Suppr超能文献

通过具有双NO/pH响应性的近红外二区纳米载体对糖尿病性骨微环境进行整体调节以增强骨再生

Holistic regulation of the diabetic osteo-microenvironment via NIR-II nanocarriers with dual NO/pH responsiveness for enhanced bone regeneration.

作者信息

Xie Xudong, Yang Junli, Ding Chong, Li Yiming, Ai-Smadi Fawwaz, Zha Kangkang, Lin Chuanlu, Lin Ze, Yu Chenyan, Zeng Ruiyin, Hu Weixian, Liao Jiewen, Ouyang Lizhi, Xia Tian, Zhao Peng, Mi Bobin, Liu Guohui

机构信息

Department of Orthopedics, Union Hospital, Tongji Medical College, Huazhong University of Science and Technology, Wuhan, 430022, PR China.

Hubei Province Key Laboratory of Oral and Maxillofacial Development and Regeneration, Wuhan, 430022, PR China.

出版信息

Bioact Mater. 2025 Aug 4;53:754-772. doi: 10.1016/j.bioactmat.2025.07.025. eCollection 2025 Nov.

Abstract

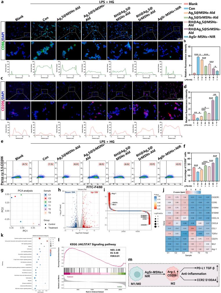
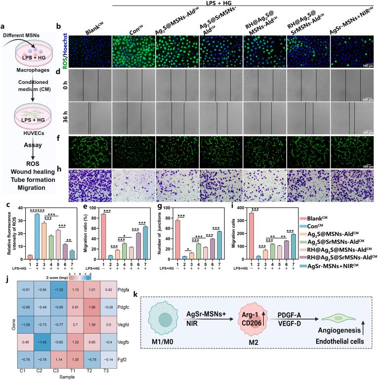
Diabetic conditions impair bone regeneration due to dysregulated macrophage polarization and inflammatory imbalance. Current therapies often fail to address systemic immune homeostasis. Herein, a bone-targeted nanoplatform (abbreviated as AgSr-MSNs) is engineered to scavenge excess nitric oxide (NO) and respond to the acidic diabetic microenvironment based on upregulated inducible nitric oxide synthase (iNOS) expression in M1 macrophages residing within both the diabetic bone marrow and localized osteolytic regions in our study. The system integrates silver sulfide quantum dots (AgS QDs) and Sr into mesoporous silica nanoparticles (MSNs), encapsulated with rhodamine/β-cyclodextrin and surface-modified with alendronate for bone-specific targeting. Under near-infrared (NIR) irradiation, the nanoparticles induce macrophage repolarization toward M2 phenotypes through JAK/STAT signaling pathway, followed by upregulating anti-inflammatory mediators (TGF-β, PD-L1) and tissue-regenerative factors (BMP-2/4, VEGF-B), while suppressing pro-inflammatory cytokines (CCR2, S100A4). This dual NO/pH-responsive platform synergistically mitigates inflammatory dysregulation, enhances osteogenesis, and promotes angiogenesis. In diabetic models, systemic administration with NIR-mediated mild hyperthermia reduces CD86 macrophages and TNF-α levels while elevating CD206 macrophages locally and systemically. Concurrently, it boosts CD31, Runx2, and osteocalcin (OCN) expression levels at defect sites, indicating restored vascularization and osteogenesis. This strategy addresses the pathological triad of diabetic osteopathy-chronic inflammation, vascular insufficiency, and osteogenic impairment-providing a translatable nanotherapeutic paradigm for metabolic bone disorders.

摘要

糖尿病状况会因巨噬细胞极化失调和炎症失衡而损害骨再生。目前的治疗方法往往无法解决全身免疫稳态问题。在此,我们设计了一种骨靶向纳米平台(简称为AgSr-MSNs),用于清除过量的一氧化氮(NO),并基于我们研究中糖尿病骨髓和局部溶骨区域内M1巨噬细胞中诱导型一氧化氮合酶(iNOS)表达上调,对酸性糖尿病微环境做出响应。该系统将硫化银量子点(AgS QDs)和Sr整合到介孔二氧化硅纳米颗粒(MSNs)中,用罗丹明/β-环糊精封装,并通过阿仑膦酸盐进行表面修饰以实现骨特异性靶向。在近红外(NIR)照射下,纳米颗粒通过JAK/STAT信号通路诱导巨噬细胞向M2表型重新极化,随后上调抗炎介质(TGF-β、PD-L1)和组织再生因子(BMP-2/4、VEGF-B),同时抑制促炎细胞因子(CCR2、S100A4)。这种双NO/pH响应平台协同减轻炎症失调,增强成骨作用,并促进血管生成。在糖尿病模型中,通过NIR介导的轻度热疗进行全身给药可降低CD86巨噬细胞和TNF-α水平,同时局部和全身提高CD206巨噬细胞水平。同时,它还能提高缺损部位CD31、Runx2和骨钙素(OCN)的表达水平,表明血管生成和成骨作用得到恢复。该策略解决了糖尿病性骨病的病理三联征——慢性炎症、血管功能不全和成骨障碍,为代谢性骨病提供了一种可转化的纳米治疗模式。

https://cdn.ncbi.nlm.nih.gov/pmc/blobs/1b90/12374208/2270f5f9452c/ga1.jpg

文献AI研究员

20分钟写一篇综述,助力文献阅读效率提升50倍。

立即体验

用中文搜PubMed

大模型驱动的PubMed中文搜索引擎

马上搜索

文档翻译

学术文献翻译模型,支持多种主流文档格式。

立即体验