Suppr超能文献

用于术前预测肝细胞癌病理分级的三相CT影像组学模型

Triphasic CT Radiomics Model for Preoperative Prediction of Hepatocellular Carcinoma Pathological Grading.

作者信息

Huang Haibo, Pan Xianpan, Zhang Yingdan, Yang Jie, Chen Lei, Zhao Qinping, Huang Lifeng, Lu Wei, Deng Yaohong, Huang Yingying, Ding Ke

机构信息

Department of Radiology, The Third Affiliated Hospital of Guangxi Medical University, Nanning, Guangxi Zhuang Autonomous Region, 530031 People's Republic of China.

Shanghai United Imaging Intelligence Co., Ltd., Shanghai, 200232, People's Republic of China.

出版信息

J Hepatocell Carcinoma. 2025 Aug 6;12:1725-1742. doi: 10.2147/JHC.S527056. eCollection 2025.

Abstract

OBJECTIVE

This study aimed to develop and validate a triphasic CT-based radiomics model for the synchronous prediction of multiple critical pathological markers in hepatocellular carcinoma (HCC).

MATERIALS AND METHODS

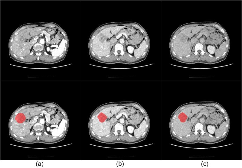
This retrospective study analyzed 174 patients with 187 hepatocellular carcinoma (HCC) lesions. Radiomic features (n = 2264) were extracted from arterial phase (AP), venous phase (VP), and delayed phase (DP) CT images. Key features were selected using minimum redundancy maximum relevance (mRMR), SelectKBest, and least absolute shrinkage and selection operator (LASSO) algorithms. Logistic regression and support vector machine (SVM) classifiers were employed to develop individual phase-specific models and a triphasic fusion model. Model performance was evaluated through the area under the curve (AUC), sensitivity, specificity, decision curve analysis, and other metrics.

RESULTS

The triphasic fusion model demonstrated superior performance. In the testing 1 dataset, the triphasic fusion model achieved AUCs of 0.890 (95% CI: 0.741-1), 0.895 (95% CI: 0.781-1) and 0.829 (95% CI: 0.675-0.984) for Edmondson-Steiner (Ed) grading, Microvascular invasion (MVI) grading, and Satellite nodule (SN) grading, respectively. In the testing 2 (validation) dataset, the triphasic fusion model achieved AUCs of 0.836 (95% CI: 0.739-0.934), 0.871 (95% CI: 0.748-0.993) and 0.810 (95% CI: 0.656-0.963) for Ed, MVI, and SN grading, respectively. The performance of the fusion model was better than that of the single-phase models.

CONCLUSION

The triphasic CT radiomics model provides a noninvasive tool for preoperative prediction of HCC pathological grading (Ed, MVI, SN), enhancing diagnostic accuracy for clinical decision-making and prognostic evaluation.

摘要

目的

本研究旨在开发并验证一种基于三相CT的放射组学模型,用于同步预测肝细胞癌(HCC)的多个关键病理标志物。

材料与方法

本回顾性研究分析了174例患有187个肝细胞癌(HCC)病灶的患者。从动脉期(AP)、静脉期(VP)和延迟期(DP)CT图像中提取放射组学特征(n = 2264)。使用最小冗余最大相关性(mRMR)、SelectKBest和最小绝对收缩和选择算子(LASSO)算法选择关键特征。采用逻辑回归和支持向量机(SVM)分类器开发各阶段特异性模型和三相融合模型。通过曲线下面积(AUC)、敏感性、特异性、决策曲线分析和其他指标评估模型性能。

结果

三相融合模型表现出卓越的性能。在测试1数据集中,三相融合模型对Edmondson-Steiner(Ed)分级、微血管侵犯(MVI)分级和卫星结节(SN)分级的AUC分别为0.890(95%CI:0.741 - 1)、0.895(95%CI:0.781 - 1)和0.829(95%CI:0.675 - 0.984)。在测试2(验证)数据集中,三相融合模型对Ed、MVI和SN分级的AUC分别为0.836(95%CI:0.739 - 0.934)、0.871(95%CI:0.748 - 0.993)和0.810(95%CI:0.656 - 0.963)。融合模型的性能优于单相模型。

结论

三相CT放射组学模型为术前预测HCC病理分级(Ed、MVI、SN)提供了一种非侵入性工具,提高了临床决策和预后评估的诊断准确性。

https://cdn.ncbi.nlm.nih.gov/pmc/blobs/9508/12336463/7556cdcc5a73/JHC-12-1725-g0001.jpg

文献AI研究员

20分钟写一篇综述,助力文献阅读效率提升50倍。

立即体验

用中文搜PubMed

大模型驱动的PubMed中文搜索引擎

马上搜索

文档翻译

学术文献翻译模型,支持多种主流文档格式。

立即体验