Suppr超能文献

子宫内膜异位症引发的直肠透明细胞癌:病例报告与文献综述

Rectal Clear Cell Carcinoma Arising from Endometriosis: Case Report and Literature Review.

作者信息

Gaia-Oltean Adriana Ioana, Boitor-Borza Dan, Simedrea Voicu Caius, Braicu Vlad, Pop Laura-Ancuta, Micu Romeo

机构信息

Regina Maria Hospital, 400117 Cluj-Napoca, Romania.

"Iuliu Hatieganu" University of Medicine and Pharmacy, 400012 Cluj-Napoca, Romania.

出版信息

Diagnostics (Basel). 2025 Jul 31;15(15):1936. doi: 10.3390/diagnostics15151936.

Abstract

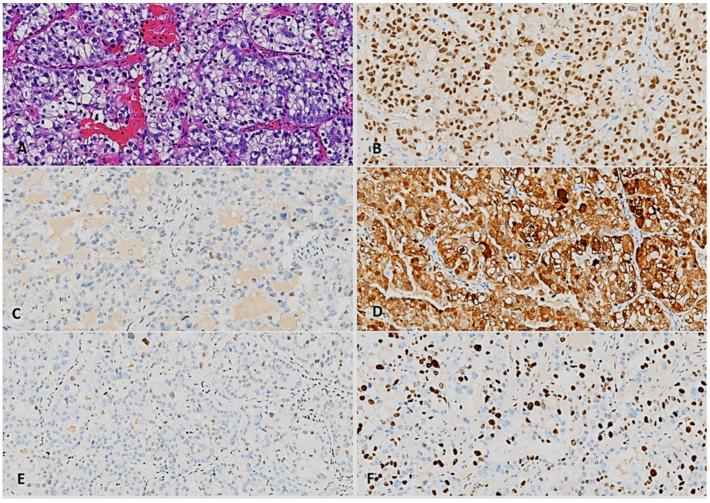
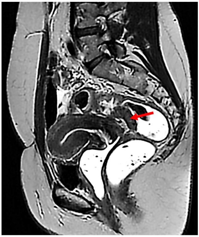
Endometriosis is a common gynecological disease that can occasionally be associated with malignant transformation. The most common site of malignant transformation is the ovary, but there can also be rare extragonadal endometriosis-associated malignancy sites, such as the intestines, rectovaginal septum, and abdominal wall. A low number of malignant degenerations of rectal endometriosis are described in the literature. However, the majority of these cases report endometrioid adenocarcinoma as the most frequent histopathological type of tumor. On the other hand, Müllerian clear cell carcinoma is sporadic. We present the case of a 43-year-old woman with clear cell carcinoma of the rectum, which developed on an endometriosis nodule, and the surgical outcome. Imaging of the case was performed by MRI. The patient was offered curative surgery. The pathology report confirmed a clear cell carcinoma developed on an endometriosis lesion, and immunochemistry helped in the characterization of the tumor. The patient developed a rectovaginal fistula. An ileostomy and surgical repair of the fistulous opening were performed, with a favorable postoperative recovery. Malignant transformation of endometriosis lesions is possible and should be taken into consideration. Müllerian clear cell carcinoma development within rectovaginal endometriosis is extremely rare.

摘要

子宫内膜异位症是一种常见的妇科疾病,偶尔可伴有恶性转化。恶性转化最常见的部位是卵巢,但也有罕见的性腺外子宫内膜异位症相关的恶性部位,如肠道、直肠阴道隔和腹壁。文献中描述的直肠子宫内膜异位症恶性退变病例较少。然而,这些病例中的大多数报告子宫内膜样腺癌是最常见的肿瘤组织病理学类型。另一方面,苗勒管透明细胞癌较为散见。我们报告一例43岁女性直肠透明细胞癌病例,该肿瘤发生于子宫内膜异位结节,并介绍手术结果。该病例通过磁共振成像(MRI)进行影像学检查。为患者实施了根治性手术。病理报告证实为发生于子宫内膜异位病变的透明细胞癌,免疫组化有助于肿瘤的特征性诊断。患者出现直肠阴道瘘。进行了回肠造口术及瘘口手术修复,术后恢复良好。子宫内膜异位病变有可能发生恶性转化,应予以考虑。直肠阴道子宫内膜异位症中发生苗勒管透明细胞癌极为罕见。

https://cdn.ncbi.nlm.nih.gov/pmc/blobs/42f9/12346751/c9d806c6e8e7/diagnostics-15-01936-g001.jpg

文献AI研究员

20分钟写一篇综述,助力文献阅读效率提升50倍。

立即体验

用中文搜PubMed

大模型驱动的PubMed中文搜索引擎

马上搜索

文档翻译

学术文献翻译模型,支持多种主流文档格式。

立即体验