Suppr超能文献

肉桂酸:抵御高脂饮食诱导的肝损伤——探索Nrf2的保护机制

Cinnamic Acid: A Shield Against High-Fat-Diet-Induced Liver Injury-Exploring Nrf2's Protective Mechanisms.

作者信息

Alahdal Asmahan Taher, Al-Harbi Laila Naif, Alshammari Ghedeir M, Saleh Ali, Yahya Mohammed Abdo

机构信息

Department of Food Science and Nutrition, College of Food and Agricultural Sciences, King Saud University, Riyadh 11451, Saudi Arabia.

出版信息

Int J Mol Sci. 2025 Aug 17;26(16):7940. doi: 10.3390/ijms26167940.

Abstract

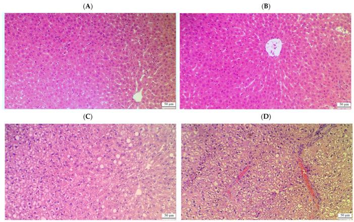
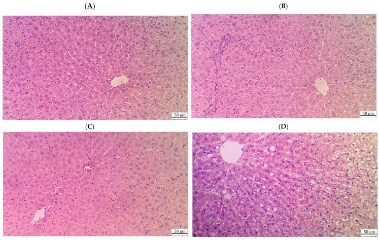
This study investigated the hepatoprotective effects of cinnamic acid (CA) against liver injury and fat accumulation induced by a high-fat diet (HFD), focusing on the role of the nuclear factor erythroid 2-related factor 2 (Nrf2) signaling. Male Wistar rats were divided into six groups: a control group receiving carboxymethylcellulose; a CA control group (40 mg/kg); an HFD group; two HFD groups treated with CA (20 mg/kg or 40 mg/kg); and a HFD group co-treated with CA (40 mg/kg) and brusatol (2 mg/kg, i.p.), a selective Nrf2 inhibitor. CA was administered orally, and brusatol intraperitoneally, both twice per week for twelve weeks. CA had no effect on serum glucose or insulin but improved serum and hepatic profiles in HFD rats. It also attenuated liver vacuolization and normalized serum levels of ALT, AST, and γ-GT. CA also reduced hepatic apoptosis by increasing Bcl2 and reducing Bax and caspase-3 levels. CA mitigated oxidative stress by reducing MDA and enhancing SOD and GSH levels. It suppressed inflammatory mediators, including TNF-α, IL-6, and NF-κB. CA also downregulated SREBP1, FAS, ACC-1, and Keap1 while increasing mRNA and nuclear translocation of Nrf2. All these effects were dose-dependent. Similar molecular effects of CA were also seen in control rats while CA protection in HFD rats was abolished with brusatol indicating Nrf2-dependency. Such findings highlight CA as a promising nutraceutical candidate for preventing HFD-induced liver injury. Further studies are warranted to explore its clinical applicability in metabolic liver diseases.

摘要

本研究调查了肉桂酸(CA)对高脂饮食(HFD)诱导的肝损伤和脂肪堆积的肝保护作用,重点关注核因子红细胞2相关因子2(Nrf2)信号通路的作用。雄性Wistar大鼠分为六组:接受羧甲基纤维素的对照组;CA对照组(40mg/kg);HFD组;用CA(20mg/kg或40mg/kg)治疗的两个HFD组;以及用CA(40mg/kg)和布沙妥明(2mg/kg,腹腔注射)共同治疗的HFD组,布沙妥明是一种选择性Nrf2抑制剂。CA口服给药,布沙妥明腹腔注射给药,均每周两次,共十二周。CA对血清葡萄糖或胰岛素无影响,但改善了HFD大鼠的血清和肝脏指标。它还减轻了肝脏空泡化,并使ALT、AST和γ-GT的血清水平恢复正常。CA还通过增加Bcl2并降低Bax和caspase-3水平来减少肝脏细胞凋亡。CA通过降低MDA并提高SOD和GSH水平来减轻氧化应激。它抑制了包括TNF-α、IL-6和NF-κB在内的炎症介质。CA还下调了SREBP1、FAS、ACC-1和Keap1,同时增加了Nrf2的mRNA表达和核转位。所有这些作用均呈剂量依赖性。在对照大鼠中也观察到了CA的类似分子效应,而布沙妥明消除了CA对HFD大鼠的保护作用,表明其依赖于Nrf2。这些发现突出了CA作为预防HFD诱导的肝损伤的有前景的营养保健品候选物。有必要进一步研究其在代谢性肝病中的临床适用性。

https://cdn.ncbi.nlm.nih.gov/pmc/blobs/3257/12386455/c59e61d54f79/ijms-26-07940-g001.jpg

文献AI研究员

20分钟写一篇综述,助力文献阅读效率提升50倍。

立即体验

用中文搜PubMed

大模型驱动的PubMed中文搜索引擎

马上搜索

文档翻译

学术文献翻译模型,支持多种主流文档格式。

立即体验