Suppr超能文献

中国首例儿童吉特曼综合征合并回盲部息肉病例报告:一例病例报告

First case report in China of Gitelman syndrome associated with ileocecal polyps in a child: a case report.

作者信息

Wang Yue, Lei Haiyan, Wang Haibin, Yang Jun, Guo Hongxi

机构信息

School of Medicine, Jianghan University, Wuhan, China.

Wuhan Children's Hospital (Wuhan Maternal and Child Healthcare Hospital), Tongji Medical College, Huazhong University of Science & Technology, Wuhan, China.

出版信息

BMC Pediatr. 2025 Aug 7;25(1):604. doi: 10.1186/s12887-025-05977-y.

Abstract

BACKGROUND

Gitelman syndrome (GS) is a rare autosomal recessive renal tubular disorder characterized by hypokalemia, metabolic alkalosis, and hypomagnesemia.While gastrointestinal polyps are common in children, their co-occurrence with GS is exceedingly rare. This report presents the first documented pediatric case in China of GS associated with ileocecal polyps.

CASE PRESENTATION

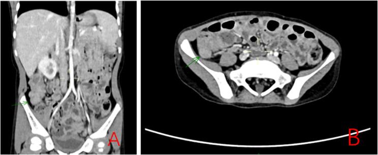
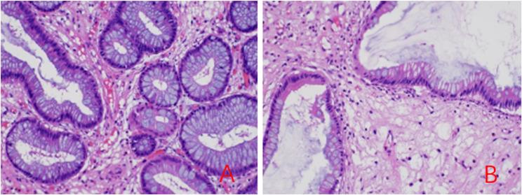
A 5-year-old male presented with paroxysmal periumbilical abdominal pain and persistent hypokalemia (2.72 mmol/L). Imaging revealed a 4 cm × 3 cm × 3 cm ileocecal mass, initially suspected as lymphoma. Colonoscopy identified a pedunculated polyp, excised via electrocoagulation. Histopathology confirmed a juvenile polyp. Genetic testing identified compound heterozygous mutations in the SLC12A3 gene (paternally inherited c.923dup and maternally inherited c.2521 + 253 C > T),confirming GS. Postoperative potassium supplementation stabilized serum potassium (3.27 mmol/L at discharge).

CONCLUSION

This report underscores the importance of genetic testing in cases with complex presentations, such as the rare association described here, and raises awareness of potential gastrointestinal comorbidities in GS. Further research is needed to explore shared pathophysiological mechanisms between renal tubular disorders and intestinal polyps.

摘要

背景

吉特林综合征(GS)是一种罕见的常染色体隐性肾小管疾病,其特征为低钾血症、代谢性碱中毒和低镁血症。虽然胃肠道息肉在儿童中很常见,但它们与GS同时出现极为罕见。本报告介绍了中国首例记录在案的与回盲部息肉相关的小儿GS病例。

病例介绍

一名5岁男性出现阵发性脐周腹痛和持续性低钾血症(2.72 mmol/L)。影像学检查发现一个4 cm×3 cm×3 cm的回盲部肿物,最初怀疑为淋巴瘤。结肠镜检查发现一个带蒂息肉,通过电凝切除。组织病理学证实为幼年性息肉。基因检测确定SLC12A3基因存在复合杂合突变(父系遗传的c.923dup和母系遗传的c.2521+253 C>T),确诊为GS。术后补钾使血清钾稳定(出院时为3.27 mmol/L)。

结论

本报告强调了在出现复杂表现的病例(如此处所述的罕见关联)中进行基因检测的重要性,并提高了对GS潜在胃肠道合并症的认识。需要进一步研究以探索肾小管疾病和肠道息肉之间共同的病理生理机制。

https://cdn.ncbi.nlm.nih.gov/pmc/blobs/bb6c/12330047/c3a18b1a6ac1/12887_2025_5977_Fig1_HTML.jpg

文献AI研究员

20分钟写一篇综述,助力文献阅读效率提升50倍。

立即体验

用中文搜PubMed

大模型驱动的PubMed中文搜索引擎

马上搜索

文档翻译

学术文献翻译模型,支持多种主流文档格式。

立即体验