Suppr超能文献

体细胞CRISPR肿瘤发生及多组学分析揭示了MPNST中磷酸戊糖途径破坏的易感性。

Somatic CRISPR tumorigenesis and multiomic analysis reveal a pentose phosphate pathway disruption vulnerability in MPNSTs.

作者信息

McGivney Gavin R, Brockman Qierra R, Borcherding Nicholas, Scherer Amanda, Rauckhorst Adam J, Gutierrez Wade R, Solst Shane R, Heer Collin D, Warrier Akshaya, Floyd Warren, Kirsch David G, Knepper-Adrian Vickie L, Laverty Emily A, Roughton Grace A, Spitz Douglas R, Taylor Eric B, Dodd Rebecca D

机构信息

Department of Internal Medicine, University of Iowa Carver College of Medicine, Iowa City, IA 52240, USA.

Holden Comprehensive Cancer Center, University of Iowa Carver College of Medicine, Iowa City, IA 52240, USA.

出版信息

Sci Adv. 2025 Aug 15;11(33):eadu2906. doi: 10.1126/sciadv.adu2906. Epub 2025 Aug 13.

Abstract

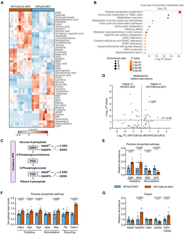
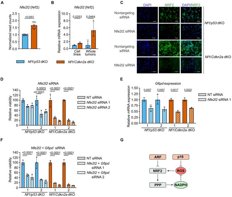
Malignant peripheral nerve sheath tumors (MPNSTs) are aggressive and chemo-resistant sarcomas with poor survival rates. Loss of or following NF1 disruption is a key event in MPNST development. Here, we used CRISPR-Cas9 somatic tumorigenesis in mice to identify transcriptomic and metabolomic features distinguishing - versus -deleted MPNSTs. Convergent, multiomic analyses revealed that -deleted MPNSTs are especially dependent on the pentose phosphate pathway (PPP) and NADPH metabolism for growth and viability. Disruption of glucose-6-phosphate dehydrogenase (G6PD), the PPP rate-limiting enzyme, slowed -deleted MPNST growth and sensitized MPNSTs to standard-of-care chemotherapy. Knockdown of the redox-regulated transcription factor NRF2 slowed MPNST growth and decreased G6PD transcription. Analysis of patient MPNSTs identified a NRF2 gene signature correlating with tumor transformation. Furthermore, G6PD and NRF2 expression in PanCancer TCGA samples correlates with patient survival. This work identifies NRF2-PPP dependency as a targetable vulnerability in these difficult-to-treat MPNSTs, particularly in the -deleted majority.

摘要

恶性外周神经鞘瘤(MPNSTs)是侵袭性强且对化疗耐药的肉瘤,生存率低。NF1缺失或破坏后缺失是MPNST发生发展的关键事件。在此,我们利用小鼠中的CRISPR-Cas9体细胞肿瘤发生技术来鉴定区分NF1缺失型与非缺失型MPNST的转录组学和代谢组学特征。趋同的多组学分析表明,NF1缺失型MPNST在生长和生存能力方面特别依赖磷酸戊糖途径(PPP)和NADPH代谢。磷酸戊糖途径限速酶葡萄糖-6-磷酸脱氢酶(G6PD)的破坏减缓了NF1缺失型MPNST的生长,并使MPNST对标准护理化疗敏感。氧化还原调节转录因子NRF2的敲低减缓了MPNST的生长并降低了G6PD的转录。对患者MPNST的分析确定了与肿瘤转化相关的NRF2基因特征。此外,泛癌TCGA样本中的G6PD和NRF2表达与患者生存率相关。这项工作确定NRF2-PPP依赖性是这些难以治疗的MPNST中一个可靶向的脆弱点,特别是在NF1缺失的大多数病例中。

https://cdn.ncbi.nlm.nih.gov/pmc/blobs/73df/12346278/815fac5fd3a5/sciadv.adu2906-f1.jpg

文献AI研究员

20分钟写一篇综述,助力文献阅读效率提升50倍。

立即体验

用中文搜PubMed

大模型驱动的PubMed中文搜索引擎

马上搜索

文档翻译

学术文献翻译模型,支持多种主流文档格式。

立即体验