Suppr超能文献

从……合成的银纳米颗粒通过调节炎症途径展现肠道紧密连接修复和肝脏保护活性。 (注:原文“from”后内容缺失)

Silver Nanoparticles Synthesized from Exhibit Gut Tight Junction Restoration and Hepatoprotective Activity via Regulation of the Inflammatory Pathway.

作者信息

Aghara Hiral, Samanta Simran, Patel Manali, Chadha Prashsti, Patel Divyesh, Jha Anamika, Mandal Palash

机构信息

P. D. Patel Institute of Applied Sciences, Charotar University of Science and Technology, Changa, Anand 388421, Gujarat, India.

出版信息

Pharmaceutics. 2025 Jul 9;17(7):895. doi: 10.3390/pharmaceutics17070895.

Abstract

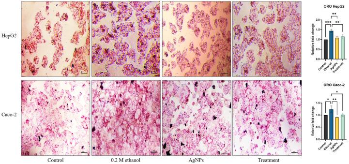
Alcohol-associated liver disease (ALD) is a primary global health concern, exacerbated by oxidative stress, inflammation, and gut barrier dysfunction. Conventional phytocompounds exhibit hepatoprotective potential but are hindered by low bioavailability. This study aimed to evaluate the hepatoprotective and gut-barrier-restorative effects of green-synthesized silver nanoparticles (AgNPs) derived from , a medicinal plant known for its antioxidant and anti-inflammatory properties. : AgNPs were synthesized using aqueous leaf extract of and characterized using UV-Vis, XRD, FTIR, DLS, and SEM. HepG2 (liver) and Caco-2 (colon) cells were exposed to 0.2 M ethanol, AgNPs (1-100 µg/mL), or both, to simulate ethanol-induced toxicity. A range of in vitro assays was performed to assess cell viability, oxidative stress (HDCFDA), nuclear and morphological integrity (DAPI and AO/EtBr staining), lipid accumulation (Oil Red O), and gene expression of pro- and anti-inflammatory, antioxidant, and tight-junction markers using RT-qPCR. : Ethanol exposure significantly increased ROS, lipid accumulation, and the expression of inflammatory genes, while decreasing antioxidant enzymes and tight-junction proteins. Green AgNPs at lower concentrations (1 and 10 µg/mL) restored cell viability, reduced ROS levels, preserved nuclear morphology, and downregulated CYP2E1 and SREBP expression. Notably, AgNPs improved the expression of Nrf2, HO-1, ZO-1, and IL-10, and reduced TNF-α and IL-6 expression in both cell lines, indicating protective effects on both liver and intestinal cells. : Green-synthesized AgNPs from exhibit potent hepatoprotective and gut-barrier-restoring effects through antioxidant, anti-inflammatory, and antilipidemic mechanisms. These findings support the therapeutic potential of plant-based nanoparticles in mitigating ethanol-induced gut-liver axis dysfunction.

摘要

酒精性肝病(ALD)是一个主要的全球健康问题,氧化应激、炎症和肠道屏障功能障碍使其恶化。传统植物化合物具有肝脏保护潜力,但受低生物利用度的阻碍。本研究旨在评估从一种以其抗氧化和抗炎特性而闻名的药用植物中绿色合成的银纳米颗粒(AgNPs)的肝脏保护和肠道屏障修复作用。方法:使用该植物的水叶提取物合成AgNPs,并通过紫外可见光谱、X射线衍射、傅里叶变换红外光谱、动态光散射和扫描电子显微镜进行表征。将HepG2(肝脏)和Caco-2(结肠)细胞暴露于0.2 M乙醇、AgNPs(1-100 µg/mL)或两者,以模拟乙醇诱导的毒性。进行一系列体外试验以评估细胞活力、氧化应激(HDCFDA)、细胞核和形态完整性(DAPI和AO/EtBr染色)、脂质积累(油红O),并使用逆转录定量聚合酶链反应评估促炎和抗炎、抗氧化及紧密连接标志物的基因表达。结果:乙醇暴露显著增加活性氧、脂质积累和炎症基因的表达,同时降低抗氧化酶和紧密连接蛋白。较低浓度(1和10 µg/mL)的绿色AgNPs恢复了细胞活力,降低了活性氧水平,保持了细胞核形态,并下调了CYP2E1和SREBP的表达。值得注意的是,AgNPs改善了两种细胞系中Nrf2、HO-1、ZO-1和IL-10的表达,并降低了TNF-α和IL-6的表达,表明对肝脏和肠道细胞均有保护作用。结论:从该植物中绿色合成的AgNPs通过抗氧化、抗炎和抗血脂机制表现出强大的肝脏保护和肠道屏障修复作用。这些发现支持了植物基纳米颗粒在减轻乙醇诱导的肠-肝轴功能障碍方面的治疗潜力。

https://cdn.ncbi.nlm.nih.gov/pmc/blobs/ef2f/12298411/1444d37f0375/pharmaceutics-17-00895-g001.jpg

文献AI研究员

20分钟写一篇综述,助力文献阅读效率提升50倍。

立即体验

用中文搜PubMed

大模型驱动的PubMed中文搜索引擎

马上搜索

文档翻译

学术文献翻译模型,支持多种主流文档格式。

立即体验