Suppr超能文献

新兴的正电子发射断层显像(PET)成像剂与靶向放射性配体疗法:临床应用与试验综述

Emerging PET Imaging Agents and Targeted Radioligand Therapy: A Review of Clinical Applications and Trials.

作者信息

Palihati Maierdan, Das Jeeban Paul, Yeh Randy, Capaccione Kathleen

机构信息

Department of Radiology, Columbia University Irving Medical Center, 622 W 168th St., New York, NY 10032, USA.

Department of Radiology, Memorial Sloan Kettering Cancer Center, New York, NY 10065, USA.

出版信息

Tomography. 2025 Jul 28;11(8):83. doi: 10.3390/tomography11080083.

Abstract

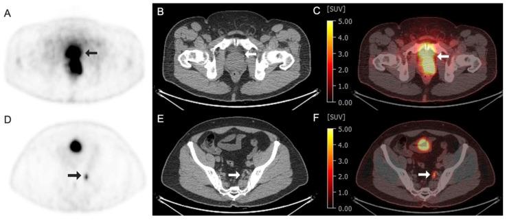
Targeted radioligand therapy (RLT) is an emerging field in anticancer therapeutics with great potential across tumor types and stages of disease. While much progress has focused on agents targeting somatostatin receptors and prostate-specific membrane antigen (PSMA), the same advanced radioconjugation methods and molecular targeting have spurred the development of numerous theranostic combinations for other targets. A number of the most promising agents have progressed to clinical trials and are poised to change the landscape of positron emission tomography (PET) imaging. Here, we present recent data on some of the most important emerging molecular targeted agents with their exemplar clinical images, including agents targeting fibroblast activation protein (FAP), hypoxia markers, gastrin-releasing peptide receptors (GRPrs), and integrins. These radiopharmaceuticals share the promising characteristic of being able to image multiple types of cancer. Early clinical trials have already demonstrated superiority to F-fluorodeoxyglucose (F-FDG) for some, suggesting the potential to supplant this longstanding PET radiotracer. Here, we provide a primer for practicing radiologists, particularly nuclear medicine clinicians, to understand novel PET imaging agents and their clinical applications, as well as the availability of companion targeted radiotherapeutics, the status of their regulatory approval, the potential challenges associated with their use, and the future opportunities and perspectives.

摘要

靶向放射性配体疗法(RLT)是抗癌治疗领域中一个新兴的领域,在各种肿瘤类型和疾病阶段都具有巨大潜力。虽然许多进展都集中在靶向生长抑素受体和前列腺特异性膜抗原(PSMA)的药物上,但同样先进的放射性缀合方法和分子靶向技术也推动了针对其他靶点的众多诊疗组合的开发。一些最有前景的药物已进入临床试验阶段,并有望改变正电子发射断层扫描(PET)成像的格局。在此,我们展示了一些最重要的新兴分子靶向药物的最新数据及其典型临床图像,包括靶向成纤维细胞活化蛋白(FAP)、缺氧标志物、胃泌素释放肽受体(GRPr)和整合素的药物。这些放射性药物具有能够对多种类型癌症进行成像的良好特性。早期临床试验已经证明,其中一些药物相对于F-氟脱氧葡萄糖(F-FDG)具有优势,这表明它们有可能取代这种长期使用的PET放射性示踪剂。在此,我们为执业放射科医生,尤其是核医学临床医生提供一份入门指南,以帮助他们了解新型PET成像药物及其临床应用,以及配套靶向放射治疗药物的可用性、监管批准状况、使用相关的潜在挑战以及未来的机遇和前景。

https://cdn.ncbi.nlm.nih.gov/pmc/blobs/c698/12390037/ae7dc6a0af3f/tomography-11-00083-g001.jpg

文献AI研究员

20分钟写一篇综述,助力文献阅读效率提升50倍。

立即体验

用中文搜PubMed

大模型驱动的PubMed中文搜索引擎

马上搜索

文档翻译

学术文献翻译模型,支持多种主流文档格式。

立即体验