Suppr超能文献

E2F1-自噬-ALDH1A1轴以p53依赖的方式增强肺癌干细胞样细胞的自我更新能力和耐药性。

E2F1-autophagy-ALDH1A1 axis enhances self-renewal and drug resistance of lung cancer stem-like cells in a p53-dependent manner.

作者信息

Li Jingyuan, Chen Yiyu, Wang Jianyu, Liu Liyuan, Qadir Javeria, Xie Dan, Wan Xue, Luo Yanan, Xian Jiawen, Ye Ting

机构信息

Department of Laboratory Medicine, the Affiliated Hospital of Southwest Medical University, No. 25, Taiping Street, Jiangyang District, Luzhou, Sichuan, 646000, P. R. China.

Molecular Biology Laboratory of Respiratory Disease, Key Laboratory of Clinical Laboratory Diagnostics (Ministry of Education), College of Laboratory Medicine, Chongqing Medical University, Chongqing, 400016, P. R. China.

出版信息

J Exp Clin Cancer Res. 2025 Aug 30;44(1):261. doi: 10.1186/s13046-025-03506-4.

Abstract

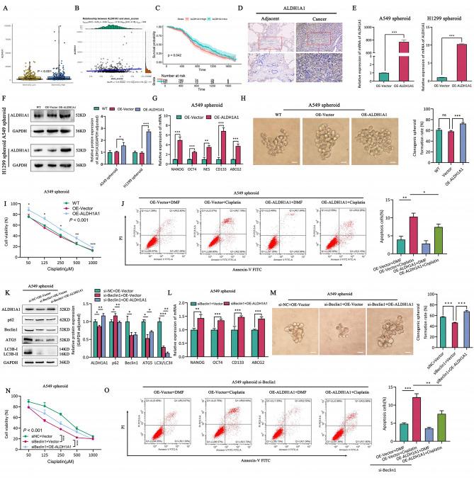
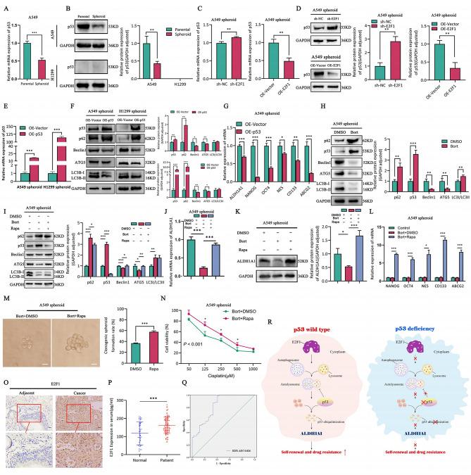
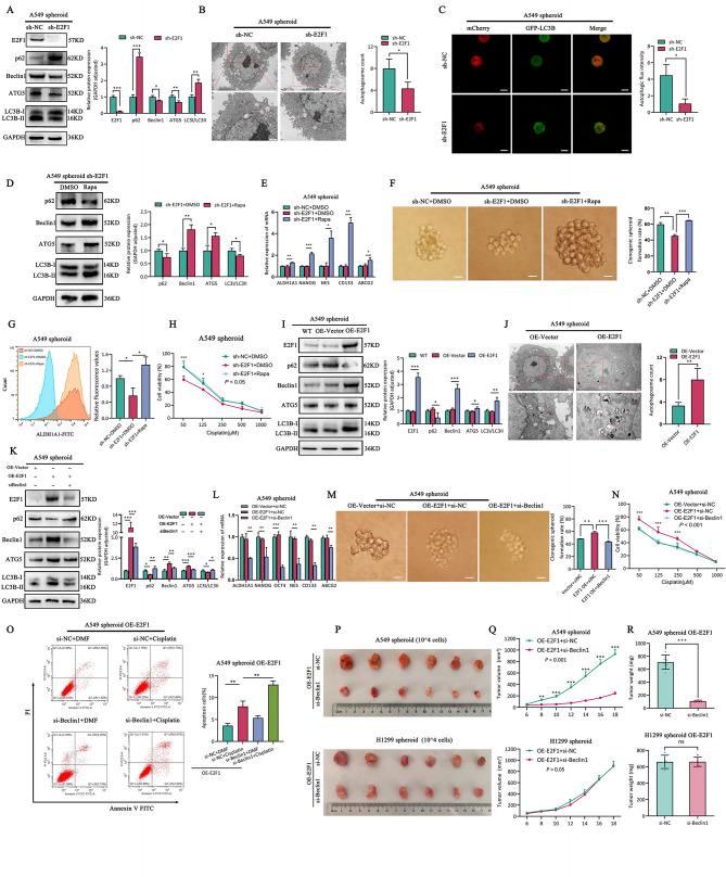
Lung adenocarcinoma (LUAD) is a predominant subtype of non-small cell lung adenocarcinoma (NSCLC). It is typically asymptomatic and associated with high mortality rates. Despite recent advancements in screening technologies and therapeutic approaches, its pathogenesis still remains elusive. Therefore, it is imperative to explore new diagnostic markers and therapeutic targets for LUAD management. Cancer stem cells (CSCs) have high self-renewal capacity and incur therapeutic resistance, thus, considered as crucial elements in initiating and promoting tumor development. Contextual to this, the present study reveals the role of the transcriptional activator E2F1 in LUAD oncogenesis and its association with various biological characteristics of lung cancer stem cells (LCSCs). Whereby, it may also serve as a crucial factor in regulating autophagy. Autophagy can modulate stemness by either promoting or inhibiting CSCs characteristics. Pertinently, our study integrated bioinformatics, in-vitro and in-vivo experiments to elucidate that E2F1 can induce ALDH1A1 through autophagy, thus promoting self-renewal and drug resistance of LCSCs, as well as tumorigenicity. Mechanistically, "E2F1-autophagy-ALDH1A1" axis enhanced the self-renewal capacity and drug resistance of LCSCs in a p53-dependent manner, highlighting the potential of E2F1 as a promising marker for LUAD.

摘要

肺腺癌(LUAD)是非小细胞肺癌(NSCLC)的主要亚型。它通常无症状且死亡率高。尽管近年来筛查技术和治疗方法有所进步,但其发病机制仍不清楚。因此,探索新的诊断标志物和治疗靶点对于LUAD的管理至关重要。癌症干细胞(CSCs)具有高自我更新能力并产生治疗抗性,因此被认为是启动和促进肿瘤发展的关键因素。在此背景下,本研究揭示了转录激活因子E2F1在LUAD肿瘤发生中的作用及其与肺癌干细胞(LCSCs)各种生物学特性的关联。据此,它也可能是调节自噬的关键因素。自噬可通过促进或抑制CSCs特性来调节干性。相关地,我们的研究整合了生物信息学、体外和体内实验,以阐明E2F1可通过自噬诱导ALDH1A1,从而促进LCSCs的自我更新、耐药性以及致瘤性。机制上,“E2F1-自噬-ALDH1A1”轴以p53依赖的方式增强了LCSCs的自我更新能力和耐药性,突出了E2F1作为LUAD有前景标志物的潜力。

https://cdn.ncbi.nlm.nih.gov/pmc/blobs/b1f9/12398038/a54002fc9538/13046_2025_3506_Fig1_HTML.jpg

文献AI研究员

20分钟写一篇综述,助力文献阅读效率提升50倍。

立即体验

用中文搜PubMed

大模型驱动的PubMed中文搜索引擎

马上搜索

文档翻译

学术文献翻译模型,支持多种主流文档格式。

立即体验