Suppr超能文献

小细胞肺癌转移继发急性胰腺炎:一例报告及文献复习

Acute pancreatitis secondary to small-cell lung cancer metastasis: A case report and literature review.

作者信息

Suárez Miguel, Simón Soraya, Martínez Raquel, Crespo Jas

机构信息

Department of Gastroenterology, Virgen de la Luz Hospital, Cuenca 16002, Castille-La Mancha, Spain.

Medical Analysis Expert Group, Universidad de Castilla-La Mancha, Cuenca 16071, Castille-La Mancha, Spain.

出版信息

World J Clin Cases. 2025 Sep 26;13(27):107805. doi: 10.12998/wjcc.v13.i27.107805.

Abstract

BACKGROUND

Acute pancreatitis (AP) is commonly encountered in gastroenterology, with biliary and alcohol-related causes being predominant. Among less frequent etiologies, metabolic and drug-induced origin are the most prevalent. As an exception, non-pancreatobiliary malignancies may trigger AP, representing less than 1% of cases. We present a case of AP secondary to an uncommon oncologic etiology.

CASE SUMMARY

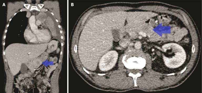
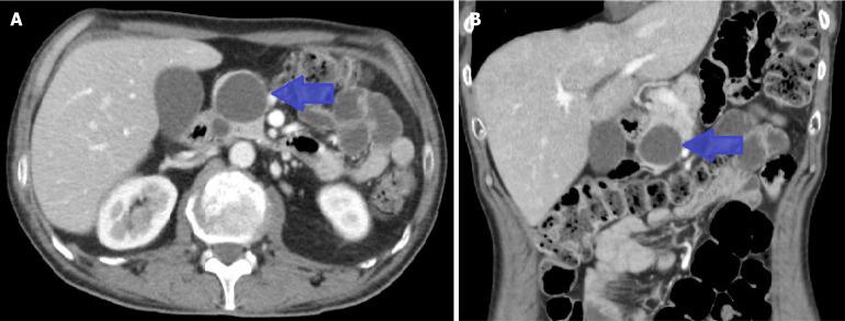
We describe the case of a 50-year-old male recently diagnosed with small-cell lung cancer (SCLC). The patient was admitted to the emergency department with acute abdominal pain and subsequently diagnosed with AP. He was hospitalized under the care of the gastroenterology service. During the etiological workup, metastatic pancreatic lesions were identified on imaging, which had not been observed on the initial cancer staging. Following resolution of the initial episode, oral intake was introduced, but the patient experienced recurrent abdominal pain and laboratory abnormalities consistent with new episodes of AP. This pattern repeated over the following days. After several episodes, and with suspicion of a metastatic origin, the case was discussed in multidisciplinary meeting. In agreement with the patient and given the need to initiate treatment for the primary tumor as well, chemotherapy was started. This treatment successfully alleviated symptoms, allowing dietary progression without complications and discharge from the hospital.

CONCLUSION

Oncologic treatment can be considered as part of the therapeutic approach in AP secondary to SCLC metastasis, especially chemotherapy.

摘要

背景

急性胰腺炎(AP)在胃肠病学中较为常见,主要病因是胆源性和酒精性。在较罕见的病因中,代谢性和药物性病因最为普遍。作为一种例外情况,非胰腺胆管恶性肿瘤可能引发AP,占病例不到1%。我们报告一例由罕见肿瘤病因继发的AP病例。

病例摘要

我们描述了一名50岁男性患者,最近被诊断为小细胞肺癌(SCLC)。该患者因急性腹痛入院,随后被诊断为AP。他在胃肠病科的护理下住院。在病因检查过程中,影像学检查发现了转移性胰腺病变,这在最初的癌症分期中未被观察到。初始发作缓解后,开始经口进食,但患者反复出现腹痛和实验室检查异常,与新的AP发作一致。这种情况在接下来的几天里反复出现。经过几次发作,并怀疑有转移起源后,该病例在多学科会议上进行了讨论。经与患者协商并考虑到也需要开始对原发性肿瘤进行治疗,于是开始了化疗。这种治疗成功缓解了症状,使饮食逐步恢复且无并发症,并得以出院。

结论

对于SCLC转移继发的AP,肿瘤治疗可被视为治疗方法的一部分,尤其是化疗。

https://cdn.ncbi.nlm.nih.gov/pmc/blobs/d2d8/12362478/163c96045316/wjcc-13-27-107805-g001.jpg

文献AI研究员

20分钟写一篇综述,助力文献阅读效率提升50倍。

立即体验

用中文搜PubMed

大模型驱动的PubMed中文搜索引擎

马上搜索

文档翻译

学术文献翻译模型,支持多种主流文档格式。

立即体验