Suppr超能文献

在天然年轻细胞外基质上培养的衰老脂肪来源间充质干细胞,可免受衰老和凋亡影响,同时与PI3K信号相关的HLA-DR和CD74表达增加。

Aging Adipose-Derived Mesenchymal Stem Cells, Cultured on a Native Young Extracellular Matrix, Are Protected From Senescence and Apoptosis Along With Increased Expression of HLA-DR and CD74 Associated With PI3K Signaling.

作者信息

Gonzalez Aaron O, Abdul Azees Parveez A, Chen Jerry P, Marinkovic Milos, Cao Brian, Liang Ting, Hu Peiqing, Yeh Chih-Ko, Dean David D, Bai Yidong, Chen Xiao-Dong

机构信息

Department of Comprehensive Dentistry, UT Health San Antonio, School of Dentistry, San Antonio, Texas, USA.

Department of Biomedical Engineering, University of Texas at San Antonio, San Antonio, Texas, USA.

出版信息

Aging Cell. 2025 Sep;24(9):e70165. doi: 10.1111/acel.70165. Epub 2025 Aug 5.

Abstract

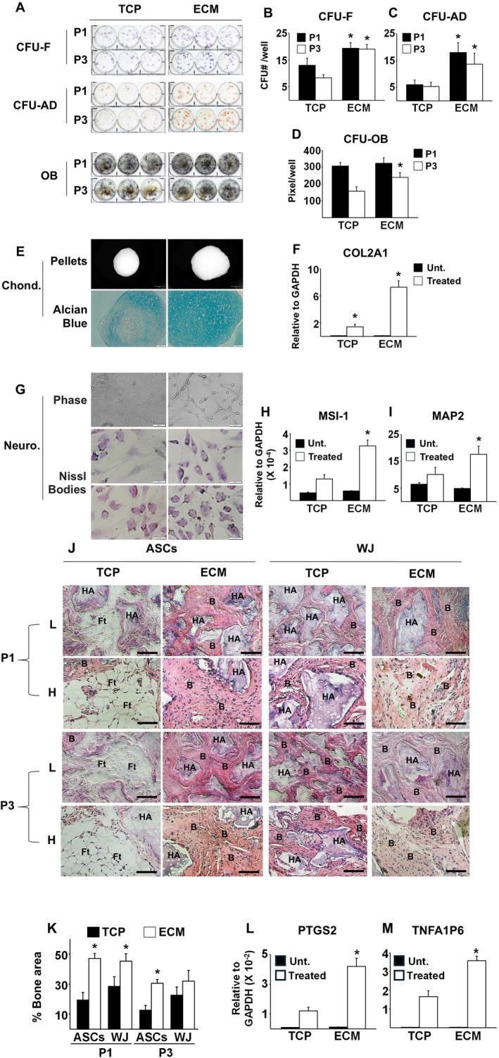
Older adults are the primary population for cell-based therapies for age-related diseases, but the efficacy of administering autologous mesenchymal stem cells (MSCs) is impaired due to biological aging. In the present study, we cultured aging adipose (AD)-derived MSCs from > 65-year-old donors on extracellular matrix (ECM) synthesized by human amniotic fluid-derived pluripotent stem cells (ECM Plus) versus tissue culture plastic (TCP) and hypothesized that ECM Plus provided an ideal "young" microenvironment for reactivating and preserving early-stage progenitor cells within aging AD-MSCs. To test our hypothesis, we serially sub-cultured aging AD-MSCs on ECM Plus or TCP and characterized the cells both phenotypically and functionally, and then analyzed the cells at the single-cell transcriptomic level for the mechanisms that control cell fate. The results showed that the maintenance of aging AD-MSCs on ECM Plus significantly restored their quantity and quality. The mechanisms responsible for these effects were associated with a remarkable up-regulation of intracellular CD74 when cells were maintained on ECM Plus compared to TCP, which triggered activation of the phosphoinositide-3-kinase (PI3K) pathway as a key modulator of cell survival (anti-apoptosis) and suppression of cellular senescence. Moreover, AD-MSCs maintained on ECM Plus increased their expression of HLA-DR and stimulated T cell activity. These findings challenge the "immune privilege" of allogeneic MSCs as a universal source for MSC-based therapies. The present study leads to a new paradigm for treating age-related diseases: serial administration of rejuvenated autologous MSCs, which may not only replace aged MSCs but also gradually reverse the aged microenvironment.

摘要

老年人是基于细胞疗法治疗与年龄相关疾病的主要人群,但由于生物衰老,自体间充质干细胞(MSCs)的给药效果会受到损害。在本研究中,我们将来自65岁以上捐赠者的衰老脂肪(AD)来源的MSCs接种于由人羊水来源的多能干细胞合成的细胞外基质(ECM Plus)上培养,而不是在组织培养塑料(TCP)上培养,并假设ECM Plus为重新激活和保存衰老AD-MSCs内的早期祖细胞提供了理想的“年轻”微环境。为了验证我们的假设,我们在ECM Plus或TCP上对衰老AD-MSCs进行连续传代培养,并对细胞进行表型和功能特征分析,然后在单细胞转录组水平分析控制细胞命运的机制。结果表明,在ECM Plus上培养衰老AD-MSCs能显著恢复其数量和质量。与TCP相比,当细胞在ECM Plus上培养时,这些效应的机制与细胞内CD74的显著上调有关,这触发了磷酸肌醇-3-激酶(PI3K)途径的激活,PI3K途径是细胞存活(抗凋亡)和抑制细胞衰老的关键调节因子。此外,在ECM Plus上培养的AD-MSCs增加了HLA-DR的表达并刺激了T细胞活性。这些发现挑战了同种异体MSCs作为基于MSC疗法的通用来源的“免疫特权”。本研究为治疗与年龄相关疾病带来了一种新范式:连续给予恢复活力的自体MSCs,这不仅可以替代衰老的MSCs,还可以逐渐逆转衰老的微环境。

https://cdn.ncbi.nlm.nih.gov/pmc/blobs/eaa3/12419859/ade7359de18b/ACEL-24-e70165-g001.jpg

文献AI研究员

20分钟写一篇综述,助力文献阅读效率提升50倍。

立即体验

用中文搜PubMed

大模型驱动的PubMed中文搜索引擎

马上搜索

文档翻译

学术文献翻译模型,支持多种主流文档格式。

立即体验