Suppr超能文献

阿拉伯胶-地塞米松联合用药通过靶向SIRT1-HMGB1信号通路并维持线粒体完整性减轻大鼠脓毒症诱导的急性肾损伤。

Gum Acacia-Dexamethasone Combination Attenuates Sepsis-Induced Acute Kidney Injury in Rats via Targeting SIRT1-HMGB1 Signaling Pathway and Preserving Mitochondrial Integrity.

作者信息

Alruwaili Fawaz N, Nour Omnia A, Ibrahim Tarek M

机构信息

Department of Pharmacology and Toxicology, Faculty of Pharmacy, Mansoura University, Mansoura 35516, Egypt.

出版信息

Pharmaceuticals (Basel). 2025 Aug 5;18(8):1164. doi: 10.3390/ph18081164.

Abstract

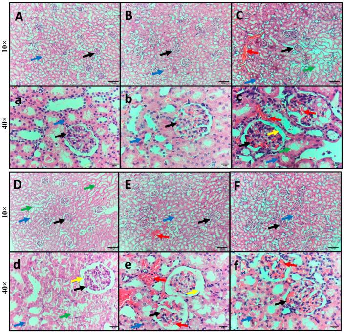
Sepsis-associated acute kidney injury (SA-AKI) is a substantial contributor to mortality in critically ill patients. This study aimed to investigate the impact of gum acacia (GA) and dexamethasone (DEX) combination on lipopolysaccharide (LPS)-induced SA-AKI in rats. : Thirty-six male Sprague Dawley rats were separated into six groups, including the control, GA group, LPS-induced AKI group, DEX + LPS group, GA + LPS group, and GA + DEX + LPS group. AKI was induced in rats using LPS (10 mg/kg, i.p.). GA was administered orally (7.5 g/kg) for 14 days before LPS injection, and DEX was injected (1 mg/kg, i.p.) 2 h after LPS injection. : LPS injection significantly ( < 0.05, vs. control group) impaired renal function, as evidenced through increased levels of kidney function biomarkers, decreased creatinine clearance, and histopathological alterations in the kidneys. LPS also significantly ( < 0.05, vs. control group) elevated levels of oxidative stress markers, while it reduced levels of antioxidant enzymes. Furthermore, LPS triggered an inflammatory response, manifested by significant ( < 0.05, vs. control group) upregulation of Toll-like receptor 4, myeloid differentiation primary response 88, interleukin-1β, tumor necrosis factor-α, and nuclear factor-κB, along with increased expression of high-mobility group box 1. Administration of GA significantly ameliorated LPS-induced renal impairment by enhancing antioxidant defenses and suppressing inflammatory pathways ( < 0.05, vs. LPS group). Furthermore, GA-DEX-treated rats showed improved kidney function, reduced oxidative stress, and attenuated inflammatory markers ( < 0.05, vs. LPS group). : The GA-DEX combination exhibited potent renoprotective effects against LPS-induced SA-AKI, possibly due to their antioxidant and anti-inflammatory properties. These results suggest that the GA-DEX combination could be a promising and effective therapeutic agent for managing SA-AKI.

摘要

脓毒症相关性急性肾损伤(SA-AKI)是危重症患者死亡的重要原因。本研究旨在探讨阿拉伯胶(GA)与地塞米松(DEX)联合应用对脂多糖(LPS)诱导的大鼠SA-AKI的影响。:将36只雄性Sprague Dawley大鼠分为6组,包括对照组、GA组、LPS诱导的急性肾损伤组、DEX+LPS组、GA+LPS组和GA+DEX+LPS组。采用LPS(10 mg/kg,腹腔注射)诱导大鼠急性肾损伤。在注射LPS前14天口服GA(7.5 g/kg),LPS注射后2小时腹腔注射DEX(1 mg/kg)。:注射LPS后肾功能显著受损(与对照组相比,<0.05),表现为肾功能生物标志物水平升高、肌酐清除率降低以及肾脏组织病理学改变。LPS还显著升高了氧化应激标志物水平(与对照组相比,<0.05),同时降低了抗氧化酶水平。此外,LPS引发了炎症反应,表现为Toll样受体4、髓样分化初级反应88、白细胞介素-1β、肿瘤坏死因子-α和核因子-κB显著上调(与对照组相比,<0.05),同时高迁移率族蛋白B1表达增加。给予GA可通过增强抗氧化防御和抑制炎症途径显著改善LPS诱导的肾损伤(与LPS组相比,<0.

https://cdn.ncbi.nlm.nih.gov/pmc/blobs/11b7/12389274/3d351286c291/pharmaceuticals-18-01164-g001.jpg

文献AI研究员

20分钟写一篇综述,助力文献阅读效率提升50倍。

立即体验

用中文搜PubMed

大模型驱动的PubMed中文搜索引擎

马上搜索

文档翻译

学术文献翻译模型,支持多种主流文档格式。

立即体验