Suppr超能文献

乳腺癌治疗后侵袭性小叶癌的胃肠道转移:一例报告。

Gastrointestinal metastasis from invasive lobular carcinoma following breast cancer treatment: A case report.

作者信息

Liu Ping-Ping, Sun Ling-Ling, Jing Xue

机构信息

Department of Gastroenterology, The Affiliated Hospital of Qingdao University, Qingdao 266000, Shandong Province, China.

Department of Pathology, The Affiliated Hospital of Qingdao University, Qingdao 266000, Shandong Province, China.

出版信息

World J Clin Cases. 2025 Sep 16;13(26):107496. doi: 10.12998/wjcc.v13.i26.107496.

Abstract

BACKGROUND

Metastasis of breast cancer usually affects the lungs, bones, liver, and brain. It rarely spreads to the gastrointestinal tract, and cases with similar endoscopic manifestations are even rarer. Herein, we report a 52-year-old woman presenting with metastatic lobular carcinoma involving the gastrointestinal tract four years following a left mastectomy, chemoradiotherapy, and hormone therapy for lobular carcinoma of the breast.

CASE SUMMARY

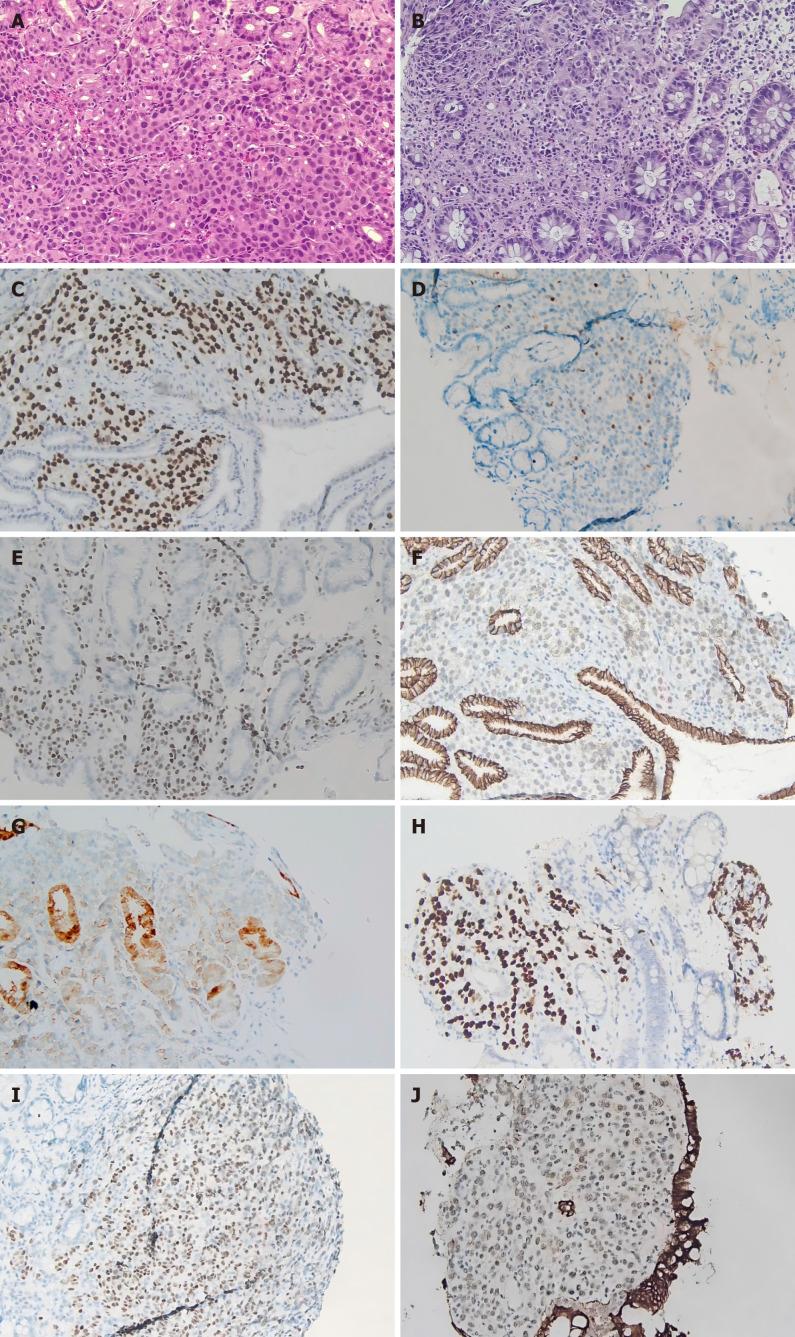
A 52-year-old woman presented with a history of invasive lobular carcinoma and experienced metastasis of breast cancer to the gastrointestinal tract. The patient underwent a left mastectomy and tumor cells were positive for estrogen receptor (ER) and progesterone receptor (PR), negative for human epidermal growth factor receptor 2 (HER2) and E-cadherin. She did not experience any local or distant recurrences for four years following the mastectomy, chemoradiotherapy, and hormone therapy. However, the patient complained of upper abdominal discomfort and was transferred to our hospital. The endoscopic examination revealed multiple crater-like ulcers scattered throughout the stomach, gastric antrum, and colorectum. Surprisingly, the histology of colorectum lesions was the same as that of gastric metastasis. Gastric tumor cells were positive for GATA-binding protein 3 (GATA3), PR, and ER, negative for HER2. The colorectum tumor cells were positive for GATA3 and ER and negative for cytokeratin 20. Based on the results of immunohistological examination, a final diagnosis of gastrointestinal metastases from breast cancer was established.

CONCLUSION

Distinguishing metastatic breast cancer from primary gastrointestinal lesions is crucial for initiating the correct treatment and enhancing the quality of life for patients.

摘要

背景

乳腺癌转移通常累及肺、骨、肝和脑。它很少扩散至胃肠道,具有相似内镜表现的病例更为罕见。在此,我们报告一名52岁女性,在接受左侧乳房切除术、放化疗及激素治疗四年后,出现累及胃肠道的转移性小叶癌。

病例摘要

一名52岁女性,有浸润性小叶癌病史,且发生了乳腺癌胃肠道转移。患者接受了左侧乳房切除术,肿瘤细胞雌激素受体(ER)和孕激素受体(PR)呈阳性,人表皮生长因子受体2(HER2)和E-钙黏蛋白呈阴性。乳房切除、放化疗及激素治疗后四年,她未出现任何局部或远处复发。然而,患者主诉上腹部不适,遂转至我院。内镜检查发现胃、胃窦和结直肠散在多个火山口样溃疡。令人惊讶的是,结直肠病变的组织学与胃转移灶相同。胃肿瘤细胞GATA结合蛋白3(GATA3)、PR和ER呈阳性,HER2呈阴性。结直肠肿瘤细胞GATA3和ER呈阳性,细胞角蛋白20呈阴性。基于免疫组织学检查结果,最终确诊为乳腺癌胃肠道转移。

结论

区分转移性乳腺癌与原发性胃肠道病变对于启动正确治疗及提高患者生活质量至关重要。

https://cdn.ncbi.nlm.nih.gov/pmc/blobs/b0b9/12336978/5c410d06177c/wjcc-13-26-107496-g001.jpg

文献AI研究员

20分钟写一篇综述,助力文献阅读效率提升50倍。

立即体验

用中文搜PubMed

大模型驱动的PubMed中文搜索引擎

马上搜索

文档翻译

学术文献翻译模型,支持多种主流文档格式。

立即体验