Suppr超能文献

三联疗法彻底改变了先前无法治疗的合并高流量肝动静脉瘘的肝癌的治疗模式。

Triple therapy revolutionizes treatment paradigms for previously untreatable HCC complicated by high-flow hepatic arteriovenous fistulas.

作者信息

Li Jinpeng, Li Yuanming, Zhong Jingtao, Du Jiasheng, Chen Jiao, Shi Jutian, Zhao Luzhun, Song Jinlong

机构信息

Department of Radiation Oncology, Tianjin Medical University Cancer Institute and Hospital, National Clinical Research Center for Cancer, Tianjin Key Laboratory of Cancer Prevention and Therapy, Tianjin's Clinical Research Center for Cancer, Tianjin, China.

Department of Interventional Therapy I, Shandong Cancer Hospital and Institute, Shandong First Medical University and Shandong Academy of Medical Sciences, Jinan, Shandong, China.

出版信息

Front Immunol. 2025 Aug 1;16:1643290. doi: 10.3389/fimmu.2025.1643290. eCollection 2025.

Abstract

PURPOSE

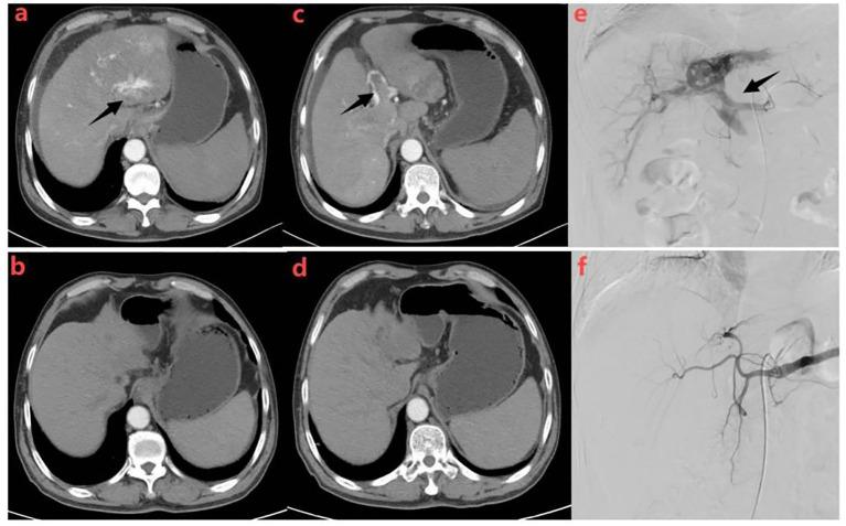
To evaluate the short-term efficacy and safety of hepatic arterial infusion chemotherapy (HAIC) combined with immune checkpoint inhibitors (ICIs) and tyrosine kinase inhibitors (TKIs) in patients with hepatocellular carcinoma (HCC) complicated by high-flow hepatic arteriovenous fistula (HAVF).

PATIENTS AND METHODS

We retrospectively analyzed clinical data from 40 patients with unresectable HCC complicated by high-flow HAVF who received FOLFOX regimen HAIC plus ICIs and TKIs between January 2021 and June 2023. The efficacy evaluation included HAVF effective rate, tumor response, progression-free survival (PFS), overall survival (OS) per RECIST 1.1 and mRECIST. Adverse events (AEs) were recorded for safety evaluation.

RESULTS

The median follow-up time was 10.5 months (range: 3.5-16.4 months). A total of 150 HAIC cycles were administered, with a median frequency of 3.8 cycles per patient. The objective response rate (ORR) and the disease control rate (DCR) was 42.5% and 92.5% according to the RECIST 1.1, and 75.0% and 92.5% according to mRECIST criteria, respectively. The median PFS and the median OS were 5.5 months (95% CI: 3.9-6.9) and 10.4 months (95% CI: 7.4-13.4), respectively. In univariate analysis, HAVF grade, extrahepatic spread, HAVF disappearance were potential prognostic factors for OS, while HAVF grade and extrahepatic spread being independently associated with PFS. Hypertension (12.5%), Thrombocytopenia (12.5%) and Albumin decreased (7.5%) were the most frequently observed grade 3-4 TRAEs.No treatment-related mortality occurred during the study period.

CONCLUSION

HAIC combined with ICIs and TKIs demonstrates promising short-term efficacy and acceptable safety in patients with unresectable HCC complicated by high-flow HAVF. This combination therapy effectively controls tumor growth while simultaneously managing the arteriovenous shunt, providing a valuable treatment option for this challenging patient population.

摘要

目的

评估肝动脉灌注化疗(HAIC)联合免疫检查点抑制剂(ICIs)和酪氨酸激酶抑制剂(TKIs)治疗合并高流量肝动静脉瘘(HAVF)的肝细胞癌(HCC)患者的短期疗效和安全性。

患者与方法

我们回顾性分析了2021年1月至2023年6月期间40例接受FOLFOX方案HAIC联合ICIs和TKIs治疗的不可切除HCC合并高流量HAVF患者的临床资料。疗效评估包括HAVF有效率、肿瘤反应、根据RECIST 1.1和mRECIST标准的无进展生存期(PFS)、总生存期(OS)。记录不良事件(AE)进行安全性评估。

结果

中位随访时间为10.5个月(范围:3.5 - 16.4个月)。共进行了150个HAIC周期,每位患者的中位次数为3.8个周期。根据RECIST 1.1标准,客观缓解率(ORR)和疾病控制率(DCR)分别为42.5%和92.5%,根据mRECIST标准分别为75.0%和92.5%。中位PFS和中位OS分别为5.5个月(95%CI:3.9 - 6.9)和10.4个月(95%CI:7.4 - 13.4)。单因素分析中,HAVF分级、肝外转移、HAVF消失是OS的潜在预后因素,而HAVF分级和肝外转移与PFS独立相关。高血压(12.5%)、血小板减少(12.5%)和白蛋白降低(7.5%)是最常见的3 - 4级治疗相关不良事件。研究期间未发生与治疗相关的死亡。

结论

HAIC联合ICIs和TKIs在不可切除HCC合并高流量HAVF患者中显示出有前景的短期疗效和可接受的安全性。这种联合治疗有效控制肿瘤生长,同时处理动静脉分流,为这一具有挑战性的患者群体提供了有价值的治疗选择。

https://cdn.ncbi.nlm.nih.gov/pmc/blobs/744d/12354584/08fc61cd50e9/fimmu-16-1643290-g001.jpg

文献AI研究员

20分钟写一篇综述,助力文献阅读效率提升50倍。

立即体验

用中文搜PubMed

大模型驱动的PubMed中文搜索引擎

马上搜索

文档翻译

学术文献翻译模型,支持多种主流文档格式。

立即体验