Suppr超能文献

一名患有克朗凯特-加拿大综合征患者的骨髓增生异常综合征

Myelodysplastic Syndrome in a Patient With Cronkhite-Canada Syndrome.

作者信息

Shim Kevin G, Khadarian Kevork, Samadder Jewel, Zhou Jiehao, Yi Cecilia Arana

机构信息

Department of Medicine Mayo Clinic, Hematology and Medical Oncology Phoenix Arizona USA.

Department of Gastroenterology and Hepatology Mayo Clinic Scottsdale Arizona USA.

出版信息

Clin Case Rep. 2025 Jul 30;13(8):e70602. doi: 10.1002/ccr3.70602. eCollection 2025 Aug.

Abstract

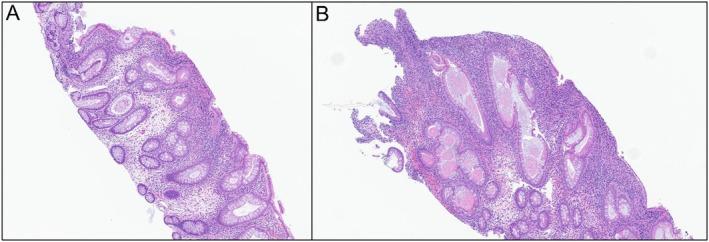
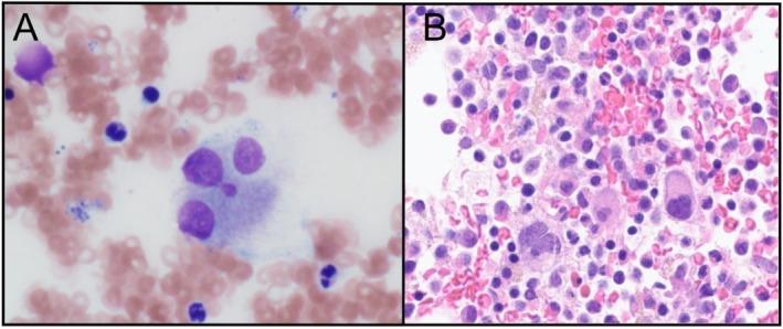
Cronkhite-Canada Syndrome (CCS) is a rare non-hereditary gastroenterological polyposis syndrome without a clear etiology. Myelodysplastic syndromes (MDS) are clonal hematological disorders. Immune dysregulation has been posited as a contributor to the development of both. A 70-year-old man developed chronic diarrhea, dysgeusia, and onycholysis. Endoscopic evaluation and testing to exclude hereditary polyposis syndromes resulted in a diagnosis of CCS. Approximately 1 year later, he was noted to have persistent anemia, which was ultimately diagnosed as MDS. He was evaluated with a myeloid disorder next-generation sequencing panel and found to have mutations in , , and . This is the second reported case characterizing concomitant MDS and CCS. This is the first case to report the development of MDS after the diagnosis and treatment of CCS. A successful management strategy for both disorders is outlined within this case report.

摘要

克朗凯特-加拿大综合征(CCS)是一种罕见的非遗传性胃肠息肉病综合征,病因不明。骨髓增生异常综合征(MDS)是克隆性血液系统疾病。免疫失调被认为是这两种疾病发生的一个因素。一名70岁男性出现慢性腹泻、味觉障碍和甲脱离。通过内镜评估和检测以排除遗传性息肉病综合征,最终诊断为CCS。大约1年后,他被发现患有持续性贫血,最终被诊断为MDS。他接受了骨髓疾病二代测序检测,发现 、 和 存在突变。这是第二例报道的同时患有MDS和CCS的病例。这是第一例报道在CCS诊断和治疗后发生MDS的病例。本病例报告概述了针对这两种疾病的成功管理策略。

https://cdn.ncbi.nlm.nih.gov/pmc/blobs/e372/12311222/cf89bdf2ed01/CCR3-13-e70602-g001.jpg

文献AI研究员

20分钟写一篇综述,助力文献阅读效率提升50倍。

立即体验

用中文搜PubMed

大模型驱动的PubMed中文搜索引擎

马上搜索

文档翻译

学术文献翻译模型,支持多种主流文档格式。

立即体验