Suppr超能文献

JNK信号通路抑制介导雌激素受体阳性乳腺癌对联合内分泌治疗和CDK4/6抑制的不敏感性。

JNK pathway suppression mediates insensitivity to combination endocrine therapy and CDK4/6 inhibition in ER+ breast cancer.

作者信息

Alexandrou Sarah, Lee Christine S, Fernandez Kristine J, Wiharja Celine E, Eshraghi Leila, Reeves John, Reed Daniel A, Portman Neil, Phan Zoe, Milioli Heloisa H, Nikolic Iva, Cadell Antonia L, Croucher David R, Simpson Kaylene J, Lim Elgene, Hickey Theresa E, Millar Ewan K A, Alves Carla L, Ditzel Henrik J, Caldon C Elizabeth

机构信息

Garvan Institute of Medical Research, Darlinghurst, Sydney, NSW, Australia.

St Vincent's Clinical School, Faculty of Medicine, UNSW Sydney, Sydney, NSW, Australia.

出版信息

J Exp Clin Cancer Res. 2025 Aug 19;44(1):244. doi: 10.1186/s13046-025-03466-9.

Abstract

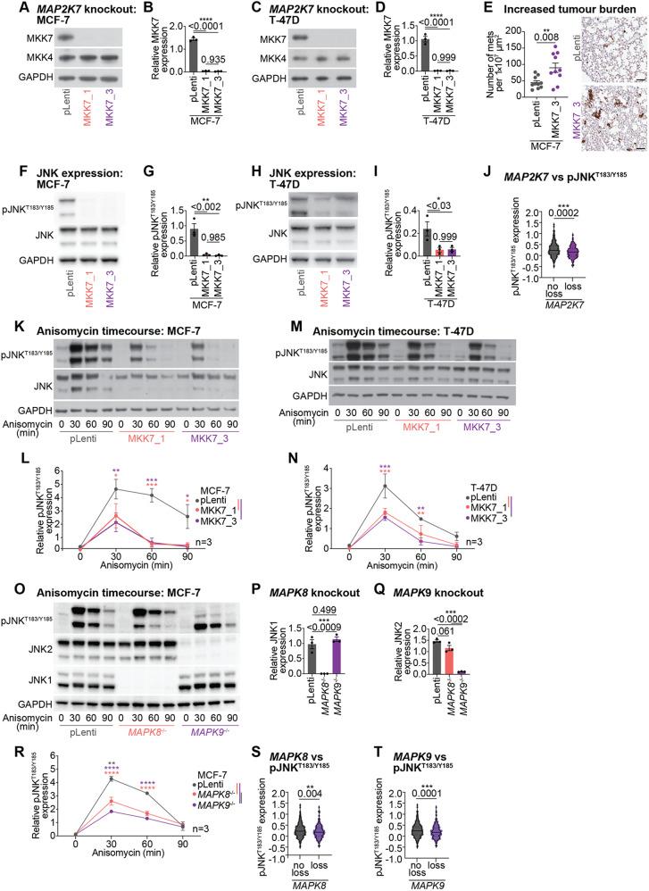
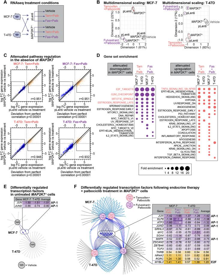
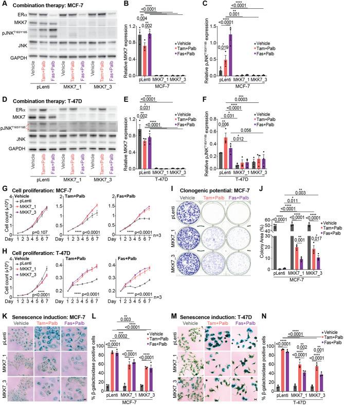
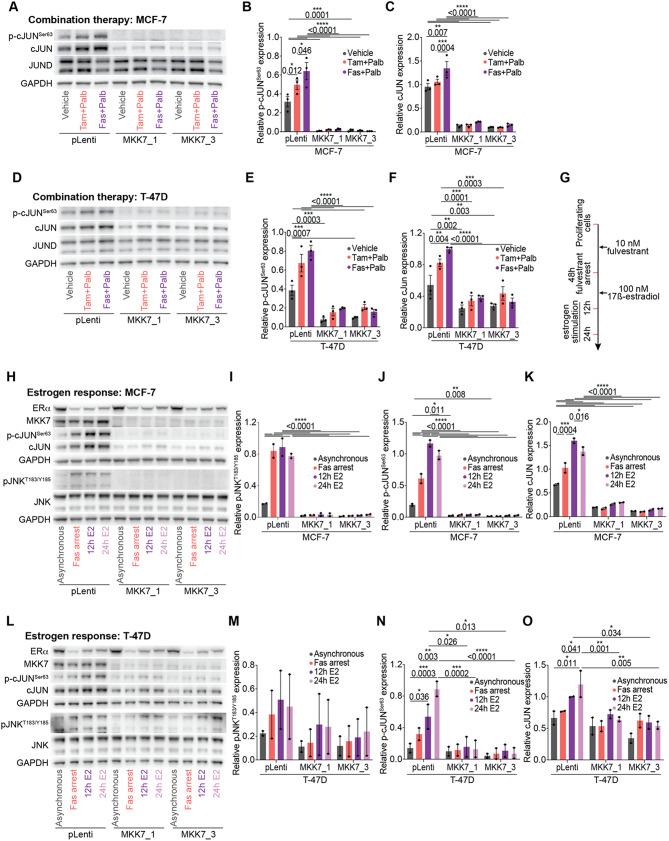
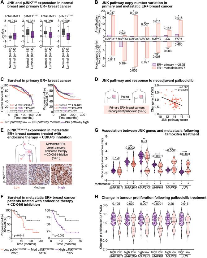
CDK4/6 inhibitors in combination with endocrine therapy are now used as front-line treatment for patients with estrogen-receptor positive (ER+) breast cancer. While this combination improves overall survival, the mechanisms of disease progression remain poorly understood. Here, we performed unbiased genome-wide CRISPR/Cas9 knockout screens using endocrine sensitive ER+ breast cancer cells to identify novel drivers of resistance to combination endocrine therapy (tamoxifen) and CDK4/6 inhibitor (palbociclib) treatment. Our screens identified the inactivation of JNK signalling, including loss of the kinase MAP2K7, as a key driver of drug insensitivity. We developed multiple CRISPR/Cas9 knockout ER+ breast cancer cell lines (MCF-7 and T-47D) to investigate the effects of MAP2K7 and downstream MAPK8 and MAPK9 loss. MAP2K7 knockout increased metastatic burden in vivo and led to impaired JNK-mediated stress responses, as well as promoting cell survival and reducing senescence entry following endocrine therapy and CDK4/6 inhibitor treatment. Mechanistically, this occurred via loss of the AP-1 transcription factor c-JUN, leading to an attenuated response to combination endocrine therapy plus CDK4/6 inhibition. Furthermore, analysis of clinical datasets found that inactivation of the JNK pathway was associated with increased metastatic burden, and low pJNK activity correlated with a poorer response to systemic endocrine and CDK4/6 inhibitor therapies in both early-stage and metastatic ER+ breast cancer cohorts. Overall, we demonstrate that suppression of JNK signalling enables persistent growth during combined endocrine therapy and CDK4/6 inhibition. Our data provides the pre-clinical rationale to stratify patients based on JNK pathway activity prior to receiving combination endocrine therapy and CDK4/6 inhibition.

摘要

CDK4/6抑制剂与内分泌疗法联合使用,现被用作雌激素受体阳性(ER+)乳腺癌患者的一线治疗方案。虽然这种联合疗法可提高总生存率,但疾病进展的机制仍知之甚少。在此,我们使用内分泌敏感的ER+乳腺癌细胞进行了无偏倚的全基因组CRISPR/Cas9敲除筛选,以确定对联合内分泌疗法(他莫昔芬)和CDK4/6抑制剂(帕博西尼)治疗产生耐药性的新驱动因素。我们的筛选确定JNK信号通路的失活,包括激酶MAP2K7的缺失,是药物不敏感的关键驱动因素。我们开发了多种CRISPR/Cas9敲除的ER+乳腺癌细胞系(MCF-7和T-47D),以研究MAP2K7以及下游的MAPK8和MAPK9缺失的影响。MAP2K7敲除增加了体内转移负担,并导致JNK介导的应激反应受损,同时促进细胞存活,并减少内分泌疗法和CDK4/6抑制剂治疗后的衰老进入。从机制上讲,这是通过AP-1转录因子c-JUN的缺失发生的,导致对联合内分泌疗法加CDK4/6抑制的反应减弱。此外,对临床数据集的分析发现,JNK通路的失活与转移负担增加有关,并且在早期和转移性ER+乳腺癌队列中,低pJNK活性与对全身内分泌和CDK4/6抑制剂疗法的较差反应相关。总体而言,我们证明JNK信号通路的抑制使得在联合内分泌疗法和CDK4/6抑制期间能够持续生长。我们的数据为在接受联合内分泌疗法和CDK4/6抑制之前根据JNK通路活性对患者进行分层提供了临床前依据。

https://cdn.ncbi.nlm.nih.gov/pmc/blobs/f0df/12363127/ecdf80567325/13046_2025_3466_Fig1_HTML.jpg

文献AI研究员

20分钟写一篇综述,助力文献阅读效率提升50倍。

立即体验

用中文搜PubMed

大模型驱动的PubMed中文搜索引擎

马上搜索

文档翻译

学术文献翻译模型,支持多种主流文档格式。

立即体验