Suppr超能文献

6岁患儿口腔内未成熟恶性畸胎瘤,无其他部位受累证据:一例报告

Intraoral Immature Malignant Teratoma with No Evidence of Other Sites of Involvement in a 6-Year-Old Patient: A Case Report.

作者信息

Zisis Vasileios, Charisi Christina, Poulopoulos Konstantinos, Papadopoulos Petros, Poulopoulos Athanasios

机构信息

Department of Oral Medicine/Pathology 1, School of Dentistry, Aristotle University of Thessaloniki, 54124 Thessaloniki, Greece.

出版信息

Reports (MDPI). 2024 Dec 27;8(1):3. doi: 10.3390/reports8010003.

Abstract

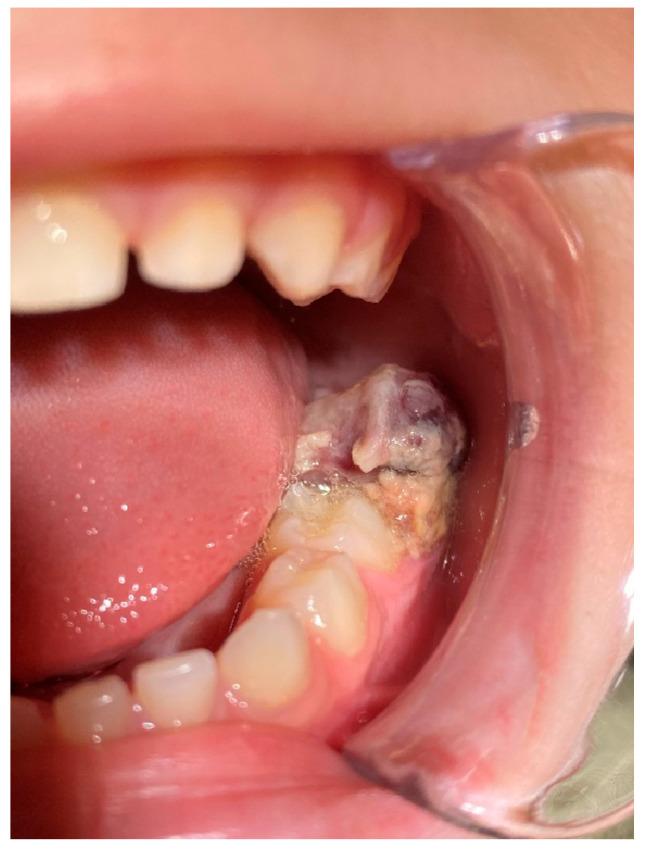
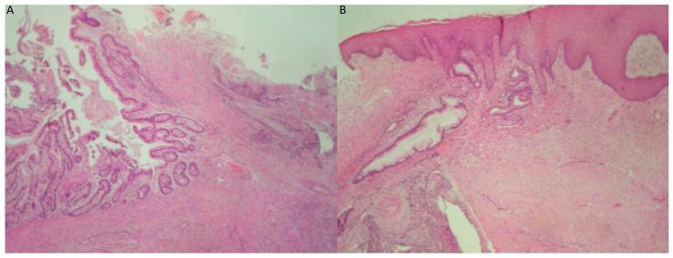
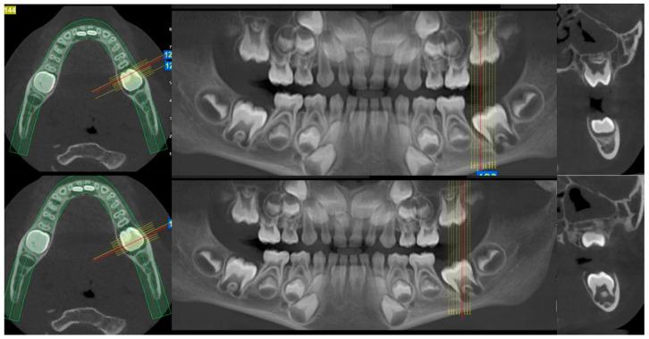
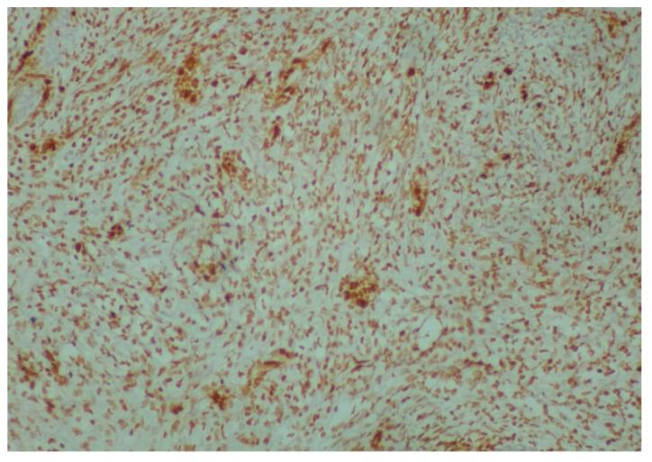
: Head and neck teratomas are embryonal tumors that develop when totipotent germ cells escape the developmental control of primary organizers and form a more-or-less organoid mass in which tissues from all three germ layers (ectoderm, endoderm, and mesoderm) can be identified. Mature teratomas may either transit into germ cell or non-germ cell malignancies or remain histologically mature with the possibility of growing, thus inducing certain complications when reaching a large size. This article aims to investigate a very rare case of a 6-year-old child who exhibited a recurrent intraoral mass with multiple conflicting biopsies. : A 6-year-old male patient was referred to the postgraduate clinic of the Department of Oral Medicine/Pathology, Dental School, Faculty of Health Sciences, Aristotle University of Thessaloniki, Greece, because his pediatric dentist noticed an exophytic, intraoral mass, distal to tooth #75 during a routine checkup. The first histopathological examination showed a gingival tumor, classified as a small round blue cell tumor, with greater similarity to adamantinoma-like Ewing sarcoma (ALES) and less to synovial sarcoma. The second pathologist examined the same tissue specimen and suggested the extremely rare presence of an immature malignant teratoma. Following chemotherapy, the rest of the teratoma with the adjacent tooth #75 was removed, and the histopathological examination showed a mature teratoma. : This case illustrates the crucial role of the dentist, and in this case of the pediatric dentist, to promptly diagnose the underlying disease. Genetic screening may assist in detecting high-risk populations. In such complex histopathological cases, the importance of cooperating with experienced oral and maxillofacial pathologists is highlighted. We describe a rare case of intraoral malignant teratoma, and an extended literature review revealed that our case is the first ever reported.

摘要

头颈部畸胎瘤是一种胚胎性肿瘤,当全能生殖细胞脱离原组织者的发育控制并形成一个或多或少类似类器官的肿块时发生,在该肿块中可识别出来自所有三个胚层(外胚层、内胚层和中胚层)的组织。成熟畸胎瘤可能会转变为生殖细胞或非生殖细胞恶性肿瘤,或者在组织学上保持成熟状态并有可能生长,因此在长得很大时会引发某些并发症。本文旨在研究一例非常罕见的病例,一名6岁儿童出现复发性口腔内肿块,多次活检结果相互矛盾。

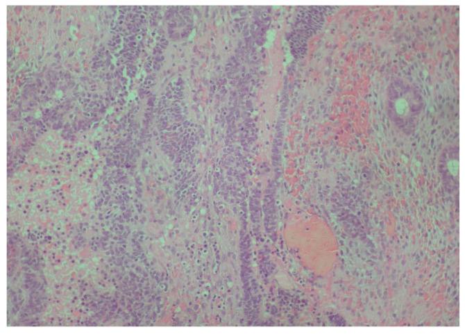
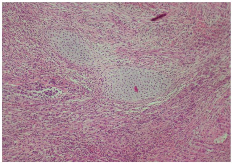
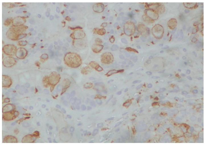
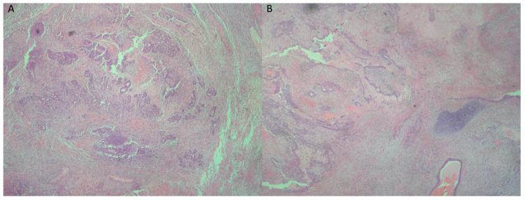
一名6岁男性患者被转诊至希腊塞萨洛尼基亚里士多德大学健康科学学院牙科学院口腔医学/病理学系的研究生诊所,因为他的儿科牙医在常规检查中发现牙齿#75远中处有一个外生性口腔内肿块。首次组织病理学检查显示为牙龈肿瘤,归类为小圆蓝细胞瘤,与釉质瘤样尤因肉瘤(ALES)更为相似,与滑膜肉瘤的相似性较小。第二位病理学家检查了相同的组织标本,并提示极罕见地存在未成熟恶性畸胎瘤。化疗后,切除了畸胎瘤剩余部分及相邻的牙齿#75,组织病理学检查显示为成熟畸胎瘤。

这个病例说明了牙医,在这个病例中是儿科牙医,及时诊断潜在疾病的关键作用。基因筛查可能有助于检测高危人群。在这种复杂的组织病理学病例中,强调了与经验丰富的口腔颌面病理学家合作的重要性。我们描述了一例罕见的口腔内恶性畸胎瘤病例,广泛的文献综述显示我们的病例是有史以来首次报道。

https://cdn.ncbi.nlm.nih.gov/pmc/blobs/c2f0/12199936/33f48e7f92e6/reports-08-00003-g001.jpg

文献AI研究员

20分钟写一篇综述,助力文献阅读效率提升50倍。

立即体验

用中文搜PubMed

大模型驱动的PubMed中文搜索引擎

马上搜索

文档翻译

学术文献翻译模型,支持多种主流文档格式。

立即体验