Suppr超能文献

抑制小窝蛋白-1信号通路可促进细胞凋亡,并克服肝细胞癌对泛酪氨酸激酶抑制剂的耐药性。

Inhibition of the Caveolin-1 pathway promotes apoptosis and overcomes pan-tyrosine kinase inhibitor resistance in hepatocellular carcinoma.

作者信息

Kabir Tasnuva D, Beck Samuel, Stuart Lisa M, Li Ji, Hou Rui, Liu Peiwen, Margolius Shelby, Kim Claire, Choi Yu Suk, Bastow Edward R, Beveridge Dianne J, Spalding Lisa, Li Ziyi, Ginhoux Florent, Chow Pierce, Phillips Michael, Redfern Andrew D, Yeoh George C, Forrest Alistair, Woo Andrew J, Sharma Ankur, George Jacob, McCaughan Geoffrey, Leedman Peter J

机构信息

Harry Perkins Institute of Medical Research, QEII Medical Centre, Nedlands and Centre for Medical Research, The University of Western Australia, Crawley, WA, Australia.

Department of Dermatology, Boston University School of Medicine & Boston Medical Center, Boston, MA, USA.

出版信息

Cell Death Dis. 2025 Jul 25;16(1):561. doi: 10.1038/s41419-025-07887-4.

Abstract

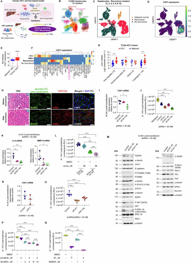
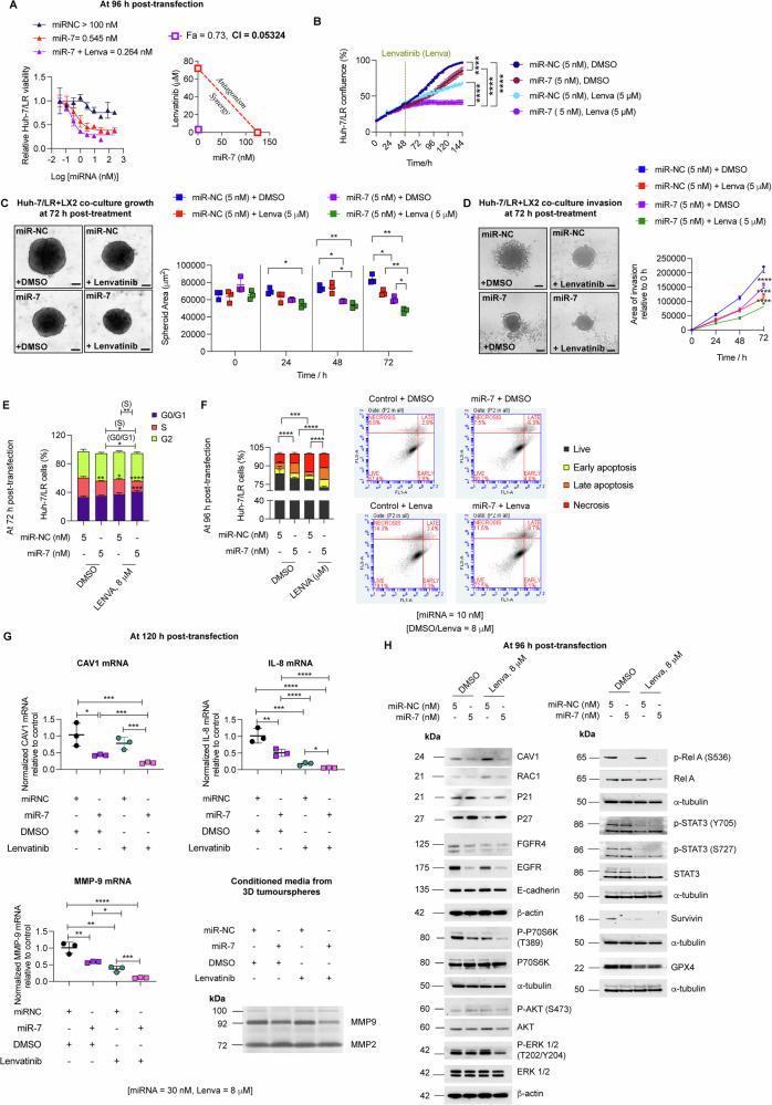
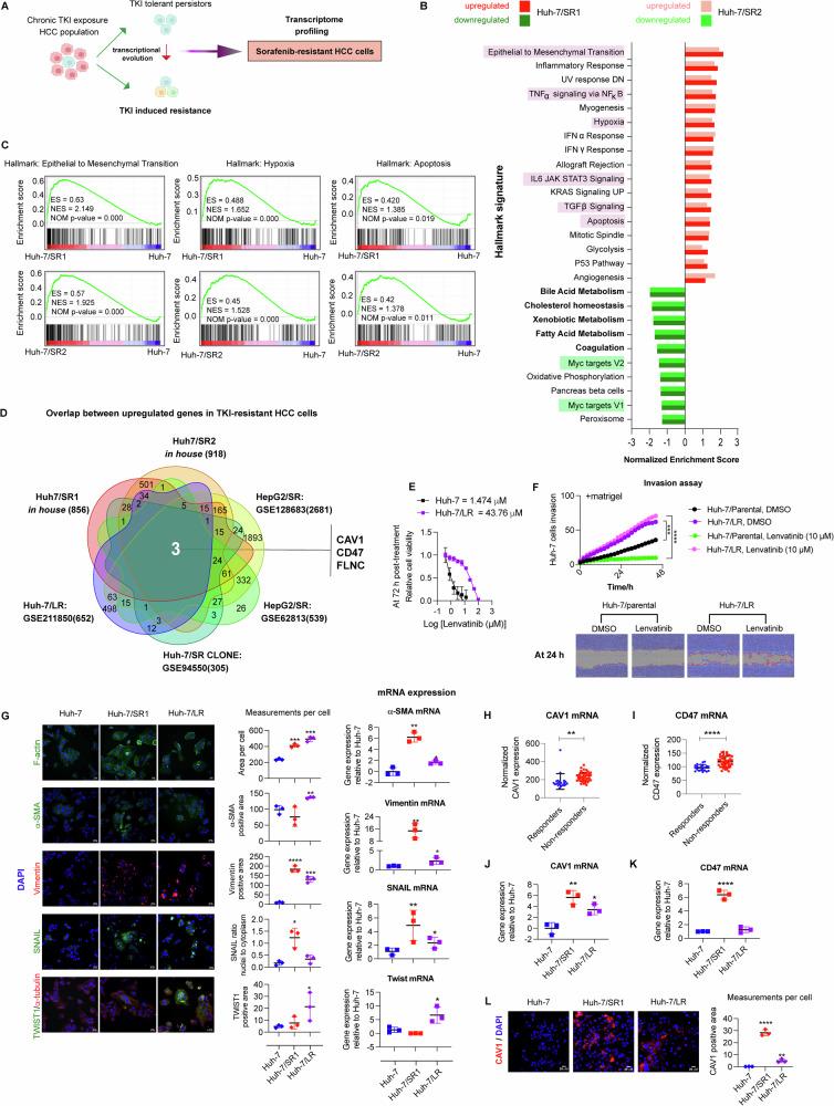
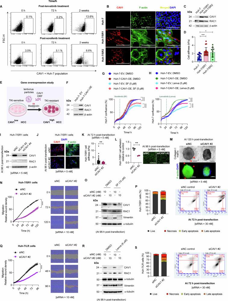
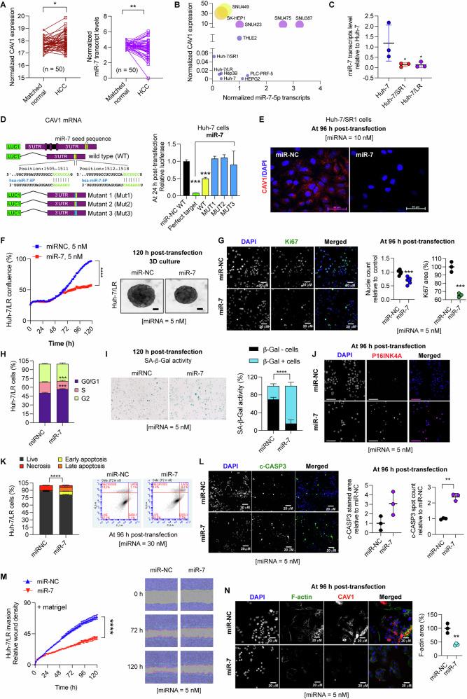
Resistance to multi-tyrosine kinase inhibitors (TKI) is a major clinical concern in advanced hepatocellular carcinoma (HCC). Herein, we aimed to uncover the mechanisms underlying pan-TKI resistance and to identify potential therapeutic targets. We used multiple TKI-resistant HCC cell lines to identify caveolin-1 (CAV1) as a key driver of therapeutic resistance. CAV1 downregulation induced apoptosis, inhibited metastasis and restored TKI sensitivity in both inherent and acquired TKI-resistant HCC cells. Mechanistically, in acquired TKI-resistant cells aberrant CAV1/STAT3/P70S6K signalling is required for their survival, motility, and invasiveness. CAV1 inhibition reduced expression of dormancy regulators E-cadherin, RAC1 and p21, enhanced cancer stemness markers, and disrupted downstream STAT3/P70S6K and AMPKα signalling pathways, prompting cancer cells to exit from dormancy and initiate autophagy-induced cell death. Furthermore, selective inhibition of AXL and FGFR4 downstream of the CAV1 pathway sensitized TKI-resistant cells to sorafenib and lenvatinib, respectively. In addition, microRNA-7-5p (miR-7) was identified as an endogenous regulator of CAV1; and miR-7's inhibitory effect on CAV1 and FGFR4 suppressed the STAT3/P70S6K pathway, promoted autophagy and triggered apoptosis in lenvatinib-resistant cells. Combination therapy using either lenvatinib or sorafenib and selective CAV1 inhibitors (e.g., siCAV1/miR-7), or AXL/FGFR4 inhibitors (e.g., BGB324/BLU9931) effectively overcame pan-TKI resistance. In HCC patient datasets, elevated CAV1 mRNA was observed in sorafenib non-responders, and single cell RNA-sequencing of HCC patient tumours revealed a rare population of CAV1+ cancer cells associated with recurrence. High CAV1 expression was specific to HBV+ HCC patients and independently predicted poor survival. Further, targeting of CAV1, AXL or FGFR4 effectively overcame TKI resistance in HCC patient derived organoids (PDOs). Our findings highlight a previously unrecognized role for CAV1-driven signalling in sustaining tumour dormancy, a critical and challenging therapeutic barrier underlying recurrence and pan-TKI resistance in HCC. Therapeutically targeting these pathways offer a promising and novel strategy to eliminate dormant tumour cells, thereby overcoming resistance and improving treatment outcomes.

摘要

对多酪氨酸激酶抑制剂(TKI)产生耐药性是晚期肝细胞癌(HCC)的一个主要临床问题。在此,我们旨在揭示泛TKI耐药的潜在机制,并确定潜在的治疗靶点。我们使用了多种对TKI耐药的肝癌细胞系,确定小窝蛋白-1(CAV1)是治疗耐药的关键驱动因素。CAV1表达下调可诱导凋亡、抑制转移,并恢复原发性和获得性TKI耐药肝癌细胞对TKI的敏感性。从机制上讲,在获得性TKI耐药细胞中,异常的CAV1/STAT3/P70S6K信号通路对其存活、迁移和侵袭至关重要。抑制CAV1可降低休眠调节因子E-钙黏蛋白、RAC1和p21的表达,增强癌症干细胞标志物的表达,并破坏下游STAT3/P70S6K和AMPKα信号通路,促使癌细胞从休眠状态中退出并引发自噬诱导的细胞死亡。此外,选择性抑制CAV1通路下游的AXL和FGFR4可分别使TKI耐药细胞对索拉非尼和仑伐替尼敏感。此外,微小RNA-7-5p(miR-7)被确定为CAV1的内源性调节因子;miR-7对CAV1和FGFR4的抑制作用可抑制STAT3/P70S6K通路,促进自噬并诱导仑伐替尼耐药细胞凋亡。使用仑伐替尼或索拉非尼与选择性CAV1抑制剂(如siCAV1/miR-7)或AXL/FGFR4抑制剂(如BGB324/BLU9931)联合治疗可有效克服泛TKI耐药。在HCC患者数据集中,索拉非尼无反应者中观察到CAV1 mRNA水平升高,对HCC患者肿瘤进行单细胞RNA测序发现了一小群与复发相关的CAV1+癌细胞。高CAV1表达在HBV+ HCC患者中具有特异性,并独立预测较差的生存率。此外,靶向CAV1、AXL或FGFR4可有效克服肝癌患者来源类器官(PDOs)中的TKI耐药。我们的研究结果突出了CAV1驱动的信号通路在维持肿瘤休眠中的一个此前未被认识的作用,这是HCC复发和泛TKI耐药背后的一个关键且具有挑战性的治疗障碍。从治疗上靶向这些通路为消除休眠肿瘤细胞提供了一种有前景的新策略,从而克服耐药并改善治疗结果。

https://cdn.ncbi.nlm.nih.gov/pmc/blobs/18b9/12297225/4d17c74a6610/41419_2025_7887_Fig1_HTML.jpg

文献AI研究员

20分钟写一篇综述,助力文献阅读效率提升50倍。

立即体验

用中文搜PubMed

大模型驱动的PubMed中文搜索引擎

马上搜索

文档翻译

学术文献翻译模型,支持多种主流文档格式。

立即体验