Suppr超能文献

亚马逊蝎子毒液的开创性比较蛋白质组学和酶谱分析实现了其首个α-Ktx、金属蛋白酶和磷脂酶A的分离。

Pioneering Comparative Proteomic and Enzymatic Profiling of Amazonian Scorpion Venoms Enables the Isolation of Their First α-Ktx, Metalloprotease, and Phospholipase A.

作者信息

Bordon Karla C F, Santos Gabrielle C, Martins Jonas G, Wiezel Gisele A, Amorim Fernanda G, Crasset Thomas, Redureau Damien, Quinton Loïc, Procópio Rudi E L, Arantes Eliane C

机构信息

Department of BioMolecular Sciences, School of Pharmaceutical Sciences of Ribeirão Preto, University of São Paulo (USP), Ribeirão Preto 14040-903, SP, Brazil.

Graduate Program in Genetics, Conservation and Evolutionary Biology (PPG GCBEv), National Institute for Amazon Research (INPA), Manaus 69067-375, AM, Brazil.

出版信息

Toxins (Basel). 2025 Aug 15;17(8):411. doi: 10.3390/toxins17080411.

Abstract

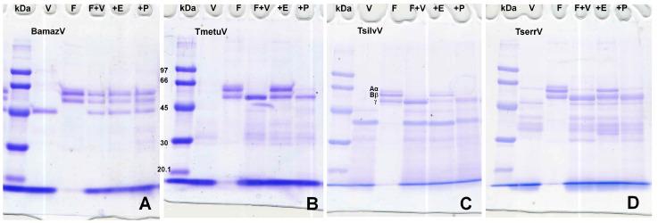
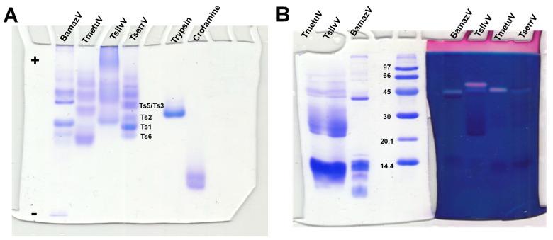
Scorpionism is a growing public health concern in Brazil, with the Amazon region presenting the highest mortality rates but remaining understudied, especially regarding local scorpion venoms composition. This study presents the first comprehensive biochemical characterization of venoms from three Amazonian species- (TmetuV), (TsilvV), and (BamazV)-using an integrated approach combining Multi-Enzymatic Limited Digestion (MELD)-based bottom-up proteomics, high-resolution LC-MS/MS, chromatography, zymography, and enzymatic assays. venom was included as a reference. Significant biochemical differences were observed: TsilvV was rich in 20-30 kDa proteins and showed strong metalloprotease activity; BamazV exhibited high molecular weight proteins and potent phospholipase A (PLA) activity but lacked proteolytic and fibrinogenolytic activities; TmetuV showed the highest hyaluronidase activity and abundance of α-KTx neurotoxins. Zymography revealed a conserved ~45 kDa hyaluronidase in all species. Three novel components were partially characterized: BamazPLA (Group III PLA), Tmetu1 (37-residue α-KTx), and TsilvMP_A (a metalloprotease homologous to antarease). This is the first application of MELD-based proteomics to Amazonian scorpion venoms, revealing molecular diversity and functional divergence within and , emphasizing the need for region-specific antivenoms. These findings provide a foundation for future pharmacological studies and the discovery of bioactive peptides with therapeutic potential.

摘要

蝎蜇伤在巴西已成为一个日益严重的公共卫生问题,亚马逊地区的死亡率最高,但仍未得到充分研究,尤其是在当地蝎子毒液成分方面。本研究采用综合方法,结合基于多酶有限消化(MELD)的自下而上蛋白质组学、高分辨率液相色谱-串联质谱、色谱法、酶谱分析和酶活性测定,首次对三种亚马逊蝎子物种(TmetuV、TsilvV和BamazV)的毒液进行了全面的生化特性分析。将[某种蝎子]毒液作为参考。观察到显著的生化差异:TsilvV富含20 - 30 kDa的蛋白质,并具有很强的金属蛋白酶活性;BamazV表现出高分子量蛋白质和强大的磷脂酶A(PLA)活性,但缺乏蛋白水解和纤维蛋白溶解活性;TmetuV表现出最高的透明质酸酶活性和丰富的α-KTx神经毒素。酶谱分析显示所有物种中都存在一种保守的约45 kDa透明质酸酶。对三种新成分进行了部分特性分析:BamazPLA(III组PLA)、Tmetu1(37个残基的α-KTx)和TsilvMP_A(一种与抗蚁酶同源的金属蛋白酶)。这是基于MELD的蛋白质组学首次应用于亚马逊蝎子毒液,揭示了[两种蝎子]内部的分子多样性和功能差异,强调了针对特定区域的抗蛇毒血清的必要性。这些发现为未来的药理学研究和发现具有治疗潜力的生物活性肽奠定了基础。

https://cdn.ncbi.nlm.nih.gov/pmc/blobs/f6ac/12390242/8f67dcc4a52f/toxins-17-00411-g001.jpg

文献AI研究员

20分钟写一篇综述,助力文献阅读效率提升50倍。

立即体验

用中文搜PubMed

大模型驱动的PubMed中文搜索引擎

马上搜索

文档翻译

学术文献翻译模型,支持多种主流文档格式。

立即体验