Suppr超能文献

推拿通过调节背根神经节中的TRPV4-CaMKII信号通路减轻CCI大鼠的神经性疼痛。

Tuina Alleviates Neuropathic Pain in CCI Rats by Regulating the TRPV4-CaMKII Signaling Pathway in Dorsal Root Ganglion.

作者信息

Na Rentuya, Xu Yue, Yu Tianyuan, Zhang Yingqi, Yan Jiawang, Zhang Hongzheng, Zhang Hanyu, Sun Jiawei, Liu Jiayue

机构信息

School of Acupuncture-Moxibustion and Tuina, Beijing University of Chinese Medicine, Beijing 102446, China.

出版信息

Pain Res Manag. 2025 Aug 6;2025:3697374. doi: 10.1155/prm/3697374. eCollection 2025.

Abstract

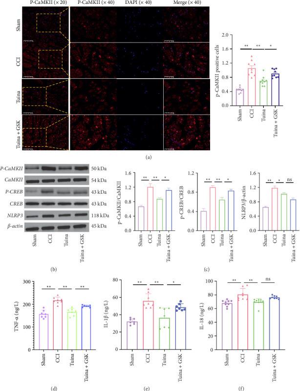
Peripheral sensitization mediated by the Transient Receptor Potential Vanilloid 4-Calcium/calmodulin-dependent protein kinase II (TRPV4-CaMKII) signaling pathway plays a fundamental role in the generation and maintenance of neuropathic pain (NP). Tuina, a safe and effective therapy in traditional Chinese medicine, shows analgesic effects; however, the underlying mechanisms remain unclear. We aimed to investigate whether Tuina alleviates pain by modulating the TRPV4-CaMKII/CREB/NLRP3 signaling pathway. The Chronic Constriction Injury (CCI) model of the sciatic nerve was used to simulate clinical NP. Tuina was applied to the Yinmen (BL37), Yanglingquan (GB34), and Chengshan (BL57) acupoints once daily for 14 days. Mechanical Withdrawal Threshold (MWT) and Thermal Withdrawal Latency (TWL) were assessed to evaluate the analgesic effect of Tuina. Its protective effects on dorsal root ganglion (DRG) neurons were evaluated using Nissl staining. The whole-cell patch clamp technique recorded excitability changes in DRG neurons and assess the effects of Tuina on peripheral sensitization. Western blot (WB), immunofluorescence (IF), and enzyme-linked immunosorbent assay (ELISA) helped detect changes in the TRPV4-CaMKII/CREB/NLRP3 pathway and expression of inflammation-related cytokines in DRG neurons. Tuina significantly alleviated mechanical allodynia and thermal hyperalgesia in CCI rats and exerted a protective effect on DRG neurons. Patch clamp recordings showed that Tuina inhibited hyperexcitability in DRG neurons. Mechanistically, Tuina downregulated the expression of the TRPV4-CaMKII/CREB/NLRP3 signaling pathway and reduced the secretion of TNF-α, IL-1β, and IL-18. The analgesic effect of Tuina in CCI rats is associated with reduced peripheral sensitization via modulation of the TRPV4-calcium signaling cascade.

摘要

由瞬时受体电位香草酸受体4-钙/钙调蛋白依赖性蛋白激酶II(TRPV4-CaMKII)信号通路介导的外周敏化在神经性疼痛(NP)的产生和维持中起重要作用。推拿是一种安全有效的中医疗法,具有镇痛作用;然而,其潜在机制尚不清楚。我们旨在研究推拿是否通过调节TRPV4-CaMKII/CREB/NLRP3信号通路来减轻疼痛。采用坐骨神经慢性缩窄损伤(CCI)模型模拟临床NP。每天对殷门(BL37)、阳陵泉(GB34)和承山(BL57)穴位进行一次推拿,持续14天。评估机械性撤针阈值(MWT)和热撤针潜伏期(TWL)以评价推拿的镇痛效果。使用尼氏染色评估其对背根神经节(DRG)神经元的保护作用。全细胞膜片钳技术记录DRG神经元的兴奋性变化,并评估推拿对外周敏化的影响。蛋白质免疫印迹法(WB)、免疫荧光法(IF)和酶联免疫吸附测定法(ELISA)有助于检测DRG神经元中TRPV4-CaMKII/CREB/NLRP3通路的变化以及炎症相关细胞因子的表达。推拿显著减轻了CCI大鼠的机械性异常性疼痛和热痛觉过敏,并对DRG神经元发挥了保护作用。膜片钳记录显示,推拿抑制了DRG神经元的过度兴奋性。从机制上讲,推拿下调了TRPV4-CaMKII/CREB/NLRP3信号通路的表达,并减少了肿瘤坏死因子-α、白细胞介素-1β和白细胞介素-18的分泌。推拿对CCI大鼠的镇痛作用与通过调节TRPV4-钙信号级联反应减少外周敏化有关。

https://cdn.ncbi.nlm.nih.gov/pmc/blobs/44d3/12350020/a27b685caf6c/PRM2025-3697374.001.jpg

文献AI研究员

20分钟写一篇综述,助力文献阅读效率提升50倍。

立即体验

用中文搜PubMed

大模型驱动的PubMed中文搜索引擎

马上搜索

文档翻译

学术文献翻译模型,支持多种主流文档格式。

立即体验