Suppr超能文献

用于全切片图像中浸润性导管癌识别的基于深度学习的有效合成少数类过采样技术增强算法

Effective SMOTE boost with deep learning for IDC identification in whole-slide images.

作者信息

Jassim Ghrabat Mudhafar Jalil, Ghaib Arkan A, Al-Hossenat Auhood, Abduljabbar Zaid Ameen, Nyangaresi Vincent Omollo, Ma Junchao, Aldarwish Abdulla J Y, Abduljaleel Iman Qays, Honi Dhafer G, Neamah Husam A

机构信息

University of Information Technology and Communications (UOITC), Baghdad, Iraq.

Computer Science Department, Al-Turath University, Baghdad, Iraq.

出版信息

PLoS One. 2025 Sep 3;20(9):e0329078. doi: 10.1371/journal.pone.0329078. eCollection 2025.

Abstract

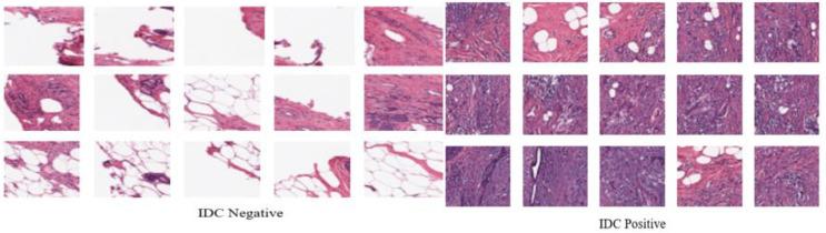
Breast cancer is highlighted in recent research as one of the most prevalent types of cancer. Timely identification is essential for enhancing patient results and decreasing fatality rates. Utilizing computer-assisted detection and diagnosis early on may greatly improve the chances of recovery by accurately predicting outcomes and developing suitable treatment plans. Grading breast cancer properly, especially evaluating nuclear atypia, is difficult owing to faults and inconsistencies in slide preparation and the intricate nature of tissue patterns. This work explores the capability of deep learning to extract characteristics from histopathology photos of breast cancer. The research introduces a new method called SMOTE-based Convolutional Neural Network (CNN) technology to detect areas impacted by Invasive Ductal Carcinoma (IDC) in whole slide pictures. The trials used a dataset of 162 individuals with IDC, split into training (113 photos) and testing (49 images) groups. Every model was subjected to individual testing. The SMO_CNN model we developed demonstrated exceptional testing and training accuracies of 98.95% and 99.20% respectively, surpassing CNN, VGG19, and ResNet50 models. The results highlight the effectiveness of the created model in properly detecting IDC-affected tissue areas, showing great promise for improving breast cancer diagnosis and treatment planning. We surpassing other models as such, CNN, VGG19, ResNet50.

摘要

乳腺癌在最近的研究中被视为最常见的癌症类型之一。及时识别对于提高患者的治疗效果和降低死亡率至关重要。早期使用计算机辅助检测和诊断,通过准确预测结果和制定合适的治疗方案,可能会大大提高康复的机会。由于玻片制备中的缺陷和不一致性以及组织模式的复杂性,正确分级乳腺癌,尤其是评估核异型性很困难。这项工作探索了深度学习从乳腺癌组织病理学照片中提取特征的能力。该研究引入了一种名为基于合成少数过采样技术的卷积神经网络(CNN)技术的新方法,以检测全切片图像中受浸润性导管癌(IDC)影响的区域。试验使用了一个包含162名IDC患者的数据集,分为训练组(113张照片)和测试组(49张图像)。每个模型都进行了单独测试。我们开发的SMO_CNN模型分别展示了98.95%和99.20%的卓越测试和训练准确率,超过了CNN、VGG19和ResNet50模型。结果突出了所创建模型在正确检测受IDC影响的组织区域方面的有效性,显示出在改善乳腺癌诊断和治疗规划方面的巨大潜力。我们超过了其他模型,如CNN、VGG19、ResNet50。

https://cdn.ncbi.nlm.nih.gov/pmc/blobs/b1c0/12407546/d083d40adff7/pone.0329078.g001.jpg

文献AI研究员

20分钟写一篇综述,助力文献阅读效率提升50倍。

立即体验

用中文搜PubMed

大模型驱动的PubMed中文搜索引擎

马上搜索

文档翻译

学术文献翻译模型,支持多种主流文档格式。

立即体验