Suppr超能文献

犬鼻窦肿瘤根治性放疗后急性眼毒性的评估。

Evaluation of acute ocular toxicity after definitive-intent radiation therapy in canine sinonasal tumors.

作者信息

Brückner Jonas, Rohrer Bley Carla, Rampazzo Antonella, Unterkirhers Sergejs, Pot Simon, Meier Valeria

机构信息

Clinic for Radiation Oncology & Medical Oncology, University Animal Hospital, Vetsuisse Faculty, University of Zurich, Zurich, Switzerland.

Ophthalmology Section, University Animal Hospital, Vetsuisse Faculty, University of Zurich, Zurich, Switzerland.

出版信息

PLoS One. 2025 Aug 11;20(8):e0329073. doi: 10.1371/journal.pone.0329073. eCollection 2025.

Abstract

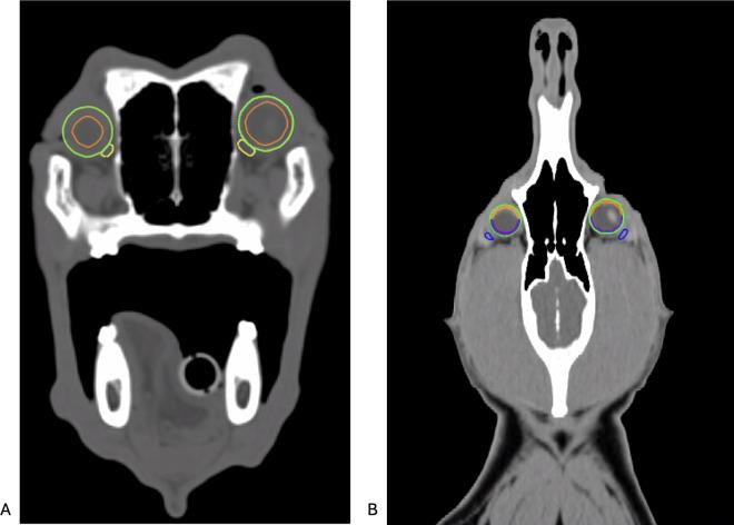
Acute toxicity and survival were documented in dogs undergoing radiotherapy for sinonasal tumors. However, few studies specifically investigated ocular toxicity, resulting in limited data on radiation tolerance thresholds. This study aimed to quantify acute ocular toxicity, compare toxicity levels using three different scoring systems, and establish practical preliminary dose-response limits. Dogs with sinonasal tumors treated with a definitive-intent 10-fraction radiotherapy protocol were included if they underwent prospective ophthalmic examinations, both prior to radiotherapy and at least once within three months following treatment. Ocular toxicity was assessed using three scoring systems: 1) Modified McDonald-Shadduck (evaluated by ophthalmologists), 2) Veterinary Radiation Therapy Oncology Group (VRTOG) 1.0 (evaluated by radiation oncologists), and 3) VRTOG2.0 (evaluated retrospectively). Radiation doses to each eye, retina, cornea, lacrimal, and accessory lacrimal gland were documented, and adherence to the new institutional ocular dose constraints was analyzed. Seventy client-owned dogs (140 eyes) were enrolled between 2016 and 2024, yielding 241 ophthalmic examinations. Clinically relevant ocular toxicity was identified in 28 eyes (20%) according to the modified McDonald-Shadduck system, 14 eyes (10%) using the VRTOG1.0 system (grade ≥2), and in 15 eyes (11%) using VRTOG2.0 toxicity (grade ≥3). Adherence to our institutional constraints resulted in low rates of clinically relevant toxicity: only 0.7% of eyes according to VRTOG 1.0 and 1.4% according to VRTOG2.0. TD5% and TD50% risk thresholds were established to facilitate optimized planning and reduced ocular risks. In conclusion, all dogs showed rather mild and only rarely clinically relevant ocular toxicity. Clinically relevant results of the very detailed modified McDonald-Shadduck scoring system seem to be accurately reflected by the VRTOG2.0 scoring system, which is more practical for daily clinical assessments. Detailed ocular evaluations are recommended primarily for dogs with clinically relevant VRTOG2.0 toxicity. Adherence to institutional ocular dose constraints significantly minimizes the risk of clinically relevant ocular toxicity.

摘要

记录了接受鼻窦肿瘤放射治疗的犬的急性毒性和存活情况。然而,很少有研究专门调查眼部毒性,导致关于放射耐受阈值的数据有限。本研究旨在量化急性眼部毒性,使用三种不同的评分系统比较毒性水平,并建立实用的初步剂量反应限度。如果患有鼻窦肿瘤的犬在放射治疗前以及治疗后三个月内至少进行过一次前瞻性眼科检查,且接受了明确意图的10分次放射治疗方案,则纳入本研究。使用三种评分系统评估眼部毒性:1)改良的麦克唐纳 - 沙德达克评分系统(由眼科医生评估),2)兽医放射治疗肿瘤学组(VRTOG)1.0评分系统(由放射肿瘤学家评估),3)VRTOG2.0评分系统(回顾性评估)。记录每只眼睛、视网膜、角膜、泪腺和副泪腺的放射剂量,并分析是否符合新的机构眼部剂量限制。2016年至2024年期间纳入了70只客户拥有的犬(140只眼睛),共进行了241次眼科检查。根据改良的麦克唐纳 - 沙德达克系统,28只眼睛(20%)发现有临床相关的眼部毒性;使用VRTOG1.0系统(≥2级)有14只眼睛(10%);使用VRTOG2.0毒性(≥3级)有15只眼睛(11%)。遵守我们机构的限制导致临床相关毒性发生率较低:根据VRTOG 1.0,只有0.7%的眼睛;根据VRTOG2.0,为1.4%。建立了TD5%和TD50%风险阈值,以促进优化计划并降低眼部风险。总之,所有犬的眼部毒性都相当轻微,临床相关毒性很少见。VRTOG2.0评分系统似乎准确反映了非常详细的改良麦克唐纳 - 沙德达克评分系统的临床相关结果,该系统在日常临床评估中更实用。建议主要对具有临床相关VRTOG2.0毒性的犬进行详细的眼部评估。遵守机构眼部剂量限制可显著降低临床相关眼部毒性的风险。

https://cdn.ncbi.nlm.nih.gov/pmc/blobs/7971/12338778/4dbfc67ee10b/pone.0329073.g001.jpg

文献AI研究员

20分钟写一篇综述,助力文献阅读效率提升50倍。

立即体验

用中文搜PubMed

大模型驱动的PubMed中文搜索引擎

马上搜索

文档翻译

学术文献翻译模型,支持多种主流文档格式。

立即体验