Suppr超能文献

DDX41 解开 G-四链体以维持红细胞基因组完整性并防止 cGAS 介导的细胞死亡。

DDX41 resolves G-quadruplexes to maintain erythroid genome integrity and prevent cGAS-mediated cell death.

作者信息

Bi Honghao, Ren Kehan, Wang Pan, Li Ermin, Han Xu, Wang Wen, Yang Jing, Aydemir Inci, Tao Kara, Ma Renee, Godley Lucy A, Liu Yan, Shukla Vipul, Bartom Elizabeth T, Tang Yuefeng, Blanc Lionel, Sukhanova Madina, Ji Peng

机构信息

Department of Pathology, Feinberg School of Medicine, Northwestern University, Chicago, IL, USA.

Robert H. Lurie Comprehensive Cancer Center, Northwestern University, Chicago, IL, USA.

出版信息

Nat Commun. 2025 Aug 5;16(1):7195. doi: 10.1038/s41467-025-62307-7.

Abstract

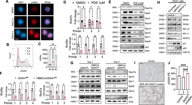
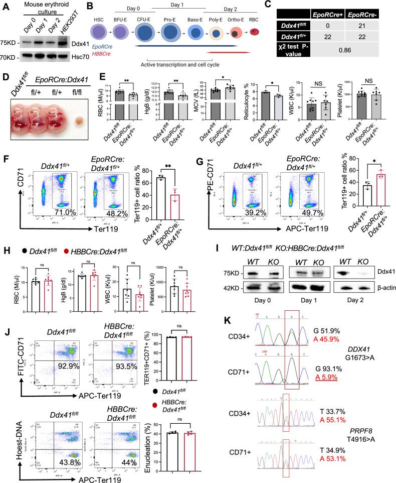
Deleterious germline DDX41 variants constitute the most common inherited predisposition disorder linked to myeloid neoplasms (MNs), yet their role in MNs remains unclear. Here we show that DDX41 is essential for erythropoiesis but dispensable for other hematopoietic lineages. Ddx41 knockout in early erythropoiesis is embryonically lethal, while knockout in late-stage terminal erythropoiesis allows mice to survive with normal blood counts. DDX41 deficiency induces a significant upregulation of G-quadruplexes (G4), which co-distribute with DDX41 on the erythroid genome. DDX41 directly binds to and resolves G4, which is significantly compromised in MN-associated DDX41 mutants. G4 accumulation induces erythroid genome instability, ribosomal defects, and p53 upregulation. However, p53 deficiency does not rescue the embryonic death of Ddx41 hematopoietic-specific knockout mice. In parallel, genome instability also activates the cGas-Sting pathway, impairing survival, as cGas deficiency rescues the lethality of hematopoietic-specific Ddx41 knockout mice. This is supported by data from a DDX41-mutated MN patient and human iPSC-derived bone marrow organoids. Our study establishes DDX41 as a G4 resolvase, essential for erythroid genome stability and suppressing the cGAS-STING pathway.

摘要

有害的种系 DDX41 变异是与髓系肿瘤(MNs)相关的最常见的遗传性易感性疾病,但其在 MNs 中的作用仍不清楚。在这里,我们表明 DDX41 对红细胞生成至关重要,但对其他造血谱系是可有可无的。早期红细胞生成中的 Ddx41 基因敲除在胚胎期是致死的,而晚期终末红细胞生成中的基因敲除使小鼠能够在正常血细胞计数下存活。DDX41 缺陷导致 G-四链体(G4)显著上调,G4 与 DDX41 在红系基因组上共同分布。DDX41 直接结合并解析 G4,而在与 MN 相关的 DDX41 突变体中,这种结合和解析能力显著受损。G4 积累导致红系基因组不稳定、核糖体缺陷和 p53 上调。然而,p53 缺陷并不能挽救 Ddx41 造血特异性基因敲除小鼠的胚胎死亡。同时,基因组不稳定也激活了 cGas-Sting 通路,损害了小鼠的存活,因为 cGas 缺陷挽救了造血特异性 Ddx41 基因敲除小鼠的致死性。一名 DDX41 突变的 MN 患者和人诱导多能干细胞衍生的骨髓类器官的数据支持了这一点。我们的研究确定 DDX41 是一种 G4 解旋酶,对红系基因组稳定性和抑制 cGAS-STING 通路至关重要。

https://cdn.ncbi.nlm.nih.gov/pmc/blobs/2d71/12325982/e9fefd12a965/41467_2025_62307_Fig1_HTML.jpg

文献AI研究员

20分钟写一篇综述,助力文献阅读效率提升50倍。

立即体验

用中文搜PubMed

大模型驱动的PubMed中文搜索引擎

马上搜索

文档翻译

学术文献翻译模型,支持多种主流文档格式。

立即体验