Suppr超能文献

近视性和年龄相关性黄斑变性中的黄斑萎缩与视网膜下增殖性改变:两大洲眼科研究

Macular Atrophic versus Subretinal Proliferative Changes in Myopic and Age-Related Macular Degeneration: The 2-Continent Eye Study.

作者信息

Jonas Jost B, Jonas Rahul A, Bikbov Mukharram M, Kazakbaeva Gyulli M, Wang Ya Xing, Nangia Vinay, Panda-Jonas Songhomitra

机构信息

Rothschild Foundation Hospital, Paris, France.

Singapore Eye Research Institute, Singapore National Eye Center, Singapore, Singapore.

出版信息

Ophthalmol Sci. 2025 Jul 12;5(6):100885. doi: 10.1016/j.xops.2025.100885. eCollection 2025 Nov-Dec.

Abstract

OBJECTIVE

To assess the prevalences of subfoveal retinal pigment epithelium (RPE) loss versus subfoveal tissue proliferation as causes of vision loss in patients with late-stage age-related macular degeneration (AMD) or myopic macular atrophy.

DESIGN

Population-based studies conducted in Russia, China, and India and histological examination of enucleated human globes.

PARTICIPANTS

The Russian Ural Eye and Medical Study ( = 5899 participants; age: ≥40 years), Ural Very Old Study ( = 1526; age: 85+ years), Beijing Eye Study ( = 3468; age: ≥40 years), and Central India Eye and Medical Study ( = 4711) were conducted in rural and urban regions in Bashkortostan/Russia, Beijing/China, and Nagpur/India, respectively. The histological study part included human eyes enucleated because of reasons like malignant melanomas, or were post mortem enucleated.

METHODS

The participants underwent a series of general medical and ophthalmological examinations including OCT of the macula. In the histological study part, the enucleated globes were histomorphometrically examined.

MAIN OUTCOME MEASURES

Presence of RPE loss and of subretinal proliferations.

RESULTS

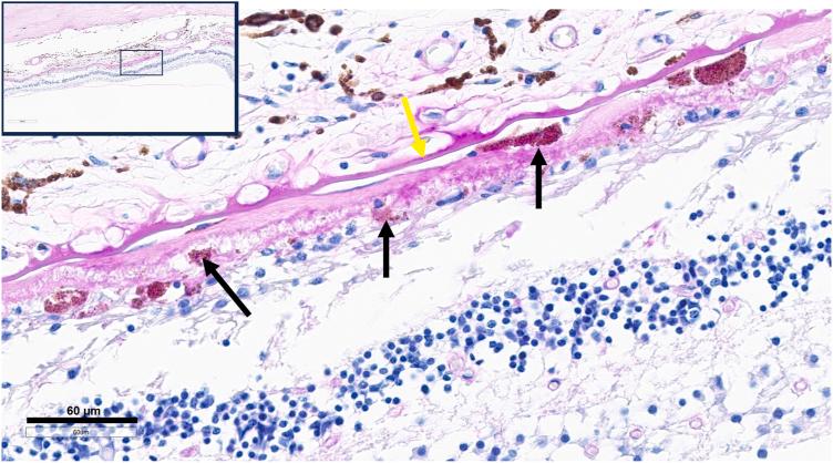
In all 4 population-based studies combined, late-stage AMD and myopic macular atrophy were detected in 291 eyes and 46 eyes, respectively. Retinal pigment epithelium cell loss was dominant in 136 (94%) out of 145 eyes with geographic atrophy and in 35 (76%) out of 46 eyes with myopic macular atrophy, whereas subretinal proliferations were predominantly present in 127 (87%) out of 146 eyes with neovascular AMD. Among all 337 eyes with late AMD or myopic macular atrophy, RPE loss was the main cause for vision loss in 190 (56%) eyes and subretinal proliferations in 147 (44%) eyes, with no significant difference ( > 0.05) between the study cohorts. In the histological specimen, subretinal proliferations included melanin-bearing cells in contact with a periodic acid-Schiff-positive membrane, resembling RPE cells.

CONCLUSIONS

Subretinal proliferations in the foveal region were the main reason for central visual acuity loss in 44% of all eyes with late AMD or myopic macular atrophy in 4 population-based studies. Subretinal foveal RPE cell proliferation and RPE loss are roughly equally important as a cause of vision loss in AMD and myopic macular atrophy.

FINANCIAL DISCLOSURES

Proprietary or commercial disclosure may be found in the Footnotes and Disclosures at the end of this article.

摘要

目的

评估晚期年龄相关性黄斑变性(AMD)或近视性黄斑萎缩患者中,黄斑中心凹下视网膜色素上皮(RPE)缺失与黄斑中心凹下组织增殖作为视力丧失原因的患病率。

设计

在俄罗斯、中国和印度开展的基于人群的研究以及对摘除的人眼球进行组织学检查。

参与者

俄罗斯乌拉尔眼与医学研究(n = 5899名参与者;年龄:≥40岁)、乌拉尔高龄研究(n = 1526;年龄:85岁及以上)、北京眼病研究(n = 3468;年龄:≥40岁)以及印度中部眼与医学研究(n = 4711),分别在俄罗斯巴什科尔托斯坦、中国北京和印度那格浦尔的农村和城市地区进行。组织学研究部分包括因恶性黑色素瘤等原因摘除的人眼,或死后摘除的眼球。

方法

参与者接受了一系列普通医学和眼科检查,包括黄斑OCT检查。在组织学研究部分,对摘除的眼球进行组织形态计量学检查。

主要观察指标

RPE缺失和视网膜下增殖的存在情况。

结果

在所有4项基于人群的研究中,共检测出291只晚期AMD眼和46只近视性黄斑萎缩眼。在145只地图样萎缩眼中,136只(94%)以视网膜色素上皮细胞缺失为主;在46只近视性黄斑萎缩眼中,35只(

https://cdn.ncbi.nlm.nih.gov/pmc/blobs/51cd/12395167/53bb9f7e9a7d/gr1.jpg

文献AI研究员

20分钟写一篇综述,助力文献阅读效率提升50倍。

立即体验

用中文搜PubMed

大模型驱动的PubMed中文搜索引擎

马上搜索

文档翻译

学术文献翻译模型,支持多种主流文档格式。

立即体验