Suppr超能文献

WTAP介导的circRNA_404908的m⁶A甲基化促进食管鳞状细胞癌进展。

WTAP-mediated mA methylation of circRNA_404908 promotes esophageal squamous cell carcinoma progression.

作者信息

Pan Yingjie, Yang Hang, Zhang Jiayi, Zhang Ruolan, Yang Mi, Chen Qiaoling, Bie Jun, Liu Kang, Song Guiqin

机构信息

Nanchong Key Laboratory of Cancer Biotherapy, The Second Clinical College of North Sichuan Medical College, Beijing Anzhen Nanchong Hospital of Capital Medical University & Nanchong Central Hospital, Nanchong, Sichuan, China; Institute of Basic Medicine and Forensic Medicine, North Sichuan Medical College, Nanchong, Sichuan, China; Department of Laboratory Medicine, Chongqing University Fuling Hospital, School of Medicine, Chongqing University, Chongqing, China.

Nanchong Key Laboratory of Cancer Biotherapy, The Second Clinical College of North Sichuan Medical College, Beijing Anzhen Nanchong Hospital of Capital Medical University & Nanchong Central Hospital, Nanchong, Sichuan, China; Institute of Basic Medicine and Forensic Medicine, North Sichuan Medical College, Nanchong, Sichuan, China.

出版信息

J Biol Chem. 2025 Jul 22;301(9):110512. doi: 10.1016/j.jbc.2025.110512.

Abstract

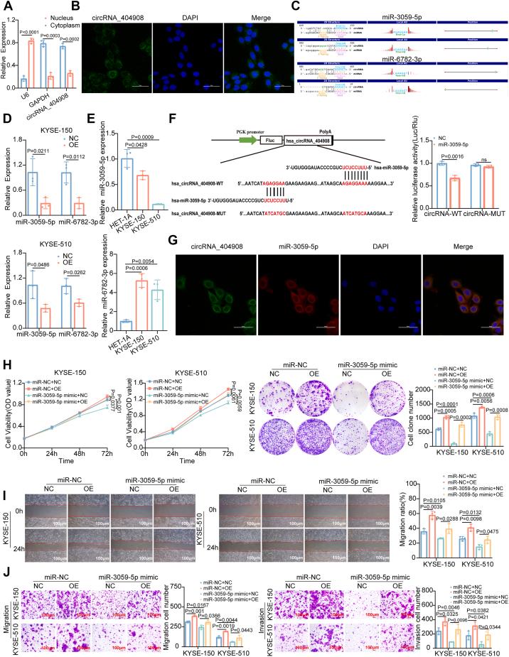
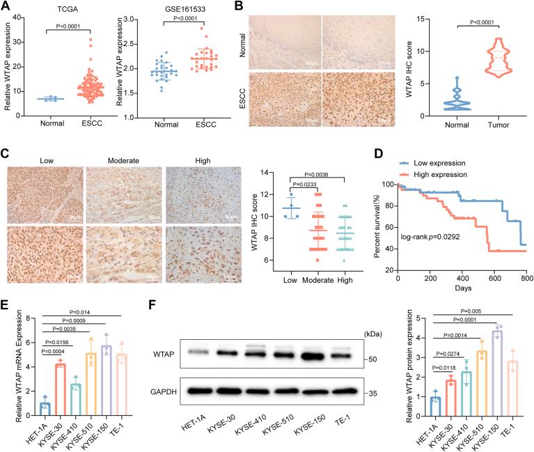
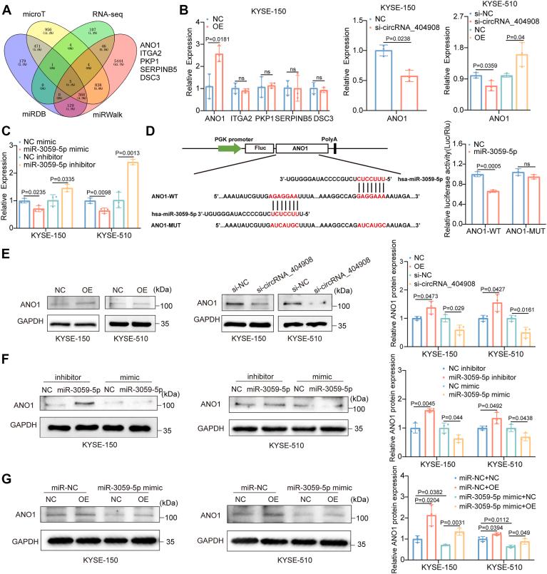
N6-methyladenosine (mA) RNA methylation and circular RNA have been demonstrated to exert a crucial role in diverse malignant tumors, such as esophageal squamous cell carcinoma (ESCC). Nevertheless, the precise regulatory mechanism through which mA-modified circRNA impacts ESCC remains to be elucidated. Herein, we discovered that the methyltransferase Wilms' tumor 1-associated protein (WTAP) is highly expressed in ESCC and is correlated with a poor prognosis. Knockdown of WTAP significantly diminishes the proliferation, migration, and invasion capabilities of ESCC cells both in vitro and in vivo. The mA-circRNA epitranscriptomic microarray analysis, MeRIP-qPCR, RT-qPCR, and circularization verification ascertained that circRNA_404908 is the downstream target of WTAP. Knockdown of WTAP reduces the mA level, expression, and stability of circRNA_404908. A series of functional assays indicate that circRNA_404908 facilitates the proliferation, migration, and invasion of ESCC cells, and overexpression of circRNA_404908 can counteract the reduction in cell proliferation, migration, and invasion abilities caused by si-WTAP. In addition, in vitro experiments demonstrated that circRNA_404908 regulates the expression of ANO1 by sponging miR-3059-5p, thereby promoting the progression of ESCC. Mechanistically, WTAP-mediated mA modification of circRNA_404908 governs the miR-3059-5p/ANO1 axis to facilitate the advancement of ESCC. Collectively, our study reveals that WTAP-mediated mA modification drives ESCC progression via circRNA_404908/miR-3059-5p/ANO1 axis, providing both mechanistic insights into mA-circRNA crosstalk and potential therapeutic targets for ESCC treatment.

摘要

N6-甲基腺苷(mA)RNA甲基化和环状RNA已被证明在多种恶性肿瘤中发挥关键作用,如食管鳞状细胞癌(ESCC)。然而,mA修饰的环状RNA影响ESCC的确切调控机制仍有待阐明。在此,我们发现甲基转移酶威尔姆斯瘤1相关蛋白(WTAP)在ESCC中高表达,且与预后不良相关。敲低WTAP可显著降低ESCC细胞在体外和体内的增殖、迁移及侵袭能力。mA-环状RNA表观转录组微阵列分析、MeRIP-qPCR、RT-qPCR及环化验证确定circRNA_404908是WTAP的下游靶点。敲低WTAP可降低circRNA_404908的mA水平、表达及稳定性。一系列功能试验表明,circRNA_404908促进ESCC细胞的增殖、迁移及侵袭,且circRNA_404908的过表达可抵消si-WTAP导致的细胞增殖、迁移及侵袭能力的降低。此外,体外实验表明,circRNA_404908通过海绵吸附miR-3059-5p来调节ANO1的表达,从而促进ESCC的进展。机制上,WTAP介导的circRNA_404908的mA修饰调控miR-3059-5p/ANO1轴以促进ESCC的进展。总体而言,我们的研究揭示WTAP介导的mA修饰通过circRNA_404908/miR-3059-5p/ANO1轴驱动ESCC进展,为mA-环状RNA相互作用提供了机制性见解,并为ESCC治疗提供了潜在的治疗靶点。

https://cdn.ncbi.nlm.nih.gov/pmc/blobs/67e5/12391797/14cdfb1ec996/gr1.jpg

文献AI研究员

20分钟写一篇综述,助力文献阅读效率提升50倍。

立即体验

用中文搜PubMed

大模型驱动的PubMed中文搜索引擎

马上搜索

文档翻译

学术文献翻译模型,支持多种主流文档格式。

立即体验