Suppr超能文献

恶性胸膜间皮瘤合并重症肌无力患者对纳武单抗和伊匹单抗治疗部分缓解,无严重病情加重或免疫相关不良事件:一例报告

Partial Response to Nivolumab and Ipilimumab in a Patient With Malignant Pleural Mesothelioma and Pre-Existing Myasthenia Gravis Without Severe Flares or Immune-Related Adverse Events: A Case Report.

作者信息

Higa Mariko, Kuda Tomoya, Ohya Yuichiro, Kawasaki Hidenori

机构信息

Division of Pulmonary Medicine NHO Okinawa Hospital Ginowan Okinawa Japan.

Division of Pulmonary Medicine Okinawa Prefectural Chubu Hospital Uruma Okinawa Japan.

出版信息

Respirol Case Rep. 2025 Aug 19;13(8):e70297. doi: 10.1002/rcr2.70297. eCollection 2025 Aug.

Abstract

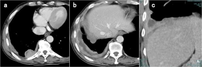
Detailed clinical data on the combination immune checkpoint inhibitor (ICI) therapy in patients with myasthenia gravis (MG) remain limited. We report a case of malignant pleural mesothelioma with previously undiagnosed ocular MG. Owing to hepatic dysfunction, reduced doses of nivolumab and ipilimumab were administered before confirmation of anti-acetylcholine receptor (AChR) antibody positivity. MG was diagnosed based on subtle ocular symptoms and serological tests. Prophylactic intravenous immunoglobulin and an acetylcholinesterase inhibitor were administered; combination therapy was discontinued owing to the risk of MG flare, but a partial tumour response was achieved. With disease progression, nivolumab monotherapy was reintroduced, and early steroid pulse therapy was administered owing to elevated creatine kinase, again inducing a partial response. Serological screening for anti-AChR antibodies may help prevent severe MG flares and immune-related adverse events. With caution, dose-reduced and limited-exposure ICI combination therapy may be feasible in selected patients with MG under appropriate prophylactic management.

摘要

重症肌无力(MG)患者联合免疫检查点抑制剂(ICI)治疗的详细临床数据仍然有限。我们报告一例患有先前未诊断出的眼肌型MG的恶性胸膜间皮瘤病例。由于肝功能障碍,在确认抗乙酰胆碱受体(AChR)抗体阳性之前,给予了减量的纳武单抗和伊匹木单抗。基于轻微的眼部症状和血清学检查诊断为MG。给予预防性静脉注射免疫球蛋白和乙酰胆碱酯酶抑制剂;由于MG发作风险,停止联合治疗,但实现了部分肿瘤缓解。随着疾病进展,重新引入纳武单抗单药治疗,由于肌酸激酶升高给予早期类固醇冲击治疗,再次诱导部分缓解。抗AChR抗体的血清学筛查可能有助于预防严重的MG发作和免疫相关不良事件。谨慎地说,在适当的预防性管理下,减量和有限暴露的ICI联合治疗在选定的MG患者中可能是可行的。

https://cdn.ncbi.nlm.nih.gov/pmc/blobs/9c4a/12364612/f92ed4d89a70/RCR2-13-e70297-g003.jpg

文献AI研究员

20分钟写一篇综述,助力文献阅读效率提升50倍。

立即体验

用中文搜PubMed

大模型驱动的PubMed中文搜索引擎

马上搜索

文档翻译

学术文献翻译模型,支持多种主流文档格式。

立即体验