Suppr超能文献

利用MRI和超声影像组学鉴别乳腺良恶性结节的应用研究

Research on the application of distinguishing between benign and malignant breast nodules using MRI and US radiomics.

作者信息

Liu Yifan, Zhou Dan, Liu Jing, Wei Jinding, Hu Xiao, Yu Xiaoli

机构信息

Department of Radiology, Chongqing University Fuling Hospital, Chongqing, China.

Department of Pathology, Chongqing University Fuling Hospital, Chongqing, China.

出版信息

Front Oncol. 2025 Jul 16;15:1630583. doi: 10.3389/fonc.2025.1630583. eCollection 2025.

Abstract

OBJECTIVE

This study aims to develop and validate a model based on clinical and radiomic features to investigate its value in distinguishing between benign and malignant breast nodules.

METHODS

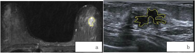
The study included 139 patients with breast diseases, divided into a training set (n=111) and a validation set (n=28) at an 8:2 ratio. All patients' dynamic contrast-enhanced MRI (DCE-MRI), diffusion-weighted imaging (DWI), T1-weighted imaging (T1WI), T2-weighted imaging (T2WI), and ultrasound (US) images were uploaded to the 3D Slicer software. Using a double-blind method, regions of interest (ROIs) were manually delineated on T1WI, T2WI, DWI, the first phase of DCE, and US images. Radiomic models were constructed using radiomic features. A comprehensive model was built by combining clinical and radiomic features through multivariate logistic regression and visualized as a nomogram. The area under the curve (AUC), accuracy, specificity, and sensitivity of five different radiomic models were compared to evaluate their discriminatory performance. A combined model was created using the T2WI radiomic model and clinical features, and the predictive performance of the clinical model, radiomic model, and combined model were compared and validated.

RESULTS

For the T1WI radiomic model, the AUC values for the training and test sets were 0.885 and 0.778, respectively. For the T2WI radiomic model, the AUC values were 0.950 and 0.871. For the DCE radiomic model, the AUC values were 0.854 and 0.749. For the DWI radiomic model, the AUC values were 0.878 and 0.763. For the US radiomic model, the AUC values were 0.878 and 0.737. The combined model using T2WI and clinical features achieved AUC values of 0.975 and 0.942 for the training and test sets, respectively.

CONCLUSION

The model combining T2WI and clinical features demonstrated higher value in non-invasively distinguishing between benign and malignant breast nodules.

摘要

目的

本研究旨在开发并验证一种基于临床和影像组学特征的模型,以探讨其在鉴别乳腺良恶性结节中的价值。

方法

该研究纳入了139例乳腺疾病患者,按照8:2的比例分为训练集(n = 111)和验证集(n = 28)。将所有患者的动态对比增强磁共振成像(DCE-MRI)、扩散加权成像(DWI)、T1加权成像(T1WI)、T2加权成像(T2WI)及超声(US)图像上传至3D Slicer软件。采用双盲法,在T1WI、T2WI、DWI、DCE的第一期及US图像上手动勾勒感兴趣区(ROI)。利用影像组学特征构建影像组学模型。通过多因素逻辑回归将临床和影像组学特征相结合构建综合模型,并将其可视化为列线图。比较5种不同影像组学模型的曲线下面积(AUC)、准确性、特异性及敏感性,以评估其鉴别性能。使用T2WI影像组学模型和临床特征创建联合模型,并比较和验证临床模型、影像组学模型及联合模型的预测性能。

结果

对于T1WI影像组学模型,训练集和测试集的AUC值分别为0.885和0.778。对于T2WI影像组学模型,AUC值分别为0.950和0.871。对于DCE影像组学模型,AUC值分别为0.854和0.749。对于DWI影像组学模型,AUC值分别为0.878和0.763。对于US影像组学模型,AUC值分别为0.878和0.737。使用T2WI和临床特征的联合模型在训练集和测试集的AUC值分别为0.975和0.942。

结论

结合T2WI和临床特征的模型在无创鉴别乳腺良恶性结节方面显示出更高的价值。

https://cdn.ncbi.nlm.nih.gov/pmc/blobs/dd3f/12307290/a13a8d1c4bf9/fonc-15-1630583-g001.jpg

文献AI研究员

20分钟写一篇综述,助力文献阅读效率提升50倍。

立即体验

用中文搜PubMed

大模型驱动的PubMed中文搜索引擎

马上搜索

文档翻译

学术文献翻译模型,支持多种主流文档格式。

立即体验