Suppr超能文献

三阴性乳腺癌肝转移灶射频消融术后超过三年的无肝复发生存期

More Than Three Years of Hepatic Recurrence-Free Survival After Radiofrequency Ablation for Hepatic Metastasis From Triple-Negative Breast Cancer.

作者信息

Nakata Bunzo, Sakimura Chie, Tendo Masashige, Yokomatsu Hideaki, Hori Takeshi

机构信息

Surgery, Kashiwara Municipal Hospital, Kashiwara, JPN.

Surgery, Moriguchi Ikuno Memorial Hospital, Moriguchi, JPN.

出版信息

Cureus. 2025 Jul 23;17(7):e88578. doi: 10.7759/cureus.88578. eCollection 2025 Jul.

Abstract

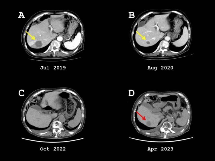
The prognosis of triple-negative breast cancer (TNBC) with hepatic metastasis is generally poor. Here, we report the case of a 70-year-old woman with TNBC whose hepatic metastasis did not recur for more than three years after radiofrequency ablation (RFA). During this period, the patient received chemotherapies with relatively mild side effects, such as eribulin mesylate and gemcitabine, maintaining a good quality of life. Although PARP inhibitors and immune checkpoint inhibitors are now available for TNBC, many cases are not eligible for these treatments due to the absence of specific target molecules. RFA may be a useful option in selected cases of hepatic metastasis from TNBC.

摘要

三阴性乳腺癌(TNBC)发生肝转移后的预后通常较差。在此,我们报告一例70岁的TNBC女性患者,其肝转移灶在接受射频消融(RFA)治疗后三年多未复发。在此期间,患者接受了副作用相对较轻的化疗,如甲磺酸艾瑞布林和吉西他滨,维持了良好的生活质量。尽管目前PARP抑制剂和免疫检查点抑制剂可用于TNBC治疗,但由于缺乏特定的靶分子,许多病例不符合这些治疗条件。对于TNBC肝转移的某些特定病例,RFA可能是一种有用的选择。

https://cdn.ncbi.nlm.nih.gov/pmc/blobs/d507/12374593/3dcde3c010c3/cureus-0017-00000088578-i01.jpg

文献AI研究员

20分钟写一篇综述,助力文献阅读效率提升50倍。

立即体验

用中文搜PubMed

大模型驱动的PubMed中文搜索引擎

马上搜索

文档翻译

学术文献翻译模型,支持多种主流文档格式。

立即体验