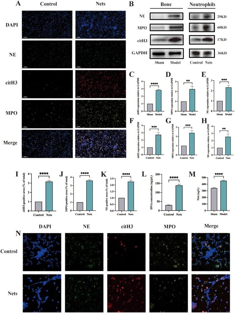
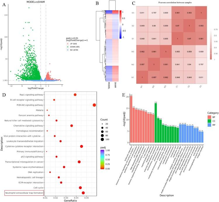
We established a rat OP model via bilateral ovariectomy. Transcriptomic sequencing (RNA-seq) identified differentially expressed genes (DEGs), and summary data-based Mendelian randomization (SMR) analysis validated their causal associations with OP. Primary neutrophils isolated from bone marrow and differentiated HL-60 neutrophil-like cells were induced to form neutrophil extracellular traps (NETs), and siRNA was employed to knock down the NCF2 gene. Conditioned media from these neutrophils were subsequently applied to primary osteoblasts to evaluate effects on osteogenic differentiation.

RESULTS

RNA-seq identified 4,497 DEGs (1,606 upregulated, 2,891 downregulated) in OP rats, significantly enriched in immune response and NETs formation pathways. NETs markers (NE, MPO, CitH3) were markedly elevated in OP bone tissue and stimulated neutrophils. SMR analysis identified VDAC1, PLCG2, and NCF2 as key genes significantly associated with OP risk, experimentally validated at the tissue and cellular levels. Knockdown of NCF2 reduced NETs formation in neutrophil-like cells and alleviated NETs-induced osteoblast differentiation impairment. Drug prediction and molecular docking analyses demonstrated high affinity and pharmacological potential targeting these genes.

CONCLUSIONS

This study unveils the link between NETs formation and OP, highlighting NCF2 as crucial players. These findings provide new insights into immune inflammation's role in bone metabolism and pave the way for targeted OP therapies.

摘要

背景

炎症和免疫反应在骨质疏松症(OP)发病机制中起关键作用。骨免疫学强调免疫失调是OP的一个重要促成因素,但将免疫功能障碍与骨质流失联系起来的具体生物学机制仍不清楚。了解这些机制对于靶向治疗至关重要。

方法

我们通过双侧卵巢切除术建立了大鼠OP模型。转录组测序(RNA-seq)确定了差异表达基因(DEG),基于汇总数据的孟德尔随机化(SMR)分析验证了它们与OP的因果关系。从骨髓中分离出的原代中性粒细胞和分化的HL-60中性粒细胞样细胞被诱导形成中性粒细胞胞外陷阱(NET),并使用小干扰RNA(siRNA)敲低NCF2基因。随后将这些中性粒细胞的条件培养基应用于原代成骨细胞,以评估对成骨分化的影响。

结果

RNA-seq在OP大鼠中鉴定出4497个DEG(1606个上调,2891个下调),显著富集于免疫反应和NET形成途径。NET标志物(NE、MPO、CitH3)在OP骨组织和刺激的中性粒细胞中明显升高。SMR分析确定VDAC1、PLCG2和NCF2为与OP风险显著相关的关键基因,并在组织和细胞水平上进行了实验验证。敲低NCF2可减少中性粒细胞样细胞中的NET形成,并减轻NET诱导的成骨细胞分化损伤。药物预测和分子对接分析表明,针对这些基因具有高亲和力和药理潜力。

结论

本研究揭示了NET形成与OP之间的联系,突出了NCF2作为关键参与者的作用。这些发现为免疫炎症在骨代谢中的作用提供了新的见解,并为OP的靶向治疗铺平了道路。

https://cdn.ncbi.nlm.nih.gov/pmc/blobs/6a50/12288178/97233ded5d60/YRER_A_2534745_F0001_OC.jpg

文献AI研究员

20分钟写一篇综述,助力文献阅读效率提升50倍。

立即体验

用中文搜PubMed

大模型驱动的PubMed中文搜索引擎

马上搜索

文档翻译

学术文献翻译模型,支持多种主流文档格式。

立即体验