Suppr超能文献

产前双酚A暴露损害胎儿心脏发育:具有性别特异性差异的分子和结构改变

Prenatal Bisphenol A Exposure Impairs Fetal Heart Development: Molecular and Structural Alterations with Sex-Specific Differences.

作者信息

Marrone Alessandro, De Bartolo Anna, Rago Vittoria, Conforti Francesco, Urlandini Lidia, Angelone Tommaso, Mazza Rosa, Mandalà Maurizio, Rocca Carmine

机构信息

Cellular and Molecular Cardiovascular Physiology and Pathophysiology Laboratory, Department of Biology, E. and E. S. (DiBEST), University of Calabria, 87036 Rende, Italy.

Human Anatomy Laboratory, Department of Pharmacy, Health and Nutritional Sciences, University of Calabria, 87036 Rende, Italy.

出版信息

Antioxidants (Basel). 2025 Jul 14;14(7):863. doi: 10.3390/antiox14070863.

Abstract

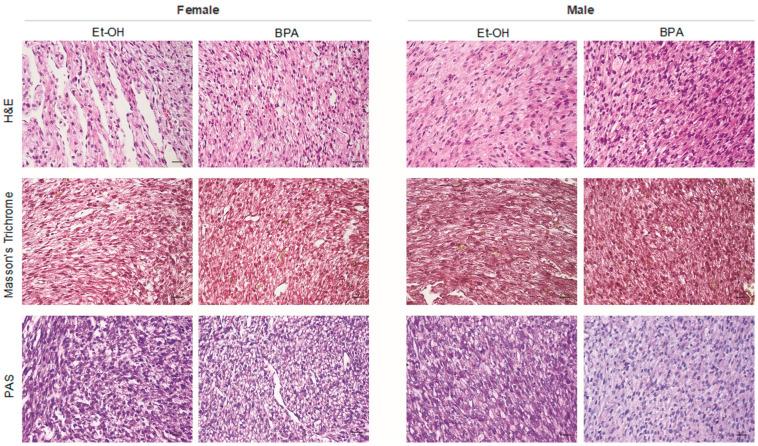
Cardiovascular diseases (CVDs) remain the leading cause of morbidity and mortality worldwide, with increasing evidence suggesting that their origins may lie in prenatal life. Endocrine-disrupting chemicals (EDCs), such as bisphenol A (BPA), have been implicated in the alteration of fetal programming mechanisms that cause a predisposition to long-term cardiovascular vulnerability. However, the impact of prenatal endocrine disruption on fetal heart development and its sex-specific nature remains incompletely understood. This study investigates the molecular and structural effects of low-dose prenatal BPA exposure on fetal rat hearts. Our results reveal that BPA disrupts estrogen receptor (ER) signaling in a sex-dependent manner, with distinct alterations in ERα, ERβ, and GPER expression. BPA exposure also triggers significant inflammation, oxidative stress, and ferroptosis; this is evidenced by elevated NF-κB, IL-1β, TNF-α, and NLRP3 inflammasome activation, as well as impaired antioxidant defenses (SOD1, SOD2, CAT, and SELENOT), increased lipid peroxidation (MDA) and protein oxidation, decreased GPX4, and increased ACSL4 levels. These alterations are accompanied by increased markers of cardiac distension (ANP, BNP), extracellular matrix remodeling mediators, and pro-fibrotic regulators (Col1A1, Col3A1, TGF-β, and CTGF), with a more pronounced response in males. Histological analyses corroborated these molecular findings, revealing structural alterations as well as glycogen depletion in male fetal hearts, consistent with altered cardiac morphogenesis and metabolic stress. These effects were milder in females, reinforcing the notion of sex-specific vulnerability. Moreover, prenatal BPA exposure affected myocardial fiber architecture and vascular remodeling in a sex-dependent manner, as evidenced by reduced expression of desmin alongside increased levels of CD34 and Ki67. Overall, our findings provide novel insights into the crucial role of prenatal endocrine disruption during fetal heart development and its contribution to the early origins of CVD, underscoring the urgent need for targeted preventive strategies and further research into the functional impact of BPA-induced alterations on postnatal cardiac function and long-term disease susceptibility.

摘要

心血管疾病(CVDs)仍是全球发病和死亡的主要原因,越来越多的证据表明其起源可能始于产前阶段。内分泌干扰化学物质(EDCs),如双酚A(BPA),被认为与胎儿编程机制的改变有关,这种改变会导致长期心血管易感性的倾向。然而,产前内分泌干扰对胎儿心脏发育的影响及其性别特异性仍未完全了解。本研究调查了低剂量产前暴露于BPA对胎鼠心脏的分子和结构影响。我们的结果表明,BPA以性别依赖的方式破坏雌激素受体(ER)信号,ERα、ERβ和GPER表达有明显改变。暴露于BPA还会引发显著的炎症、氧化应激和铁死亡;这表现为NF-κB、IL-1β、TNF-α和NLRP3炎性小体激活升高,以及抗氧化防御受损(SOD1、SOD2、CAT和SELENOT)、脂质过氧化(MDA)和蛋白质氧化增加、GPX4降低以及ACSL4水平升高。这些改变伴随着心脏扩张标志物(ANP、BNP)、细胞外基质重塑介质和促纤维化调节因子(Col1A1、Col3A1、TGF-β和CTGF)增加,雄性的反应更明显。组织学分析证实了这些分子发现,揭示了雄性胎儿心脏的结构改变以及糖原耗竭,这与心脏形态发生改变和代谢应激一致。这些影响在雌性中较轻,强化了性别特异性易感性的概念。此外,产前暴露于BPA以性别依赖的方式影响心肌纤维结构和血管重塑,这表现为结蛋白表达降低,同时CD34和Ki67水平升高。总体而言,我们的研究结果为产前内分泌干扰在胎儿心脏发育中的关键作用及其对CVD早期起源的贡献提供了新的见解,强调了针对性预防策略的迫切需求,以及对BPA诱导的改变对出生后心脏功能和长期疾病易感性的功能影响进行进一步研究的必要性。

https://cdn.ncbi.nlm.nih.gov/pmc/blobs/cc82/12291822/6ab7df7f1f03/antioxidants-14-00863-g001.jpg

文献AI研究员

20分钟写一篇综述,助力文献阅读效率提升50倍。

立即体验

用中文搜PubMed

大模型驱动的PubMed中文搜索引擎

马上搜索

文档翻译

学术文献翻译模型,支持多种主流文档格式。

立即体验