Suppr超能文献

曲安奈德玻璃体内植入剂(0.2μg/天)治疗与黄斑水肿相关的术后炎症患者的疗效和安全性:一项病例系列研究。

Efficacy and safety of fluocinolone acetonide intravitreal implant (0.2 µg/day) in patients with post-surgical inflammation associated with macular edema: a case series study.

作者信息

Madeira Maria, Cabugueira Ana, Urbano Helena, Cordeiro Miguel, Guedes Marta

机构信息

Ophthalmology Department, West Lisbon Local Health Unit (Unidade de Saúde Local de Lisboa Ocidental), Rua da Junqueira, 126, Lisbon, 1349-019, Portugal.

出版信息

J Ophthalmic Inflamm Infect. 2025 Aug 16;15(1):61. doi: 10.1186/s12348-025-00503-8.

Abstract

BACKGROUND

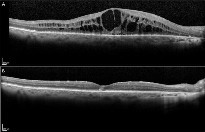
Postoperative cystoid macular edema (PCME) is a primary cause of reduced vision following both cataract and/or vitreoretinal surgery, which may spontaneously resolve. This study aimed to evaluate the effectiveness and safety of the fluocinolone acetonide intravitreal (FAc) implant (0.2 µg/day) in patients with refractory PCME.

METHODS

Retrospective, non-interventional, and single center study conducted on patients with PCME treated with 0.2 µg/day FAc implant. All the patients received previous treatment with topical corticosteroids, nonsteroidal anti-inflammatory drugs (NSAIDs), triancinolone injection and dexamethasone implant. The primary end-points were the mean change in best-corrected-visual-acuity (BCVA) and the proportion of patients gaining ≥ 15 letters from baseline to the last follow-up visit. The secondary endpoints included the mean CRT reduction and the mean intraocular pressure (IOP) during the 36 months study period.

RESULTS

Eight eyes from 8 patients were included in the study. Median (95% Confidence-interval) BCVA was significantly improved from 60.0 (50.05-69.95) letters at baseline to 80.15 (77.25-85.00) letters at month-36, p = 0.043. At the last follow-up visit, 5 (62.5%) eyes gained ≥ 15 letters, without any eye experiencing a loss of BCVA compared to baseline. There was significant CRT reduction from baseline (median: 497.5 μm; 95%CI: 380.0-596.0 μm) to month-36 (Median: 252.0 μm; 95%CI: 242.0-268.0 μm); p = 0.012. Regarding safety, IOP remained stable from baseline (median: 14.5mmHg; 95%Confidence-interval: 12.0-23.0 mmHg) to the last follow-up visit (median: 13.5mmHg; 95% Confidence-interval: 9.0-19.0 mm Hg); p = 0.123.

CONCLUSIONS

The FAc implant significantly improved both visual and anatomic outcomes, and was effective in preventing recurrences, while maintaining a reasonable safety profile, in PCME refractory to intravitreal triancinolone and dexamethasone.

摘要

背景

术后黄斑囊样水肿(PCME)是白内障和/或玻璃体视网膜手术后视力下降的主要原因,其可能会自发消退。本研究旨在评估玻璃体内注射醋酸氟轻松(FAc)植入物(0.2μg/天)治疗难治性PCME患者的有效性和安全性。

方法

对接受0.2μg/天FAc植入物治疗的PCME患者进行回顾性、非干预性单中心研究。所有患者此前均接受过局部皮质类固醇、非甾体抗炎药(NSAIDs)、曲安奈德注射和地塞米松植入物治疗。主要终点为最佳矫正视力(BCVA)的平均变化以及从基线到最后一次随访时视力提高≥15行的患者比例。次要终点包括在36个月研究期间中央视网膜厚度(CRT)的平均降低和平均眼压(IOP)。

结果

8例患者的8只眼纳入研究。BCVA中位数(95%置信区间)从基线时的60.0(50.05 - 69.95)行显著提高至36个月时的80.15(77.25 - 85.00)行,p = 0.043。在最后一次随访时,5只眼(62.5%)视力提高≥15行,与基线相比无眼出现BCVA下降。从基线(中位数:497.5μm;95%CI:380.0 - 596.0μm)到36个月时(中位数:252.0μm;95%CI:242.0 - 268.0μm)CRT显著降低;p = 0.012。关于安全性,眼压从基线(中位数:14.5mmHg;95%置信区间:12.0 - 23.0mmHg)到最后一次随访时保持稳定(中位数:13.5mmHg;95%置信区间:9.0 - 19.0mmHg);p = 0.123。

结论

对于玻璃体内注射曲安奈德和地塞米松难治的PCME,FAc植入物显著改善了视力和解剖学结果,有效预防了复发,同时保持了合理的安全性。

https://cdn.ncbi.nlm.nih.gov/pmc/blobs/f943/12356776/ae0d03c18121/12348_2025_503_Fig1_HTML.jpg

文献AI研究员

20分钟写一篇综述,助力文献阅读效率提升50倍。

立即体验

用中文搜PubMed

大模型驱动的PubMed中文搜索引擎

马上搜索

文档翻译

学术文献翻译模型,支持多种主流文档格式。

立即体验