Suppr超能文献

紫苏提取物中四种多酚化合物对晚期糖基化终产物(AGEs)的抑制作用及其机制研究

Study on the inhibitory effects and mechanisms of four polyphenolic compounds from perilla extract on advanced glycation end products (AGEs).

作者信息

Han Xue, Sun Xue, Shi Zihang, Fan Xiankang, Hu Yangyang, Chen Chen, Xia Qiang, Sun Yangying, Pan Daodong

机构信息

State Key Laboratory of Agricultural Products Safety, College of Food Science and Engineering, Ningbo University, Ningbo, Zhejiang 315211, China.

Qingdao STD Standard Testing Co., Ltd., Qingdao 266000, China.

出版信息

Food Chem X. 2025 Aug 4;29:102857. doi: 10.1016/j.fochx.2025.102857. eCollection 2025 Jul.

Abstract

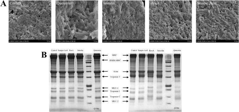
This study investigates the inhibitory effects and underlying mechanisms of major polyphenolic compounds in perilla extract on the formation of advanced glycation end products using a high-temperature in vitro glycation model. Ultra-performance liquid chromatography coupled with mass spectrometry identified quercetin, luteolin, rosmarinic acid, sinapic acid, and other representative bioactive constituents in PE. These polyphenolic compounds significantly inhibited protein-bound Nε-(carboxymethyl)lysine (41.3 % - 61.1 %), mainly through free radical scavenging, metal ion chelation, and suppression of protein aggregation, thereby mitigating protein oxidation and modulating protein conformation. Further mechanistic analysis revealed that these polyphenols regulated protein surface hydrophobicity, altered protein particle size, and influenced intermolecular interactions, thereby impacting the glycation process. Overall, this study elucidates the molecular mechanisms by which polyphenolic compounds inhibit AGEs formation under high-temperature conditions and provides a theoretical basis for the development of effective AGEs inhibition strategies in processed meat products.

摘要

本研究采用高温体外糖基化模型,研究紫苏提取物中主要多酚化合物对晚期糖基化终产物形成的抑制作用及其潜在机制。超高效液相色谱-质谱联用技术鉴定了紫苏提取物中的槲皮素、木犀草素、迷迭香酸、芥子酸等代表性生物活性成分。这些多酚化合物显著抑制蛋白质结合的Nε-(羧甲基)赖氨酸(41.3%-61.1%),主要通过清除自由基、螯合金属离子和抑制蛋白质聚集,从而减轻蛋白质氧化并调节蛋白质构象。进一步的机制分析表明,这些多酚调节蛋白质表面疏水性,改变蛋白质粒径,并影响分子间相互作用,从而影响糖基化过程。总体而言,本研究阐明了多酚化合物在高温条件下抑制晚期糖基化终产物形成的分子机制,并为加工肉制品中有效抑制晚期糖基化终产物策略的开发提供了理论依据。

https://cdn.ncbi.nlm.nih.gov/pmc/blobs/cbc8/12345301/f84463042664/ga1.jpg

文献AI研究员

20分钟写一篇综述,助力文献阅读效率提升50倍。

立即体验

用中文搜PubMed

大模型驱动的PubMed中文搜索引擎

马上搜索

文档翻译

学术文献翻译模型,支持多种主流文档格式。

立即体验