Suppr超能文献

可分离的中缝背核多巴胺投射模拟了类似孤独状态的各个方面。

Separable dorsal raphe dopamine projections mimic the facets of a loneliness-like state.

作者信息

Lee Christopher R, Matthews Gillian A, Lemieux Mackenzie E, Wasserlein Elizabeth M, Borio Matilde, Miranda Raymundo L, Keyes Laurel R, Schneider Gates P, Jia Caroline, Tran Andrea, Aloboudi Faith, Chan May G, Peroni Enzo, Pereira Grace, López-Moraga Alba, Pallé Anna, Kimchi Eyal Y, Padilla-Coreano Nancy, Wichmann Romy, Tye Kay M

机构信息

Salk Institute for Biological Studies, La Jolla, United States.

Neurosciences Graduate Program, University of California San Diego, La Jolla, United States.

出版信息

Elife. 2025 Aug 1;14:RP105955. doi: 10.7554/eLife.105955.

Abstract

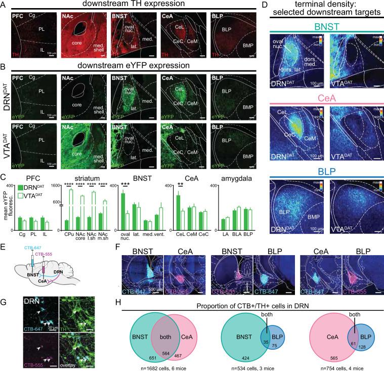
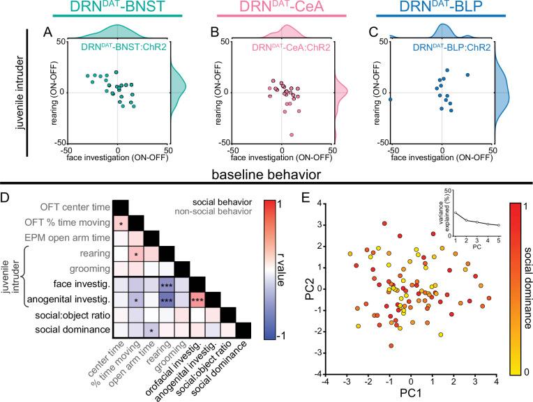
Affiliative social connections facilitate well-being and survival in numerous species. Engaging in social interactions requires positive or negative motivational drive, elicited through coordinated activity across neural circuits. However, the identity, interconnectivity, and functional encoding of social information within these circuits remains poorly understood. Here, we focus on downstream projections of dorsal raphe nucleus (DRN) dopamine neurons (DRN) in mice, which we previously implicated in social motivation alongside an aversive affective state. We show that three prominent DRN projections - to the bed nucleus of the stria terminalis (BNST), central amygdala (CeA), and posterior basolateral amygdala (BLP) - play separable roles in behavior, despite substantial collateralization. Photoactivation of the DRN-CeA projection promoted social behavior and photostimulation of the DRN-BNST projection promoted exploratory behavior, while the DRN-BLP projection supported place avoidance, suggesting a negative affective state. Downstream regions showed diverse receptor expression, poising DRN neurons to act through dopamine, neuropeptide, and glutamate transmission. Furthermore, we show ex vivo that the effect of DRN photostimulation on downstream neuron excitability depended on region and baseline cell properties, resulting in excitatory responses in BNST cells and diverse responses in CeA and BLP. Finally, in vivo microendoscopic cellular-resolution recordings in the CeA with DRN photostimulation revealed a correlation between social behavior and neurons excited by social stimuli, suggesting that increased dopamine tone may recruit different CeA neurons to social ensembles. Collectively, these circuit features may facilitate a coordinated, but flexible, response in the presence of social stimuli that can be flexibly guided based on the internal social homeostatic need state of the individual.

摘要

亲和性社会联系有助于众多物种的福祉和生存。参与社会互动需要通过神经回路的协同活动引发的正向或负向动机驱动。然而,这些回路中社会信息的身份、相互连接性和功能编码仍知之甚少。在这里,我们聚焦于小鼠中缝背核(DRN)多巴胺能神经元的下游投射,我们之前发现这些投射与社会动机以及厌恶情绪状态有关。我们发现,尽管存在大量侧支联系,但DRN的三个主要投射——到终纹床核(BNST)、中央杏仁核(CeA)和基底外侧杏仁核后部(BLP)——在行为中发挥着不同的作用。DRN-CeA投射的光激活促进了社会行为,DRN-BNST投射的光刺激促进了探索行为,而DRN-BLP投射则支持位置回避,表明存在负性情绪状态。下游区域表现出多样的受体表达,使DRN神经元能够通过多巴胺、神经肽和谷氨酸传递发挥作用。此外,我们在体外发现,DRN光刺激对下游神经元兴奋性的影响取决于区域和基线细胞特性,在BNST细胞中产生兴奋性反应,在CeA和BLP中产生多样的反应。最后,在体内对CeA进行微内镜细胞分辨率记录并结合DRN光刺激,揭示了社会行为与被社会刺激兴奋的神经元之间的相关性,表明多巴胺水平升高可能会将不同的CeA神经元招募到社会集合中。总的来说,这些回路特征可能有助于在存在社会刺激时做出协调但灵活的反应,这种反应可以根据个体内部的社会稳态需求状态进行灵活引导。

https://cdn.ncbi.nlm.nih.gov/pmc/blobs/c0d6/12316461/c92f2a71ce68/elife-105955-fig1.jpg

文献AI研究员

20分钟写一篇综述,助力文献阅读效率提升50倍。

立即体验

用中文搜PubMed

大模型驱动的PubMed中文搜索引擎

马上搜索

文档翻译

学术文献翻译模型,支持多种主流文档格式。

立即体验