Suppr超能文献

槲皮素对Sprague-Dawley大鼠银纳米颗粒诱导的肝毒性的保护作用

Protective Role of Quercetin on Silver Nanoparticle-Induced Hepatotoxicity in Sprague-Dawley Rats.

作者信息

Patlolla Anita K, Graham Sidney, Tchounwou Paul B

机构信息

NIH-Center for Environmental Health, College of Science Engineering and Technology, Jackson State University, Jackson, MS-39217, USA.

Department of Biology, CSET, Jackson State University, Jackson, MS-39217, USA.

出版信息

Int J Biomed Clin Anal. 2024 Dec 31;4(2):52-64. doi: 10.61797/ijbca.v4i2.350. Epub 2024 Nov 7.

Abstract

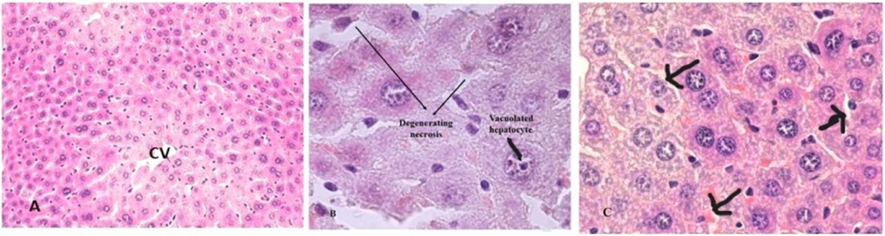
Silver nanoparticles (Ag-NPs) are one of the most commercially used nanomaterials. However, their extensive usage has adverse biological effects, which has led to increasing concerns about their potential impact on human health and the environment. This study aimed to confirm Ag-NP-induced hepatotoxicity and determine the potential protective role of quercetin (Qur) in Ag-NP-induced hepatotoxicity. Fifteen healthy male Sprague-Dawley rats were divided into three group: (1) Control group (administered deionized water), (2) Ag-NPs group (administered 100 mg/Kg Ag-NP orally) and (3) Ag-NP+Qur group (administered 100 mg/Kg Ag-NPs+100 μl of Qur) for five consecutive days. Samples were collected 24 h after the last treatment following standard protocols. The antioxidant activity of Qur against Ag-NP-induced toxicity was determined by measuring serum levels of various enzymes including Alanine Aminotransferases (ALT), Gamma-Glutamyl Transferases, (GGT), Alkaline Phosphatases (ALP), biomarkers of oxidative stress, Malondialdehyde (MDA), reduced glutathione (GSH) and examining liver histopathology. A significant increase in the activity of serum liver enzymes (ALT, ALP, GGT), MDA and alterations in liver morphology were noted in Ag-NPs treated rats relative to control rats. In contrast, reduced glutathione level was considerably lower in Ag-NPs treated rats compared to that in control rats. Co-administration of Qur resulted in significant changes in the biochemical parameters compared to that in Ag-NP-treated rats. The activity of liver enzymes, liver injury and oxidative stress biomarkers were found to be decreased, whereas levels of reduced glutathione were increased in the Qur+Ag-NP group. Our results suggest that the antioxidant Qur may have a protective role against Ag-NP-induced hepatotoxicity.

摘要

银纳米颗粒(Ag-NPs)是商业用途最为广泛的纳米材料之一。然而,它们的广泛使用具有不良生物学效应,这导致人们越来越关注其对人类健康和环境的潜在影响。本研究旨在确认Ag-NP诱导的肝毒性,并确定槲皮素(Qur)在Ag-NP诱导的肝毒性中的潜在保护作用。将15只健康雄性Sprague-Dawley大鼠分为三组:(1)对照组(给予去离子水),(2)Ag-NPs组(口服给予100mg/Kg Ag-NP)和(3)Ag-NP+Qur组(给予100mg/Kg Ag-NPs+100μl Qur),连续五天。按照标准方案在最后一次治疗后24小时采集样本。通过测量包括丙氨酸转氨酶(ALT)、γ-谷氨酰转移酶(GGT)、碱性磷酸酶(ALP)等各种酶的血清水平、氧化应激生物标志物丙二醛(MDA)、还原型谷胱甘肽(GSH)以及检查肝脏组织病理学来确定Qur对Ag-NP诱导毒性的抗氧化活性。与对照大鼠相比,Ag-NPs处理的大鼠血清肝酶(ALT、ALP、GGT)活性、MDA显著增加,肝脏形态发生改变。相比之下,Ag-NPs处理的大鼠还原型谷胱甘肽水平明显低于对照大鼠。与Ag-NP处理的大鼠相比,Qur共同给药导致生化参数发生显著变化。在Qur+Ag-NP组中,肝酶活性、肝损伤和氧化应激生物标志物降低,而还原型谷胱甘肽水平升高。我们的结果表明,抗氧化剂Qur可能对Ag-NP诱导的肝毒性具有保护作用。

https://cdn.ncbi.nlm.nih.gov/pmc/blobs/6912/12369638/8bc354895d8b/nihms-2094142-f0001.jpg

文献AI研究员

20分钟写一篇综述,助力文献阅读效率提升50倍。

立即体验

用中文搜PubMed

大模型驱动的PubMed中文搜索引擎

马上搜索

文档翻译

学术文献翻译模型,支持多种主流文档格式。

立即体验