Suppr超能文献

结节病中的潜在微生物再激活与免疫失调:连接发病机制与精准治疗

Latent microbial reactivation and immune dysregulation in sarcoidosis: bridging pathogenesis and precision therapeutics.

作者信息

Sawahata Michiru, Uchida Keisuke, Furukawa Asuka, Eishi Yoshinobu, Maemondo Makoto

机构信息

Department of Respiratory Medicine, Jichi Medical University, Tochigi, Japan.

Division of Surgical Pathology, Institute of Science Tokyo Hospital, Tokyo, Japan.

出版信息

Front Med (Lausanne). 2025 Aug 15;12:1625915. doi: 10.3389/fmed.2025.1625915. eCollection 2025.

Abstract

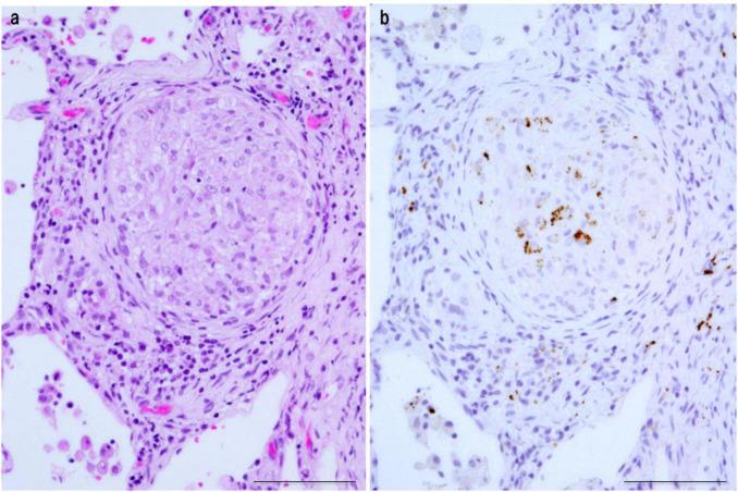
Sarcoidosis, a systemic granulomatous disease of unknown etiology, is characterized by the formation of non-caseating granulomas affecting multiple organs. Accumulating evidence implicates (; formerly ) as a potential microbial trigger. The consistent detection of within sarcoid granulomas, along with associated Th1-polarized immune responses, indicates that latent intracellular persistence and reactivation of this commensal bacterium may drive granulomatous inflammation. This bacterium can persist intracellularly within macrophages and dendritic cells and, upon reactivation, may induce Th1/Th17-dominant immune responses in genetically and immunologically susceptible individuals. Immune dysregulation, including deficient -specific regulatory T cell (Treg) responses, may underlie the unchecked effector activity that sustains inflammation. Enhanced -specific T-cell reactivity, including elevated interferon-γ and interleukin-2 production, is observed in some patients, supporting this hypothesis. Although direct evidence for -specific Tregs and antigen-specific T-cell responses is limited, immune dysregulation involving impaired tolerance is thought to contribute to the heterogeneity of sarcoidosis, which ranges from spontaneous remission to chronic fibrotic progression. Recent advances in diagnostic tools, including -specific monoclonal antibody immunostaining and T-cell assays specific to , offer promising approaches for detecting microbial involvement. These developments highlight the importance of etiology-driven treatment strategies. As sarcoidosis likely comprises a spectrum of underlying causes, etiology-specific interventions are particularly warranted upon the identification of a defined trigger, such as . This review explores the potential pathogenesis of sarcoidosis, focusing on latent microbial reactivation, immune dysregulation, and their diagnostic and therapeutic implications, and highlights opportunities for precision medicine.

摘要

结节病是一种病因不明的全身性肉芽肿性疾病,其特征是形成影响多个器官的非干酪样肉芽肿。越来越多的证据表明 (以前为 )是一种潜在的微生物触发因素。在结节病肉芽肿内持续检测到 ,以及相关的Th1极化免疫反应,表明这种共生细菌的潜伏性细胞内持续存在和再激活可能驱动肉芽肿性炎症。这种细菌可以在巨噬细胞和树突状细胞内细胞内存活,再激活后,可能在遗传和免疫易感个体中诱导以Th1/Th17为主的免疫反应。免疫失调,包括特异性调节性T细胞(Treg)反应缺陷,可能是维持炎症的不受控制的效应器活动的基础。在一些患者中观察到特异性T细胞反应增强,包括干扰素-γ和白细胞介素-2产生增加,支持这一假设。尽管特异性Tregs和抗原特异性T细胞反应的直接证据有限,但涉及耐受性受损的免疫失调被认为导致了结节病的异质性,其范围从自发缓解到慢性纤维化进展。诊断工具的最新进展,包括特异性单克隆抗体免疫染色和特异性T细胞检测,为检测微生物参与提供了有前景的方法。这些进展突出了病因驱动的治疗策略的重要性。由于结节病可能包括一系列潜在原因,在确定明确的触发因素(如 )后,特别需要进行病因特异性干预。本综述探讨了结节病的潜在发病机制,重点关注潜伏微生物再激活、免疫失调及其诊断和治疗意义,并强调了精准医学的机会。

https://cdn.ncbi.nlm.nih.gov/pmc/blobs/ef40/12362391/9d86bd0b2f6f/fmed-12-1625915-g001.jpg

文献AI研究员

20分钟写一篇综述,助力文献阅读效率提升50倍。

立即体验

用中文搜PubMed

大模型驱动的PubMed中文搜索引擎

马上搜索

文档翻译

学术文献翻译模型,支持多种主流文档格式。

立即体验