Suppr超能文献

脱氧地胆草素潜在靶标circTNPO3通过miR-188-5p/CDCA3/TRAF2介导的NF-κB信号通路重塑在调节胰腺癌恶性表型和吉西他滨化疗耐药中的功能作用

The functional roles of deoxyelephantopin potential target circTNPO3 in regulating pancreatic cancer malignant phenotype and gemcitabine chemoresistance via miR-188-5p/CDCA3/TRAF2-mediated remodeling of NF-κB signaling pathway.

作者信息

Ji Daolin, Liu Jia, Zhang Yanhui, Hou Li, Feng Haonan, Xing Xue, Guan Deming, Cui Tiangang, Xu Yi, Tan Gang

机构信息

Department of Hepatopancreatobiliary Surgery, The Fourth Affiliated Hospital, Harbin Medical University, Harbin, China.

The Key Laboratory of Myocardial Ischemia, Harbin Medical University, Ministry of Education, Harbin, China.

出版信息

Front Pharmacol. 2025 Jul 31;16:1613560. doi: 10.3389/fphar.2025.1613560. eCollection 2025.

Abstract

BACKGROUND

Pancreatic cancer (PC) has been one of the most severe digestive system malignant tumor with poor prognosis that threatens human health. Chemotherapy is essential for patients with advanced PC, but unfortunately the curative effect is limited by chemoresistance. CircTNPO3, a recently discovered circular RNA (circRNA), has been indicated to be associated with multi-types of tumors. However, the function and mechanism of circTNPO3 in regulating PC malignant phenotype and chemoresistance still remain obscure.

METHODS

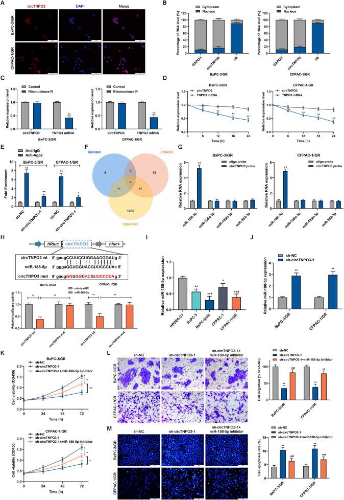
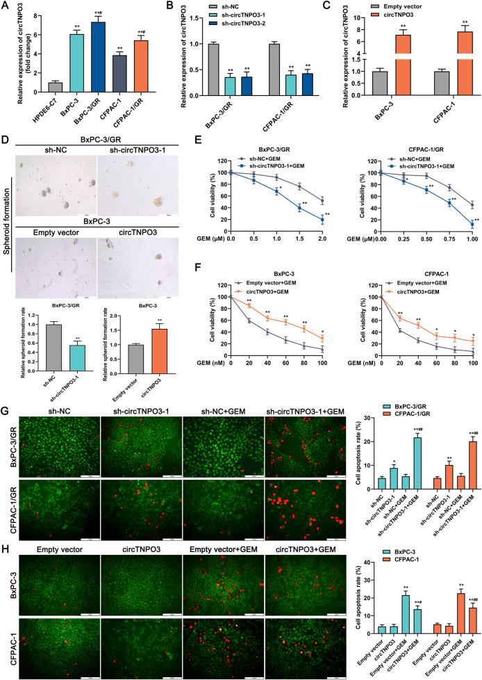
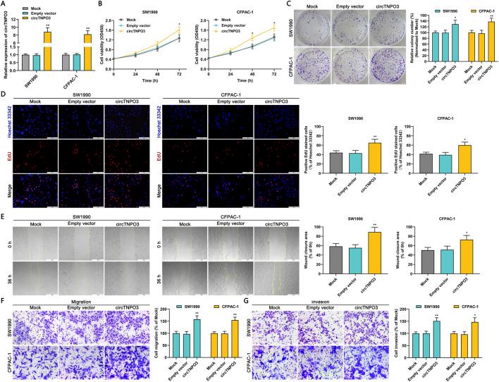
qRT-PCR and ISH were used to analyze circTNPO3 expression in PC cells and pathological specimens. The subcellular localization of circTNPO3 was visualized through nucleoplasmic RNA separation and FISH assays. The effect of cicTNPO3 on PC cell proliferation, migration and invasion was assessed using EdU, colony formation, wound healing and Transwell assays respectively. Cell apoptosis was detected using ELISA, AO/EB, Hoechst 33342 and flow cytometry assays. The binding potential between circTNPO3, miR-188-5p and CDCA3 was verified by Ago2-RIP, RNA pull down and dual-luciferase reporter assays. The relationship between CDCA3, TRAF2 and NF-κB-p65 was analyzed using Pearson correlation, and the expression was detected using immunoblotting. The nucleus translocation of p65 was evaluated using IF assay. The effect of circTNPO3 on PC growth and metastasis was analyzed using subcutaneous and lung metastatic tumor models . Deoxyelephantopin, a small molecule extract from traditional Chinese medicine, was applied to evaluate the potential of circTNPO3 as therapeutic target.

RESULTS

CircTNPO3 was aberrantly highly expressed in PC cells and tissues, and negatively associated with patient prognosis and gemcitabine chemotherapy sensitivity. Functionally, silencing circTNPO3 attenuated the malignant phenotypes and chemoresistance of PC and , conversely, facilitated by circTNPO3 overexpression. Mechanically, cytoplasmic circTNPO3 functioned as a sponge of miR-188-5p, and partially alleviated the effect of miR-188-5p on downstream molecules, which further upregulate the CDCA3 and TRAF2 expression and NF-κB activity, finally promoted PC progression and chemoresistance. More innovatively, the potential of circTNPO3 as a novel diagnostic biomarker and therapeutic target for PC was primarily validated in present study.

CONCLUSION

CircTNPO3 acted as an oncogenic and chemoresistant gene in PC, mechanically through targeting miR-188-5p and regulating CDCA3, TRAF2 and NF-κB signaling pathway.

摘要

背景

胰腺癌(PC)一直是最严重的消化系统恶性肿瘤之一,预后较差,威胁人类健康。化疗对晚期PC患者至关重要,但遗憾的是,疗效受到化疗耐药性的限制。CircTNPO3是最近发现的一种环状RNA(circRNA),已被表明与多种类型的肿瘤有关。然而,circTNPO3在调节PC恶性表型和化疗耐药性中的功能和机制仍不清楚。

方法

采用qRT-PCR和ISH分析circTNPO3在PC细胞和病理标本中的表达。通过核质RNA分离和FISH试验观察circTNPO3的亚细胞定位。分别采用EdU、集落形成、伤口愈合和Transwell试验评估circTNPO3对PC细胞增殖、迁移和侵袭的影响。采用ELISA、AO/EB、Hoechst 33342和流式细胞术检测细胞凋亡。通过Ago2-RIP、RNA pull down和双荧光素酶报告试验验证circTNPO3、miR-188-5p和CDCA3之间的结合潜力。采用Pearson相关性分析CDCA3、TRAF2和NF-κB-p65之间的关系,并通过免疫印迹法检测其表达。采用IF试验评估p65的核转位。利用皮下和肺转移瘤模型分析circTNPO3对PC生长和转移的影响。应用从中药中提取的小分子脱氧鬼臼毒素评估circTNPO3作为治疗靶点的潜力。

结果

CircTNPO3在PC细胞和组织中异常高表达,与患者预后和吉西他滨化疗敏感性呈负相关。在功能上,沉默circTNPO3可减弱PC的恶性表型和化疗耐药性,相反,circTNPO3过表达则促进其恶性表型和化疗耐药性。机制上,细胞质circTNPO3作为miR-188-5p的海绵,部分减轻了miR-188-5p对下游分子的影响,进而上调CDCA3和TRAF2的表达以及NF-κB活性,最终促进PC进展和化疗耐药性。更具创新性的是,本研究初步验证了circTNPO3作为PC新型诊断生物标志物和治疗靶点的潜力。

结论

CircTNPO3在PC中作为致癌和化疗耐药基因发挥作用,其机制是通过靶向miR-188-5p并调节CDCA3、TRAF2和NF-κB信号通路。

https://cdn.ncbi.nlm.nih.gov/pmc/blobs/7b40/12350284/3c8c1b0907f5/fphar-16-1613560-g001.jpg

文献AI研究员

20分钟写一篇综述,助力文献阅读效率提升50倍。

立即体验

用中文搜PubMed

大模型驱动的PubMed中文搜索引擎

马上搜索

文档翻译

学术文献翻译模型,支持多种主流文档格式。

立即体验