Suppr超能文献

一例罕见的雌激素受体阳性分泌性乳腺癌:诊断挑战与外科治疗

A rare ER-positive secretory breast carcinoma: diagnostic challenges and surgical treatment.

作者信息

Malla Kaushal, Hamal Dipson, Chaudhary Kabita, Karki Gaurav, Bhugai Nabaraj, Rayamajhi Bikash Bahadur, Adhikari Ashish

机构信息

Department of Emergency Medicine, Nepalese Army Institute of Health Sciences, Kathmandu, Nepal.

Department of Community Medicine, Nepalese Army Institute of Health Sciences, Kathmandu, Nepal.

出版信息

Ann Med Surg (Lond). 2025 Jun 23;87(8):5257-5260. doi: 10.1097/MS9.0000000000003490. eCollection 2025 Aug.

Abstract

INTRODUCTION

Secretory breast carcinoma (SBC) is a rare, slow-growing type of breast cancer with a good prognosis, accounting for less than 1% of all breast cancers. It is associated with the ETV6-NTRK3 gene translocation and has a triple-negative molecular profile, but unlike most triple-negative breast cancers, it is less aggressive and rarely metastasizes.

CASE PRESENTATION

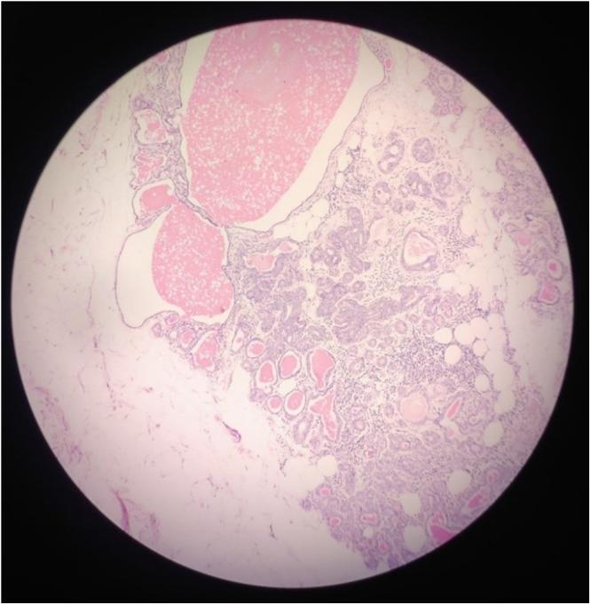
A 47-year-old woman presented with bloody breast discharge and a lump. Sonomammography revealed BIRADS-4 (Breast Imaging-Reporting and Data System) cystic lesions. Biopsy confirmed low-grade secretory carcinoma, estrogen receptor (ER)-positive, progesterone receptor (PR)- and Human Epidermal growth factor Receptor 2 (HER2)-negative. After a modified radical mastectomy with lymph node dissection, histopathology showed clear margins and no lymph node involvement. At her 1-month follow-up, she had no complications and full shoulder mobility.

DISCUSSION

SBC is a rare, low-grade breast cancer, more common in young individuals but occurring across all ages. It presents as a painless mass, often mistaken for a fibroadenoma. Histologically, it shows microcystic and tubular features with Periodic acid-Schiff positive material. SBC is usually triple-negative (ER, PR, and HER2), but ER positivity has been reported. Treatment primarily involves surgical excision, with the role of axillary node dissection debated due to low metastatic risk. Tropomyosin receptor kinase (TRK) inhibitors are being explored for NTRK fusion cancers like SBC.

CONCLUSION

SBC diagnosis requires confirmation of the ETV6-NTRK translocation. Though typically triple-negative, hormone expression varies. Treatment involves mastectomy, with lymph node dissection debated due to low metastasis risk. Evidence for adjuvant chemotherapy is limited in SBC management.

摘要

引言

分泌性乳腺癌(SBC)是一种罕见的、生长缓慢的乳腺癌类型,预后良好,占所有乳腺癌的比例不到1%。它与ETV6-NTRK3基因易位相关,具有三阴性分子特征,但与大多数三阴性乳腺癌不同的是,它侵袭性较小,很少发生转移。

病例报告

一名47岁女性因乳头血性溢液和肿块就诊。乳腺超声检查显示为BIRADS-4(乳腺影像报告和数据系统)囊性病变。活检证实为低级别分泌性癌,雌激素受体(ER)阳性,孕激素受体(PR)和人表皮生长因子受体2(HER2)阴性。在进行改良根治性乳房切除术加淋巴结清扫术后,组织病理学显示切缘清晰,无淋巴结受累。在术后1个月的随访中,她没有并发症,肩部活动自如。

讨论

SBC是一种罕见的低级别乳腺癌,在年轻人中更常见,但各年龄段均可发生。它表现为无痛性肿块,常被误诊为纤维腺瘤。组织学上,它显示微囊和管状特征,伴有过碘酸希夫阳性物质。SBC通常为三阴性(ER、PR和HER2),但也有ER阳性的报道。治疗主要包括手术切除,由于转移风险低,腋窝淋巴结清扫的作用存在争议。对于像SBC这样的NTRK融合癌,正在探索原肌球蛋白受体激酶(TRK)抑制剂。

结论

SBC的诊断需要确认ETV6-NTRK易位。尽管通常为三阴性,但激素表达存在差异。治疗包括乳房切除术,由于转移风险低,淋巴结清扫存在争议。在SBC的治疗中,辅助化疗的证据有限。

https://cdn.ncbi.nlm.nih.gov/pmc/blobs/c6c7/12333835/08a63e4cd44f/ms9-87-5257-g001.jpg

文献AI研究员

20分钟写一篇综述,助力文献阅读效率提升50倍。

立即体验

用中文搜PubMed

大模型驱动的PubMed中文搜索引擎

马上搜索

文档翻译

学术文献翻译模型,支持多种主流文档格式。

立即体验