Suppr超能文献

用于将小干扰RNA(siRNA)特异性递送至心肌梗死部位以促进心脏修复的自组装细胞外基质-脂质纳米颗粒复合物

Self-assembled extracellular matrix-lipid nanoparticle composite for site-specific siRNA delivery to improve cardiac repair post-myocardial infarction.

作者信息

Wang Xinming, Zhong Yiming, Qian Bei, Huang Shixing, Long Qiang, Zhang Haonan, Zhao Qiang, Ye Xiaofeng

机构信息

Department of Cardiovascular Surgery, Ruijin Hospital, Shanghai Jiaotong University School of Medicine, Shanghai, China.

出版信息

Mater Today Bio. 2025 Aug 15;34:102205. doi: 10.1016/j.mtbio.2025.102205. eCollection 2025 Oct.

Abstract

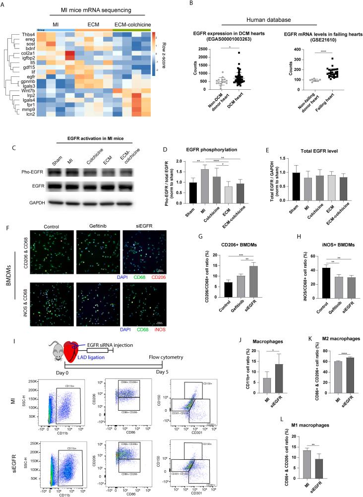
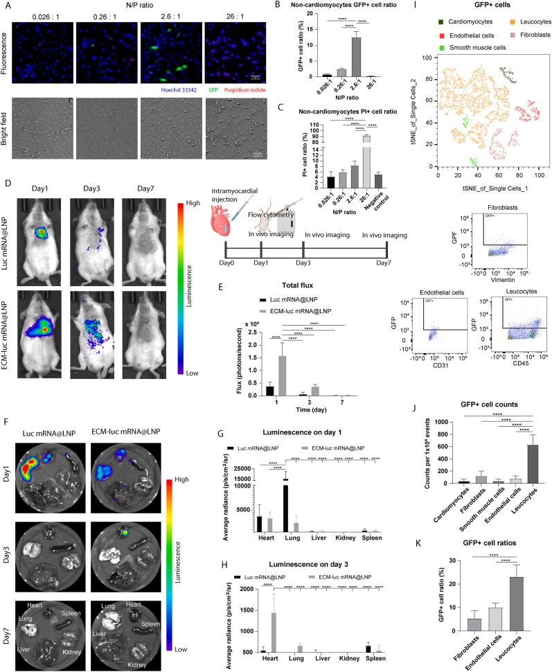
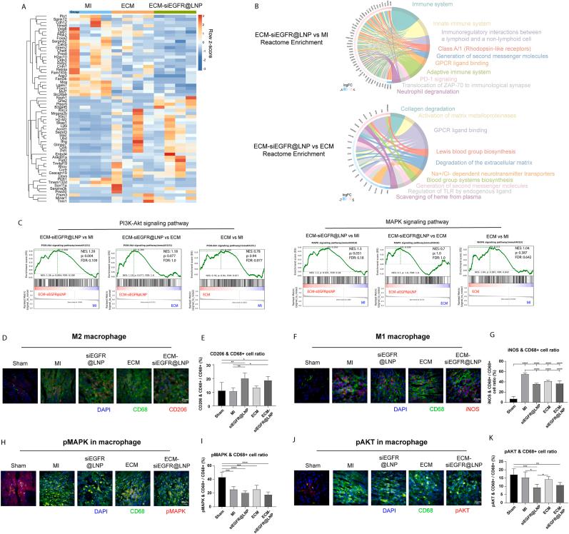
Cardiovascular disease remains a leading cause of mortality, highlighting the critical need for novel therapeutic strategies. RNA-based therapeutics, including siRNA and mRNA, offer promising approaches for cardiac diseases, yet their clinical application is limited by low heart specificity and suboptimal delivery methods. Lipid nanoparticles (LNPs) are widely used for RNA delivery but often accumulate in non-cardiac tissues, reducing their effectiveness. To address this, an extracellular matrix (ECM)-LNP composite is developed for targeted RNA delivery to the myocardium. The LNPs are conjugated to the ECM scaffold to enhance RNA retention. experiments demonstrate effective mRNA delivery and expression within the heart, with preferential targeting towards immune cells. Epidermal growth factor receptor (EGFR), a key regulator of cell proliferation and inflammation, is found to affect macrophage polarization in this study. The therapeutic potential of EGFR siRNA delivered via ECM-LNP composite is further explored in a mouse model of myocardial infarction (MI). Results indicate that ECM-siEGFR@LNP reduces cardiac fibrosis and promotes M2 macrophage polarization. This effect is associated with down-regulation of the EGFR-AKT signaling pathway. In conclusion, this study presents an injectable platform for heart-specific RNA delivery and sheds light on the role of EGFR signaling in the cardiac repair process.

摘要

心血管疾病仍然是主要的死亡原因,这凸显了对新型治疗策略的迫切需求。基于RNA的疗法,包括小干扰RNA(siRNA)和信使核糖核酸(mRNA),为心脏病提供了有前景的治疗方法,但其临床应用受到心脏特异性低和递送方法欠佳的限制。脂质纳米颗粒(LNP)被广泛用于RNA递送,但常常在非心脏组织中蓄积,降低了它们的有效性。为了解决这一问题,开发了一种细胞外基质(ECM)-LNP复合物用于将RNA靶向递送至心肌。LNP与ECM支架结合以增强RNA保留。实验证明了mRNA在心脏内的有效递送和表达,且优先靶向免疫细胞。在本研究中发现,表皮生长因子受体(EGFR)作为细胞增殖和炎症的关键调节因子,会影响巨噬细胞极化。通过ECM-LNP复合物递送的EGFR siRNA的治疗潜力在心肌梗死(MI)小鼠模型中得到进一步探索。结果表明,ECM-siEGFR@LNP可减少心脏纤维化并促进M2巨噬细胞极化。这种效应与EGFR-AKT信号通路的下调有关。总之,本研究提出了一种用于心脏特异性RNA递送的可注射平台,并揭示了EGFR信号在心脏修复过程中的作用。

https://cdn.ncbi.nlm.nih.gov/pmc/blobs/aa7f/12395518/497787205bc0/ga1.jpg

文献AI研究员

20分钟写一篇综述,助力文献阅读效率提升50倍。

立即体验

用中文搜PubMed

大模型驱动的PubMed中文搜索引擎

马上搜索

文档翻译

学术文献翻译模型,支持多种主流文档格式。

立即体验