Suppr超能文献

基底膜联蛋白将改变的骨骼干细胞谱系动态与糖皮质激素诱导的骨质流失及血管生成受损联系起来。

Basigin links altered skeletal stem cell lineage dynamics with glucocorticoid-induced bone loss and impaired angiogenesis.

作者信息

Ambrosi Thomas H, Morales David, Chen Kun, Hunt Ethan J, Weldon Kelly C, Maifeld Amber N, Chavez Fatima I M, Wang Yuting, Zhao Liming, Wang Luke, Murphy Matthew P, Cressman Amin, Wheeler Erika E, Saiz Augustine M, Leach J Kent, Fierro Fernando A, Chan Charles K F, Lane Nancy E

机构信息

Department of Orthopaedic Surgery, University of California at Davis Medical School, Sacramento, CA, USA.

Institute for Stem Cell Biology and Regenerative Medicine, Stanford University School of Medicine, Stanford, CA, USA.

出版信息

Nat Commun. 2025 Aug 15;16(1):7606. doi: 10.1038/s41467-025-62881-w.

Abstract

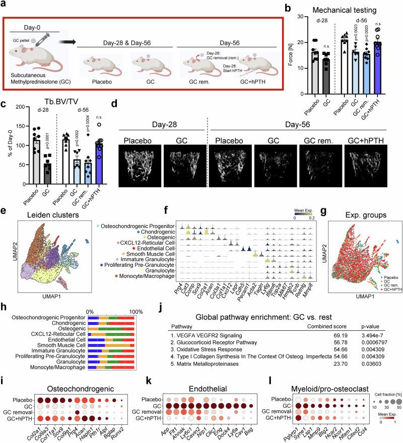
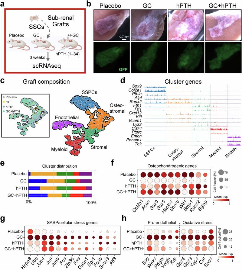
Glucocorticoid (GC) induced osteoporosis (GIOP) and osteonecrosis remain a significant health issue with few approved therapies. Here, we investigate the cellular and molecular processes by which GCs affect osteogenesis and angiogenesis. We find that GC treatment reduces bone mass through decreased bone formation by skeletal stem cells (SSCs). Concomitantly, endothelial cells increase in number but display distorted phenotypical features. Transplantation studies of SSCs combined with molecular analysis by single cell RNA-sequencing and functional testing of primary human cells tie GC-induced skeletal changes to altered stem cell differentiation dynamics. This in turn perpetuates reduced osteogenesis and vascular malformation through direct SSC-endothelial crosstalk mediated at least in part by Basigin. The genetic deletion of Basigin in the skeletal lineage as well as antibody-mediated blockade of Basigin during GC treatment prevents bone loss. Intriguingly, when administered to 2-year-old mice, anti-Basigin therapy reinstates bone remodeling to significantly improve bone mass. These findings provide therapeutic vantage points for GIOP and potentially other conditions associated with bone loss.

摘要

糖皮质激素(GC)诱导的骨质疏松症(GIOP)和骨坏死仍然是一个重大的健康问题,获批的治疗方法很少。在此,我们研究了GC影响骨生成和血管生成的细胞和分子过程。我们发现,GC治疗通过减少骨骼干细胞(SSC)的骨形成来降低骨量。与此同时,内皮细胞数量增加,但表现出扭曲的表型特征。SSC的移植研究结合单细胞RNA测序的分子分析和原代人类细胞的功能测试,将GC诱导的骨骼变化与干细胞分化动力学改变联系起来。这反过来又通过至少部分由Basigin介导的直接SSC-内皮细胞串扰,使骨生成减少和血管畸形持续存在。在骨骼谱系中基因敲除Basigin以及在GC治疗期间抗体介导的Basigin阻断可防止骨质流失。有趣的是,当给予2岁小鼠抗Basigin治疗时,可恢复骨重塑,显著改善骨量。这些发现为GIOP以及可能与骨质流失相关的其他病症提供了治疗优势点。

https://cdn.ncbi.nlm.nih.gov/pmc/blobs/6f38/12356905/b3702473e538/41467_2025_62881_Fig1_HTML.jpg

文献AI研究员

20分钟写一篇综述,助力文献阅读效率提升50倍。

立即体验

用中文搜PubMed

大模型驱动的PubMed中文搜索引擎

马上搜索

文档翻译

学术文献翻译模型,支持多种主流文档格式。

立即体验