Suppr超能文献

磁性纳米颗粒在生物医学边界中的应用。

Applications of magnetic nanoparticles for boundarics in biomedicine.

作者信息

Yang Fang, Li Juan, Chen Tianxiang, Ren Wenzhi, Gao Changyong, Lin Jie, Xu Chen, Ma Xuehua, Xing Jie, Bao Hongying, Jiang Bo, Xiang Lingchao, Wu Aiguo

机构信息

Laboratory of Advanced Theranostic Materials and Technology, Ningbo Key Laboratory of Biomedical Imaging Probe Materials and Technology, Zhejiang International Cooperation Base of Biomedical Materials Technology and Application, Chinese Academy of Sciences (CAS) Key Laboratory of Magnetic Materials and Devices, Ningbo Institute of Materials Technology and Engineering, Chinese Academy of Sciences, Ningbo 315201, China.

Zhejiang International Cooperation Base of Biomedical Materials Technology and Application, Zhejiang Engineering Research Center for Biomedical Materials, Ningbo Cixi Institute of Biomedical Engineering, Cixi 315300, China.

出版信息

Fundam Res. 2025 Jan 2;5(4):1401-1422. doi: 10.1016/j.fmre.2024.12.017. eCollection 2025 Jul.

Abstract

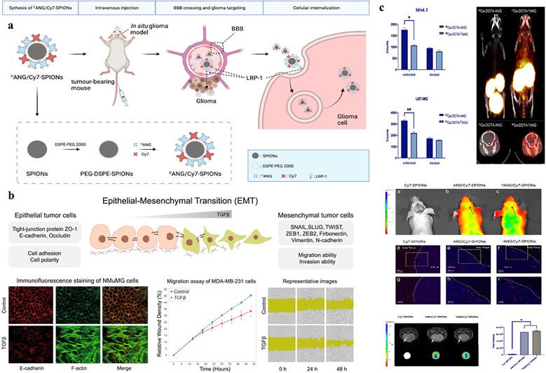
Accurate mapping of boundarics in biomedicine is crucial for improving early diagnosis, crafting individualized medical regimens, and evaluating therapeutic efficacy. Magnetic nanomaterials have attracted considerable attention in the diagnosis and treatment of disease lesions, due to their unique physicochemical properties (e.g., magnetically responsive performance and superparamagnetism). In recent years, the application of magnetic nanoparticles in disease imaging has advanced rapidly, showing significant advantages in the detection of tumors and other major diseases. Leveraging their strong magnetic properties, magnetic nanoparticles not only enable high-precision real-time detection of lesions but also possess potential for long-term monitoring. In this article, key aspects of magnetic nanomaterials applied for boundarics in biomedicine are discussed, including controllable material preparation, material performance optimization, and lesion boundary imaging. Furthermore, the prevailing strategies for magnetic nanomaterials and their successful implementation in multimodal imaging techniques are summarized, with particular emphasis on their significance in defining the boundaries of tumors and other major diseases. Ultimately, the challenges that persist in boundarics in biomedicine and the corresponding approaches are presented, providing insights to advance boundary imaging techniques.

摘要

在生物医学中精确绘制边界对于改善早期诊断、制定个性化医疗方案以及评估治疗效果至关重要。磁性纳米材料因其独特的物理化学性质(如磁响应性能和超顺磁性)在疾病病灶的诊断和治疗中受到了广泛关注。近年来,磁性纳米颗粒在疾病成像中的应用发展迅速,在肿瘤和其他重大疾病的检测中显示出显著优势。利用其强磁性,磁性纳米颗粒不仅能够实现对病灶的高精度实时检测,还具有长期监测的潜力。本文讨论了磁性纳米材料在生物医学边界应用中的关键方面,包括可控的材料制备、材料性能优化以及病灶边界成像。此外,总结了磁性纳米材料的主流策略及其在多模态成像技术中的成功应用,特别强调了它们在界定肿瘤和其他重大疾病边界方面的意义。最后,介绍了生物医学边界中仍然存在的挑战以及相应的解决方法,为推进边界成像技术提供了见解。

https://cdn.ncbi.nlm.nih.gov/pmc/blobs/43bb/12327873/faaeaffe5c76/ga1.jpg

文献AI研究员

20分钟写一篇综述,助力文献阅读效率提升50倍。

立即体验

用中文搜PubMed

大模型驱动的PubMed中文搜索引擎

马上搜索

文档翻译

学术文献翻译模型,支持多种主流文档格式。

立即体验