Suppr超能文献

低级别肺黏液性上皮样癌与转移性肾上腺肉瘤样癌并存:一例罕见病例报告及BRAF p.V600E驱动的分子见解与临床挑战

Coexistence of low-grade pulmonary mucinous epithelioid carcinoma and metastatic adrenal sarcomatoid carcinoma: a rare case report with BRAF p.V600E-driven molecular insights and clinical challenges.

作者信息

Xu Guangyan, Zou Fan, Lan Yuanbo

机构信息

Department of Respiratory and Critical Care Medicine, Affiliated Hospital of Zunyi Medical University, Zunyi, China.

出版信息

Front Oncol. 2025 Aug 15;15:1564472. doi: 10.3389/fonc.2025.1564472. eCollection 2025.

Abstract

INTRODUCTION

Pulmonary mucinous epithelioid carcinoma (PMEC) is a rare malignancy that typically progresses slowly and has a favorable prognosis. In contrast, adrenal sarcomatoid carcinoma (ASC) is an aggressive and uncommon cancer with poor outcomes. The coexistence of low-grade PMEC and metastatic ASC is exceedingly rare and presents unique clinical challenges, with limited treatment options and poor prognosis. This case report highlights the diagnosis and management of a patient with long-term, slow-progressing low-grade PMEC and rapidly progressing metastatic ASC.

CASE PRESENTATION

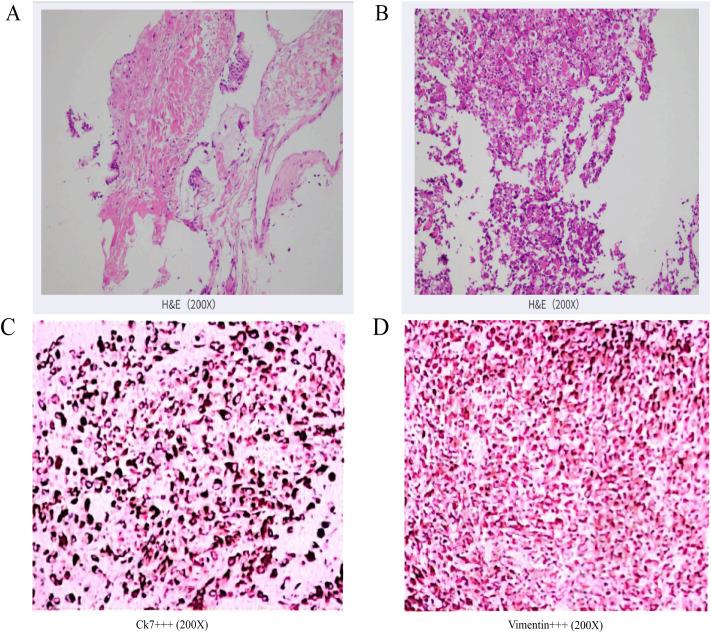
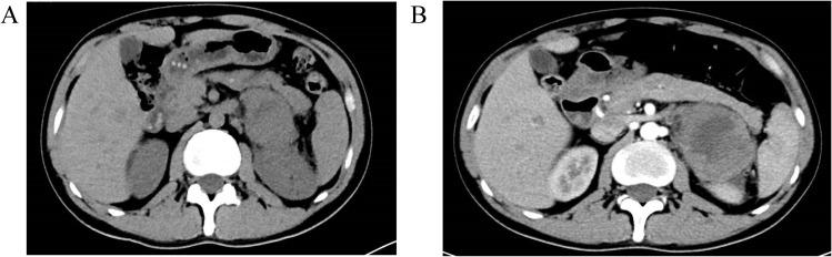
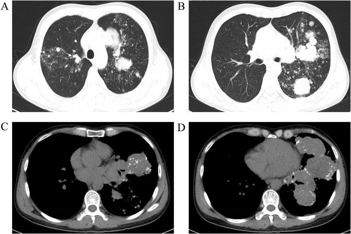
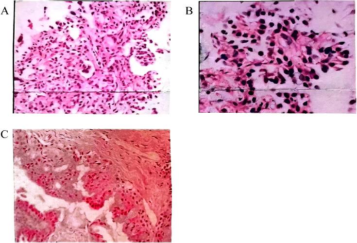
A 44-year-old male with a 20-year history of intermittent respiratory symptoms developed abdominal pain and imaging findings indicative of adrenal metastasis and multiple bone metastases. Initial diagnosis through CT and PET-CT scans raised suspicion for pulmonary tumors, and subsequent biopsies confirmed low-grade PMEC in the lungs. In 2023, further diagnostic work revealed a sarcomatoid carcinoma (SC) in the left adrenal gland. Molecular testing revealed BRAF p.V600E mutations across lung, adrenal, and plasma samples, providing critical insight into the nature of the metastatic spread. Despite treatment with molecular therapy (dabrafenib + trametinib) and radiotherapy, the patient's conditioan deteriorated rapidly, and he passed away in September 2023.

DISCUSSION

This rare case underscores the importance of the BRAF p.V600E mutation in guiding therapy in cases of coexisting PMEC and ASC. The consistent presence of BRAF mutations in lung, adrenal, and plasma samples provided molecular evidence of the metastatic process, offering guidance for targeted therapy. Despite the potential of molecular therapy, the limited treatment efficacy suggests that further research is needed to better identify patient populations that may benefit from targeted therapies for advanced PMEC. BRAF mutations play a significant role in treatment decision-making and should be considered in clinical practice for these complex cases.

CONCLUSION

This case highlights the complexity of diagnosing and treating coexisting low-grade PMEC and metastatic ASC, with the BRAF p.V600E mutation offering valuable molecular insights for therapy. Treatment strategies should be personalized, and future studies are needed to refine therapeutic approaches for such complex cases.

摘要

引言

肺黏液性上皮样癌(PMEC)是一种罕见的恶性肿瘤,通常进展缓慢,预后良好。相比之下,肾上腺肉瘤样癌(ASC)是一种侵袭性强且罕见的癌症,预后较差。低级别PMEC与转移性ASC共存极为罕见,带来了独特的临床挑战,治疗选择有限且预后不良。本病例报告重点介绍了一名患有长期、进展缓慢的低级别PMEC和快速进展的转移性ASC患者的诊断和治疗情况。

病例介绍

一名44岁男性,有20年间歇性呼吸道症状病史,出现腹痛,影像学检查发现肾上腺转移和多处骨转移。通过CT和PET-CT扫描初步诊断怀疑肺部有肿瘤,随后活检证实肺部为低级别PMEC。2023年,进一步诊断发现左肾上腺有肉瘤样癌(SC)。分子检测显示肺、肾上腺和血浆样本中均存在BRAF p.V600E突变,为转移扩散的性质提供了关键见解。尽管接受了分子治疗(达拉非尼+曲美替尼)和放疗,患者病情仍迅速恶化,于2023年9月去世。

讨论

这个罕见病例强调了BRAF p.V600E突变在指导PMEC和ASC共存病例治疗中的重要性。肺、肾上腺和血浆样本中一致存在BRAF突变,为转移过程提供了分子证据,为靶向治疗提供了指导。尽管分子治疗有潜力,但治疗效果有限,表明需要进一步研究以更好地确定可能从晚期PMEC靶向治疗中获益的患者群体。BRAF突变在治疗决策中起重要作用,在这些复杂病例的临床实践中应予以考虑。

结论

本病例突出了诊断和治疗共存的低级别PMEC和转移性ASC的复杂性,BRAF p.V600E突变为治疗提供了有价值的分子见解。治疗策略应个性化,未来需要开展研究以完善此类复杂病例的治疗方法。

https://cdn.ncbi.nlm.nih.gov/pmc/blobs/4837/12394469/b744b301c40b/fonc-15-1564472-g001.jpg

文献AI研究员

20分钟写一篇综述,助力文献阅读效率提升50倍。

立即体验

用中文搜PubMed

大模型驱动的PubMed中文搜索引擎

马上搜索

文档翻译

学术文献翻译模型,支持多种主流文档格式。

立即体验