Suppr超能文献

病例报告:伴有SF3B1、ASXL1、JAK2和CBL基因突变且骨髓环形铁粒幼细胞<15%的骨髓增生异常/骨髓增殖性肿瘤

Case Report: Myelodysplastic/myeloproliferative neoplasm with concurrent SF3B1, ASXL1, JAK2 and CBL mutations and <15% bone marrow ringed sideroblasts.

作者信息

Wang Yifan, Jin Shengyu

机构信息

Yanbian University, Yanji, Jilin, China.

Department of Hematology, Yanbian University Hospital, Yanji, Jilin, China.

出版信息

Front Oncol. 2025 Jul 23;15:1622820. doi: 10.3389/fonc.2025.1622820. eCollection 2025.

Abstract

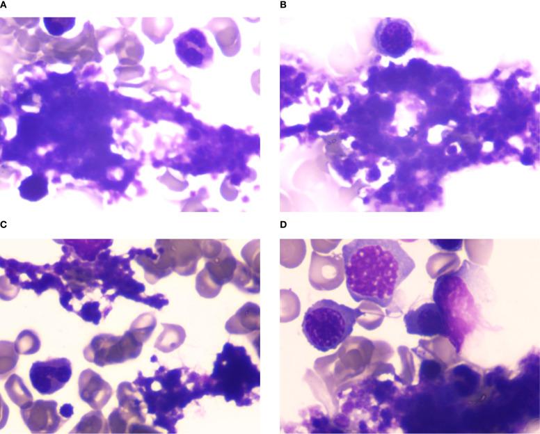
This first-reported case of SF3B1-mutated myelodysplastic/myeloproliferative neoplasm with thrombocytosis (MDS/MPN-SF3B1-T), harboring coexisting ASXL1, JAK2 p.R683G, and CBL mutations challenges conventional genomic prognostic paradigms. A 72-year-old woman presented with anemia (Hb 91 g/L), thrombocytosis (Platelets 502×10/L), and 10% bone marrow ring sideroblasts, fulfilling 2022 WHO diagnostic criteria through molecular precedence of SF3B1 p.K700E (VAF 40.5%) despite subthreshold sideroblasts. Comprehensive genomic profiling revealed a unique quadruple mutation signature: ASXL1 p.G646Wfs*12 (9.8% VAF), JAK2 p.R683G (17.5%), and CBL p.R149Q (16.2%), with preserved karyotype. Functional analyses demonstrated mutation-specific pathobiological crosstalk: 1) SF3B1-mediated mitochondrial iron mislocalization (ALAS2 splicing defects, ABCB7 downregulation) synergized with ASXL1-driven epigenetic repression of erythroid transcription factors (GATA1, KLF1), exacerbating anemia; 2) JAK2 p.R683G's partial kinase activation combined with CBL-dependent RAS/MAPK signaling sustained thrombocytosis through megakaryocytic hyperplasia. Despite harboring high-risk ASXL1 truncation, the patient maintained hematologic stability for six months without therapy, exhibiting declining platelet counts and improving Hb. This apparent genotype-phenotype discordance was attributed to clonal equilibrium (SF3B1 dominance suppressing ASXL1 leukemogenicity) and mutation-specific signaling attenuation (JAK2 R683G's suboptimal kinase activation). Our findings necessitate revision of therapeutic algorithms for molecularly complex, treatment-naive elderly patients, particularly in resource-limited settings where socioeconomic factors critically influence management strategies.

摘要

这例首次报道的伴有血小板增多的SF3B1突变型骨髓增生异常/骨髓增殖性肿瘤(MDS/MPN-SF3B1-T),同时存在ASXL1、JAK2 p.R683G和CBL突变,对传统的基因组预后模式提出了挑战。一名72岁女性出现贫血(血红蛋白91 g/L)、血小板增多(血小板502×10/L),骨髓环形铁粒幼细胞占10%,尽管铁粒幼细胞未达到阈值,但通过SF3B1 p.K700E(变异等位基因频率40.5%)的分子优先性符合2022年世界卫生组织诊断标准。综合基因组分析揭示了一种独特的四重突变特征:ASXL1 p.G646Wfs*12(变异等位基因频率9.8%)、JAK2 p.R683G(17.5%)和CBL p.R149Q(16.2%),核型正常。功能分析显示了突变特异性的病理生物学相互作用:1)SF3B1介导的线粒体铁定位错误(ALAS2剪接缺陷、ABCB7下调)与ASXL1驱动的红系转录因子(GATA1、KLF1)表观遗传抑制协同作用,加重贫血;2)JAK2 p.R683G的部分激酶激活与CBL依赖的RAS/MAPK信号传导相结合,通过巨核细胞增生维持血小板增多。尽管存在高危的ASXL1截短突变,但患者未经治疗血液学稳定了6个月,血小板计数下降,血红蛋白改善。这种明显的基因型-表型不一致归因于克隆平衡(SF3B1优势抑制ASXL1致白血病性)和突变特异性信号衰减(JAK2 R683G的次优激酶激活)。我们的研究结果有必要修订针对分子复杂、未接受过治疗的老年患者的治疗算法,特别是在社会经济因素严重影响管理策略的资源有限环境中。

https://cdn.ncbi.nlm.nih.gov/pmc/blobs/1920/12327088/9594e12a5c77/fonc-15-1622820-g001.jpg

文献AI研究员

20分钟写一篇综述,助力文献阅读效率提升50倍。

立即体验

用中文搜PubMed

大模型驱动的PubMed中文搜索引擎

马上搜索

文档翻译

学术文献翻译模型,支持多种主流文档格式。

立即体验