Suppr超能文献

在多房棘球绦虫感染中阻断NKG2A可部分缓解宿主NK细胞功能的损伤。

Blocking NKG2A in Echinococcus multilocularis infection partially relieves impairment of NK cell function of the host.

作者信息

Aierken Ayinuer, Aierken Aili, Aimulajiang Kalibixiati, Abulizi Abuduaini, Yuan Zhongdian, Liu Chang, Zhu Dalong, Zhao Hanyue, Aji Tuerganaili

机构信息

Hepatobiliary & Hydatid Disease Department, State Key Laboratory of Pathogenesis, Prevention and Treatment of High Incidence Diseases in Central Asia, First Affiliated Hospital of Xinjiang Medical University, Urumqi, 830054, Xinjiang Uyghur Autonomous Region, China.

State Key Laboratory of Pathogenesis, Prevention and Treatment of High Incidence Diseases in Central Asia, Clinical Medicine Institute, The First Affiliated Hospital of Xinjiang Medical University, Urumqi, 830054, Xinjiang, China.

出版信息

Cell Mol Life Sci. 2025 Aug 2;82(1):297. doi: 10.1007/s00018-025-05838-y.

Abstract

BACKGROUND

Alveolar echinococcosis (AE) is a fatal zoonotic parasitic disease with biological characteristics similar to cancer. Although previous studies have reported immune dysfunction of Natural Killer (NK) cells due to other inhibitory receptors in AE, limited research has been conducted on the role of Natural Killer cell protein Group 2-A (NKG2A) in human NK cells.

METHODS AND RESULTS

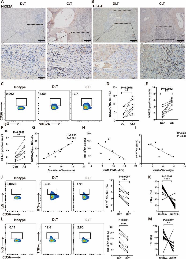
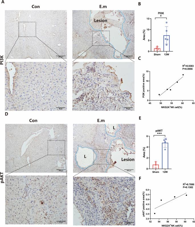
Our study revealed upregulation of NKG2A expression in peripheral blood and liver tissue NK cells in patients with AE, which was accompanied by a decrease in the secretion of IFN-γ, TNF-α, and Granzyme B by these NK cells. When we blocked the NKG2A receptor during co-culture of NK cells with Echinococcus multilocularis (E. multilocularis) proteins in vitro, we observed increased secretion of IFN-γ, TNF-α, and Granzyme B by NK cells. This observation was further confirmed in an E. multilocularis-infected mice model, in which higher expression levels of NKG2A on NK cells were detected, accompanied by a reduction in IFN-γ, TNF-α and Granzyme B secretion from NK cells. Deletion of NK cells in an E. multilocularis-infected mice model clearly resulted in more aggressive disease progression. Conversely, blocking NKG2A on NK cells results in increased secretion of TNF-α, and Granzyme B by NK cells. Similar changes in NKG2A expression and NK cell quality were observed in a mice model of splenic NK cells, as well as the functional recovery of NK cells after blocking NKG2A.

CONCLUSION

Our results demonstrate the involvement of NKG2A in impaired NK cell function during E. multilocularis infection in both humans and mice, suggesting that targeting NKG2A through blockade has the potential to restore NK cell function against this infection.

摘要

背景

泡型包虫病(AE)是一种致命的人畜共患寄生虫病,具有与癌症相似的生物学特性。尽管先前的研究报道了AE中由于其他抑制性受体导致自然杀伤(NK)细胞免疫功能障碍,但关于自然杀伤细胞蛋白2-A组(NKG2A)在人NK细胞中的作用的研究有限。

方法与结果

我们的研究揭示了AE患者外周血和肝组织NK细胞中NKG2A表达上调,同时这些NK细胞分泌的干扰素-γ、肿瘤坏死因子-α和颗粒酶B减少。当我们在体外将NK细胞与多房棘球绦虫(E. multilocularis)蛋白共培养期间阻断NKG2A受体时,我们观察到NK细胞分泌的干扰素-γ、肿瘤坏死因子-α和颗粒酶B增加。这一观察结果在多房棘球绦虫感染的小鼠模型中得到进一步证实,在该模型中检测到NK细胞上NKG2A的表达水平更高,同时NK细胞分泌的干扰素-γ、肿瘤坏死因子-α和颗粒酶B减少。在多房棘球绦虫感染的小鼠模型中删除NK细胞明显导致疾病进展更具侵袭性。相反,阻断NK细胞上的NKG2A会导致NK细胞分泌的肿瘤坏死因子-α和颗粒酶B增加。在脾NK细胞的小鼠模型中观察到NKG2A表达和NK细胞质量的类似变化,以及阻断NKG2A后NK细胞的功能恢复。

结论

我们的结果表明NKG2A参与了人和小鼠多房棘球绦虫感染期间NK细胞功能受损,这表明通过阻断靶向NKG2A有可能恢复NK细胞针对这种感染的功能。

https://cdn.ncbi.nlm.nih.gov/pmc/blobs/1855/12317963/36c1edef4132/18_2025_5838_Fig1_HTML.jpg

文献AI研究员

20分钟写一篇综述,助力文献阅读效率提升50倍。

立即体验

用中文搜PubMed

大模型驱动的PubMed中文搜索引擎

马上搜索

文档翻译

学术文献翻译模型,支持多种主流文档格式。

立即体验