Suppr超能文献

经肛门微创手术(TAMIS)成功治愈慢性子宫切除术后直肠皮肤瘘

Successful Resolution of a Chronic Post-hysterectomy Rectocutaneous Fistula Using Transanal Minimally Invasive Surgery (TAMIS).

作者信息

Galicia Negrete Gustavo, Abarca Magallon Alfredo S, Valdivieso-Siguenza Daniel A, Solares Sanchez Hector Norman, Coyoli Garcia Oscar

机构信息

Colorectal Surgery, Hospital Regional Licenciado Adolfo Lopez Mateos, Instituto de Seguridad y Servicios Sociales de los Trabajadores del Estado (ISSSTE), Mexico City, MEX.

出版信息

Cureus. 2025 Jul 26;17(7):e88832. doi: 10.7759/cureus.88832. eCollection 2025 Jul.

Abstract

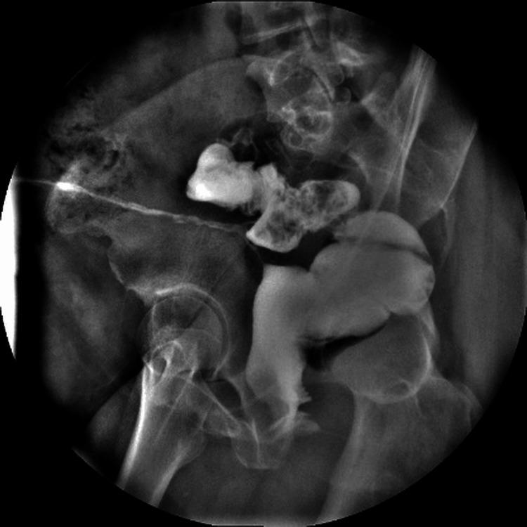
Colocutaneous fistulas are a rare but challenging complication of abdominal and pelvic surgery. Their surgical management can be difficult, especially when associated with multiple failed treatments. Transanal minimally invasive surgery (TAMIS), initially designed for local excision of rectal tumors, has been increasingly used in complex benign conditions. We present the case of a 41-year-old female patient with a chronic rectocutaneous fistula that developed following a hysterectomy and had persisted despite four failed endoscopic clip placements. The patient also reported intermittent passage of air through the vagina; however, no rectovaginal communication was identified through imaging, endoscopy, or intraoperative exploration. The fistula orifice was located 15-16 cm from the anal verge and was approached using a TAMIS platform, allowing for direct endoluminal access and precise intracorporeal suturing. The procedure lasted 65 minutes, with minimal blood loss. The patient had an uneventful recovery and was discharged 48 hours later. Long-term follow-up at three years demonstrated complete and durable resolution of the fistula, without recurrence or complications. This case illustrates the utility of TAMIS in the definitive management of complex post-hysterectomy rectal fistulas and supports its use as a safe and effective alternative to more invasive procedures in selected non-oncologic cases.

摘要

结肠皮肤瘘是腹部和盆腔手术中一种罕见但具有挑战性的并发症。其手术治疗可能很困难,尤其是在与多次治疗失败相关时。经肛门微创手术(TAMIS)最初设计用于直肠肿瘤的局部切除,越来越多地用于复杂的良性疾病。我们报告了一例41岁女性患者,她在子宫切除术后出现慢性直肠皮肤瘘,尽管进行了四次内镜夹闭术均失败,但瘘仍持续存在。患者还报告有气体间歇性经阴道排出;然而,通过影像学、内镜检查或术中探查均未发现直肠阴道瘘。瘘口距肛缘15 - 16厘米,使用TAMIS平台进行处理,可实现直接腔内入路和精确的体内缝合。手术持续65分钟,失血极少。患者恢复顺利,48小时后出院。三年的长期随访显示瘘完全持久愈合,无复发或并发症。该病例说明了TAMIS在子宫切除术后复杂直肠瘘的确定性治疗中的实用性,并支持其作为选定非肿瘤病例中更具侵入性手术的安全有效替代方法。

https://cdn.ncbi.nlm.nih.gov/pmc/blobs/1eba/12378890/e66061a608af/cureus-0017-00000088832-i01.jpg

文献AI研究员

20分钟写一篇综述,助力文献阅读效率提升50倍。

立即体验

用中文搜PubMed

大模型驱动的PubMed中文搜索引擎

马上搜索

文档翻译

学术文献翻译模型,支持多种主流文档格式。

立即体验