Suppr超能文献

表型、转录组和增殖能力的渐进性变化是肠道cDC在稳态中持续成熟和迁移的特征。

Progressive changes in phenotype, transcriptome and proliferation capacity characterise continued maturation and migration of intestinal cDCs in homeostasis.

作者信息

Hager Fabian T, Nguyen Trong Hieu, Laouina Asmae, Kopplin Lydia, Andrusaite Anna, Jennings Susan A V, Simons Britta, Leufgen Andrea, Clavel Thomas, Milling Simon, Prinz Immo, Förster Reinhold, Stiehl Thomas, Pabst Oliver, Cerovic Vuk

机构信息

Institute of Molecular Medicine, RWTH Aachen University, Aachen, Germany.

School of Infection and Immunity, University of Glasgow, Glasgow, UK.

出版信息

Nat Commun. 2025 Sep 2;16(1):8204. doi: 10.1038/s41467-025-63559-z.

Abstract

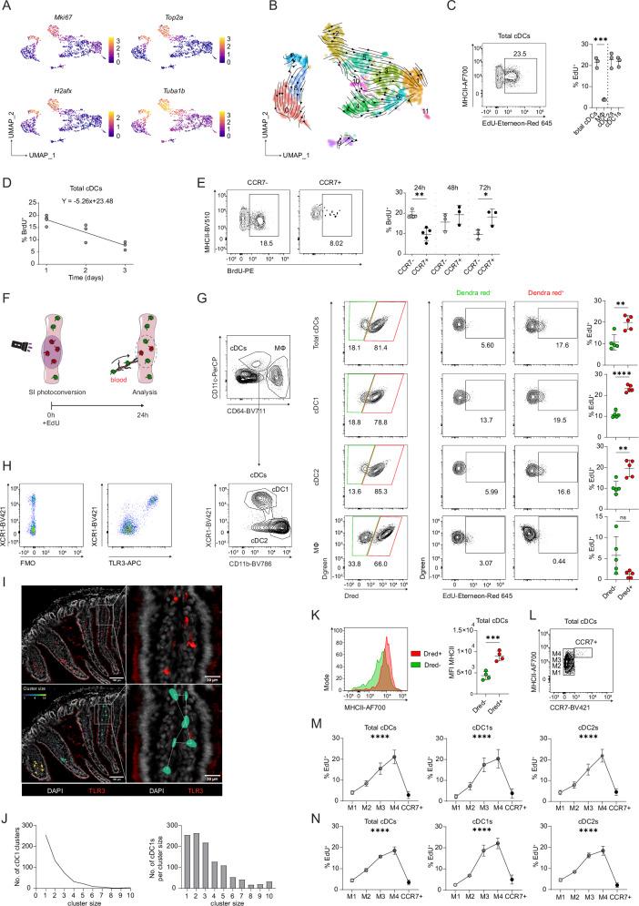
Conventional dendritic cells (cDCs) are important antigen presenting cells which link innate and adaptive immunity by transferring antigenic information from peripheral organs to T cells in lymph nodes (LNs). However, despite their central function in the induction of adaptive immune responses, the kinetics and molecular regulation of the cDC life cycle and migration remain poorly understood. Using a variety of in vivo techniques, we examine the kinetics of cDC turnover in the intestine and address the molecular changes throughout the various stages of the cDC life cycle - from tissue entry and differentiation to CCR7 upregulation and subsequent migration into draining LNs. Our data demonstrate that the life cycle of gut cDCs is highly dynamic, characterised by continuous alterations in transcriptome, protein expression and proliferation rates. These progressive changes culminate in cDC homeostatic activation and migration resulting in a resource-intensive daily turnover of up to a quarter of intestinal cDCs and an almost complete daily replacement of the migratory cDC compartment in the mesenteric LN. This high turnover rate ensures that the mesenteric LN maintains an accurate reflection of the intestinal immunological state, supporting rapid adaptation to emerging immune challenges.

摘要

传统树突状细胞(cDCs)是重要的抗原呈递细胞,通过将抗原信息从外周器官传递至淋巴结(LNs)中的T细胞,连接固有免疫和适应性免疫。然而,尽管它们在诱导适应性免疫反应中发挥核心作用,但cDC生命周期和迁移的动力学及分子调控仍知之甚少。我们使用多种体内技术,研究了肠道中cDC更新的动力学,并探讨了cDC生命周期各个阶段的分子变化——从组织进入和分化到CCR7上调以及随后迁移至引流淋巴结。我们的数据表明,肠道cDC的生命周期高度动态,其特征是转录组、蛋白质表达和增殖率不断变化。这些渐进性变化最终导致cDC稳态激活和迁移,致使肠道cDC每天有高达四分之一的资源密集型更新,肠系膜淋巴结中迁移性cDC区室几乎每天完全更新。这种高更新率确保肠系膜淋巴结能准确反映肠道免疫状态,支持对新出现的免疫挑战迅速适应。

https://cdn.ncbi.nlm.nih.gov/pmc/blobs/b183/12405583/f577bfb35ca1/41467_2025_63559_Fig1_HTML.jpg

文献AI研究员

20分钟写一篇综述,助力文献阅读效率提升50倍。

立即体验

用中文搜PubMed

大模型驱动的PubMed中文搜索引擎

马上搜索

文档翻译

学术文献翻译模型,支持多种主流文档格式。

立即体验