Suppr超能文献

溶质载体家族38成员4(SLC38A4)作为一种预后生物标志物与结直肠癌肝转移中的免疫浸润相关。

SLC38A4 as a prognostic biomarker and correlated with immune infiltration in colorectal liver metastasis.

作者信息

Liu Ying, Wei Xin, Chen Ningning, Wang Weijia

机构信息

Department of Medical Oncology, Shaanxi Provincial People's Hospital, No. 256 Youyi West Road, Xi'an, 710068, People's Republic of China.

Department of Medical Oncology, First Affiliated Hospital, Xi'an Jiaotong University, Xi'an, China.

出版信息

Discov Oncol. 2025 Sep 2;16(1):1675. doi: 10.1007/s12672-025-03509-9.

Abstract

BACKGROUND

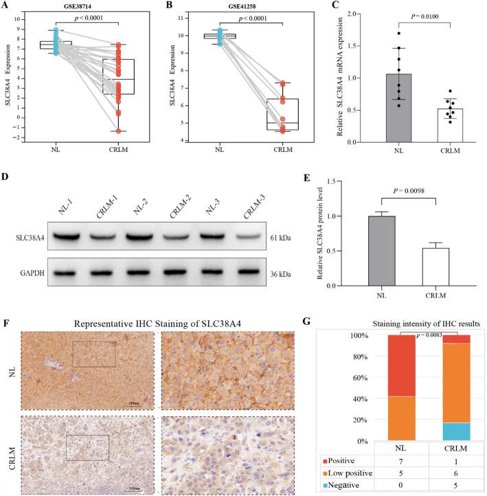
Colorectal liver metastasis (CRLM) is the most frequent form of metastasis and the main reason for deaths associated with colorectal cancer. However, prognostic biomarkers originating from CRLM tissue remain limited. Additionally, the impact of the metabolism-associated gene SLC38A4 on patients with CRLM remains elusive.

METHODS

Metabolism-related differentially expressed genes (MRDEGs) were identified between CRLM and adjacent normal liver (NL) tissues using GEO datasets (GSE38174, GSE41258). The prognostic significance of these MRDEGs in CRLM (GSE159216) was evaluated using Cox regression and Kaplan-Meier survival analyses. The differential expression of SLC38A4 was validated through multiple experiments, including qRT-PCR, Western blotting, and immunohistochemistry. Genes co-expressed with SLC38A4 were identified through a weighted gene co-expression network analysis, and enrichment analyses were conducted by clusterProfiler. The link between SLC38A4 and immune infiltration was assessed with the CIBERSORT algorithm, while drug sensitivity was analyzed using oncoPredict.

RESULTS

SLC38A4 was identified as an independent favorable-prognosis biomarker for CRLM, with significantly lower expression in CRLM compared to NL tissues. Enrichment analyses indicated that SLC38A4-associated genes participate in diverse metabolic processes. Immune infiltration analysis indicated that SLC38A4 expression is linked to the infiltration of immune cells and three immune checkpoint genes: ARG1, EDNRB, and TNFSF4. Additionally, multiple anti-tumor drugs were positively associated with SLC38A4 expression.

CONCLUSION

Elevated SLC38A4 expression is correlated with a favorable prognosis in CRLM, likely through mechanisms involving metabolic reprogramming and immune infiltration. Thus, SLC38A4 may serve as both a prognostic biomarker and a potential biomarker for future therapeutic investigation, offering new precision medicine options for CRLM patients.

摘要

背景

结直肠癌肝转移(CRLM)是最常见的转移形式,也是结直肠癌相关死亡的主要原因。然而,源自CRLM组织的预后生物标志物仍然有限。此外,代谢相关基因SLC38A4对CRLM患者的影响仍不清楚。

方法

使用GEO数据集(GSE38174、GSE41258)鉴定CRLM与相邻正常肝(NL)组织之间的代谢相关差异表达基因(MRDEG)。使用Cox回归和Kaplan-Meier生存分析评估这些MRDEG在CRLM(GSE159216)中的预后意义。通过包括qRT-PCR、蛋白质印迹和免疫组织化学在内的多项实验验证SLC38A4的差异表达。通过加权基因共表达网络分析鉴定与SLC38A4共表达的基因,并使用clusterProfiler进行富集分析。使用CIBERSORT算法评估SLC38A4与免疫浸润之间的联系,同时使用oncoPredict分析药物敏感性。

结果

SLC38A4被鉴定为CRLM的独立有利预后生物标志物,与NL组织相比,其在CRLM中的表达显著降低。富集分析表明,与SLC38A4相关的基因参与多种代谢过程。免疫浸润分析表明,SLC38A4表达与免疫细胞和三个免疫检查点基因(ARG1、EDNRB和TNFSF4)的浸润有关。此外,多种抗肿瘤药物与SLC38A4表达呈正相关。

结论

SLC38A4表达升高与CRLM的良好预后相关,可能是通过涉及代谢重编程和免疫浸润的机制。因此,SLC38A4既可以作为预后生物标志物,也可以作为未来治疗研究的潜在生物标志物,为CRLM患者提供新的精准医学选择。

https://cdn.ncbi.nlm.nih.gov/pmc/blobs/9bc6/12405119/83787720c7c1/12672_2025_3509_Fig1_HTML.jpg

文献AI研究员

20分钟写一篇综述,助力文献阅读效率提升50倍。

立即体验

用中文搜PubMed

大模型驱动的PubMed中文搜索引擎

马上搜索

文档翻译

学术文献翻译模型,支持多种主流文档格式。

立即体验