Suppr超能文献

伴有浆细胞样树突状细胞增殖的急性髓系白血病:一例报告及文献复习

Acute myeloid leukemia with plasmacytoid dendritic cell proliferation: A case report and literature review.

作者信息

Pei Zhixin, Zhang Yi, Xu Han, Pei Pei, Zhang Zhengyang, Wang Hongxia, Zhang Bei, Bai Junjun, Zhao Yingxin, Gu Jingjing, Fang Zhiyu, Liu Miaomiao, Song Qinglin

机构信息

Department of Hematology, Jiaozuo People's Hospital, Jiaozuo, Henan 454000, P.R. China.

Department of Clinical Pharmacy, Jiaozuo People's Hospital, Jiaozuo, Henan 454000, P.R. China.

出版信息

Oncol Lett. 2025 Jul 22;30(4):456. doi: 10.3892/ol.2025.15202. eCollection 2025 Oct.

Abstract

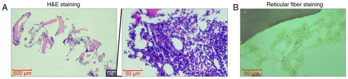
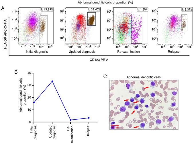
The present study describes a rare case of plasmacytoid dendritic cell-associated acute myeloid leukemia (pDC-AML). A 70-year-old male patient was diagnosed with pDC-AML and underwent induction chemotherapy using the venetoclax + azacitidine (VA) regimen. After 3 weeks of treatment, bone marrow examination indicated a morphologic leukemia-free state (MLFS); however, the patient experienced persistent cytopenia, which was further complicated by severe pneumonia and gastrointestinal bleeding, both of which improved following treatment. After 3 weeks in MLFS, bone marrow morphology and minimal residual disease analysis revealed a relapse of leukemia. The patient subsequently underwent treatment with selinexor in conjunction with the VA regimen; however, due to severe thrombocytopenia, the family decided to discontinue further treatment. The patient subsequently succumbed shortly after discharge. pDC-AML is an extremely rare disease characterized by low complete remission rates and a poor prognosis. While the VA regimen demonstrates rapid efficacy and favorable safety in elderly patients, especially those unable to tolerate intensive chemotherapy, the risk of relapse remains substantial. CD123-targeted therapies may present potential new therapeutic options for this disease. Improving remission rates and extending survival in patients with pDC-AML remain pressing clinical challenges.

摘要

本研究描述了一例罕见的浆细胞样树突状细胞相关急性髓系白血病(pDC-AML)病例。一名70岁男性患者被诊断为pDC-AML,并接受了维奈克拉+阿扎胞苷(VA)方案的诱导化疗。治疗3周后,骨髓检查显示形态学上无白血病状态(MLFS);然而,患者持续存在血细胞减少,并并发严重肺炎和胃肠道出血,经治疗后二者均有所改善。在处于MLFS 3周后,骨髓形态学和微小残留病分析显示白血病复发。该患者随后接受了塞利尼索联合VA方案的治疗;然而,由于严重血小板减少,家属决定停止进一步治疗。患者随后在出院后不久死亡。pDC-AML是一种极其罕见的疾病,其特征是完全缓解率低且预后不良。虽然VA方案在老年患者,尤其是那些无法耐受强化化疗的患者中显示出快速疗效和良好的安全性,但复发风险仍然很大。靶向CD123的疗法可能为该疾病提供潜在的新治疗选择。提高pDC-AML患者的缓解率并延长其生存期仍然是紧迫的临床挑战。

https://cdn.ncbi.nlm.nih.gov/pmc/blobs/6258/12319271/d52eac3def61/ol-30-04-15202-g00.jpg

文献AI研究员

20分钟写一篇综述,助力文献阅读效率提升50倍。

立即体验

用中文搜PubMed

大模型驱动的PubMed中文搜索引擎

马上搜索

文档翻译

学术文献翻译模型,支持多种主流文档格式。

立即体验